Стоматолог Рыбакова (Нуждина) Наталья Юрьевна — цены, отзывы, стаж — Принимает в Омске

Рыбакова (Нуждина) Наталья Юрьевна

Рыбакова (Нуждина) Наталья Юрьевна - фотография

5.0
Рейтинг: 5.0
Отзывов: 37
Положительных: 37
Отрицательных: 0
Последний : 43 дн. назад
37 отзывов
2 место в рейтинге
стоматолог-терапевт
Стаж 13 лет
Рыбакова (Нуждина) Наталья Юрьевна принимает в «Стоматология ХАРИЗМА» в Омске. Стаж 13 лет. Специализируется на терапии, по которой клиника оказывает 10 услуг. Имеет 14 работ до/после в портфолио. Квалификация специалиста подтверждена 16 лицензиями, сертификатами и наградами, а опыт 37 отзывами пациентов, из которых 37 положительные. Для уточнения дополнительной информации о специалисте или записи на прием можно позвонить по телефону
+7 (3812)Показать телефон
. Занимает 2 место в рейтинге стоматологов-терапевтов 32top в вашем городе.

Где принимает:

13 работ в портфолио
Опыт 13 лет
16 сертификатов
2 место в рейтинге

Отзывы о враче Рыбакова (Нуждина) Наталья Юрьевна

Рейтинг: 4.945
Отзывов: 37
Положительных: 37
Отрицательных: 0
Последний: 43 дн. назад
5.0
Пациенты отмечают:
Профессионализм
Вежливость
Подробные объяснения
Тщательный осмотр
Аккуратность
Лечение помогло
Почему нашим отзывам можно доверять?
6 марта 2026 г.
1 2 3 4 5
Приятна, внимательная, аккуратная, объясняет и рассказывает, если что-то не понятно. Успокаивает, когда дискомфортно, например во время укола обезболивающего. Всё манипуляции отражены и четкие, с медсестрой одна команда, понимают друг друга с полу взгляда. За лечением вели беседу и отвлекали от процесса, что очень помогло не думать о лечении.
После приема Пациент записывался в клинику через 32top. После приёма мы позвонили ему и получили отзыв.
20 октября 2025 г.
1 2 3 4 5
Делал профессиональную гигиену у доктора Рыбаковой - прекрасная чистка получилась! Врач понятно и подробно объясняет каждый свой шаг, очень приятная в общении. Был в командировке, искал клинику в интернете и не прогадал! Попал по записи без проблем. Цена абсолютно адекватная. Если буду в городе - обязательно приду сюда снова!
21 октября 2025 г.
Благодарим за приятный отзыв!Будем ждать Вас снова)
16 октября 2025 г.
1 2 3 4 5
Первый раз посетила стоматологию "Харизма" еще 17 лет назад, и мне тогда помогли сохранить зубы и вылечили их. Очень радует, что спустя много лет качество оказываемых услуг остаётся на высочайшем уровне, и лечение зубов выполняется профессионально. Выражаю большую благодарность Наталье Юрьевне и Елене Сергеевне! Желаю вам всего самого лучшего, вы этого заслуживаете!!!
После приема Пациент записывался в клинику через 32top. После приёма мы позвонили ему и получили отзыв.
24 мая 2025 г.
1 2 3 4 5
Рыбакова Н.Ю. отлично выполнила профгигиену – быстро и комфортно. Выбрала специалиста по отзывам в интернете и не ошиблась. В клинике приятная обстановка, приняли точно в назначенное время. Цена соответствует качеству услуги. Обязательно приду на следующий профилактический осмотр.
Благодарим за высокую оценку нашей клиники и врача.Будем рады видеть Вас вновь):
26 ноября 2024 г.
1 2 3 4 5
Хочу выразить огромную благодарность стоматологу-терапевту Наталье Юрьевне и ассистенту Елене Сергеевне за качественную, безболезненную подготовку к протезированию. Компетентность, вежливость, доступные цены - вот то, что характеризует данную клинику. Советую всем воспользоваться услугами этой стоматологии
4 декабря 2024 г.
Очень благодарны за теплые слова!Будем рады видеть Вас и ваших близких вновь)))
12 ноября 2024 г.
1 2 3 4 5
Прохожу лечение по рекомендации. Очень довольна! Наталья Юрьевна и Елена Сергеевна! Спасибо вам большое! Все четко, конкретно и понятно! Профессионализм на высшем уровне! Атмосфера доброжелательная, очень уютно, чисто, комфортно. Всем вас рекомендую!
