Едомин Денис Сергеевич
Стаж
12 лет
Едомин Денис Сергеевич принимает в «Стоматологическая клиника ЖЕМЧУЖНЫЙ СЛОН» в Омске. Стаж 12 лет. Специализируется на хирургии и имплантологии, по которым клиника оказывает 43 услуги. Для уточнения дополнительной информации о специалисте или записи на прием можно позвонить по телефону
+7 (3812)Показать телефон
.
Где принимает:
Опыт 12 лет
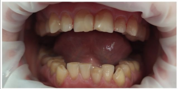
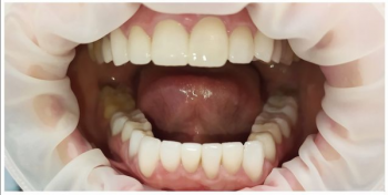
1 работа в портфолио
Помогите другим