После приема Пациент записывался в клинику через 32top. После приёма мы позвонили ему и получили отзыв.
27 июня 2024 г.
1 2 3 4 5
Мое впечатление от профосмотра в данной стоматологии было вполне положительным. Все прошло гладко и без проблем. Меня обслуживала доктор Наталья Нуждина, с которой я остался очень доволен. Она оказалась приятным и квалифицированным специалистом. Я посетил множество стоматологических клиник и изучил отзывы перед тем, как выбрать эту. У меня нет претензий к данной клинике, однако есть одно пожелание - было бы замечательно, если бы в ней был собственный рентгенаппарат, чтобы можно было делать снимки на месте, без необходимости отправляться в другое место. Это значительно облегчило бы процесс обслуживания. В целом, я готов рекомендовать данную клинику и доктора. В случае необходимости, я с радостью обращусь сюда еще раз для лечения.
После приема Пациент записывался в клинику через 32top. После приёма мы позвонили ему и получили отзыв.
14 мая 2024 г.
1 2 3 4 5
Хотела бы поделиться своим положительным опытом в этой стоматологии, где консультировалась и делала профессиональную чистку зубов у доктора Натальи Юрьевны Нуждиной. Мне очень понравилось обслуживание в обоих случаях. Эта стоматология расположена рядом с моим домом, поэтому я решила обратиться именно сюда. Здесь принимают пациентов без проблем с записью и всегда придерживаются предварительно назначенного времени. Цены меня полностью устроили, а обстановка в клинике была приятной. Я с удовольствием рекомендую эту клинику и доктора своим знакомым.
После приема Пациент записывался в клинику через 32top. После приёма мы позвонили ему и получили отзыв.
21 марта 2024 г.
1 2 3 4 5
Опыт посещения этой клиники для профосмотра и консультации у доктора Натальи Юрьевны был весьма приятным и информативным. Доктор вела себя очень вежливо, терпеливо отвечала на все мои вопросы, подробно объяснила и рассказала о состоянии моих зубов. В обычных случаях я лечусь в другой стоматологии, но мой врач заболел, поэтому я обратился в эту клинику, которую нашел в Интернете, она оказалась ближе к моему дому. Внутри клиники очень приятная атмосфера, персонал вежливый, цены достаточно приемлемые. Я готов рекомендовать это место для лечения и в дальнейшем сам не прочь продолжать лечиться здесь.
18 марта 2024 г.
1 2 3 4 5
Клинику, прежде всего, выбирала по ценовому сегменту и по близкому расположению к дому. Была на консультации у доктора Натальи Нуждиной по поводу лечения. Не могу сказать, что осталась довольна. Доктор ничего не спросила, общалась сухо, осмотр прошёл без инструментов. На основании такого "осмотра" был написан план лечения, назначено КТ. В целом не очень впечатление сложилось. Ведь в первый приём начинается знакомство пациента и врача, прорабатывается дальнейшая тактика взаимодействия, а тут безразличие. Ещё и за такую консультацию заплатила деньги, хотя я бы постеснялась за такое качество просить оплату. Повторно сюда не приду.
    Помогите другим сделать правильный выбор — оставьте свой отзыв о докторе
    Написать отзыв

    Награды врача

    1 место по итогам Народного рейтинга 2024

    Услуги врача (14)

    Терапевтическая стоматология
    Лечение кариеса
    от 5 900 ₽ до 6 800 ₽ за 1 зуб
    Лечение кариеса ICON
    Лечение пульпита
    от 14 000 ₽ до 22 000 ₽ за 1 зуб
    Еще услуги
    Все цены носят ознакомительный характер. Точную цену вы сможете получить только после консультации специалиста.
    Звоните по телефону:
    +7 (3812)Показать телефон

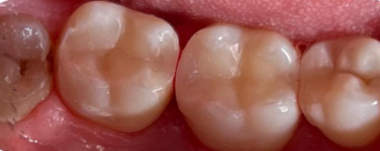
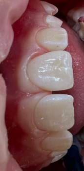
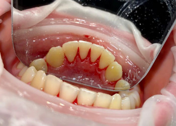
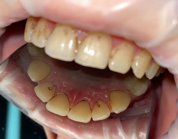
    Рыбакова (Нуждина) Наталья Юрьевна: портфолио (14)

    Акции и скидки клиники ХАРИЗМА (4)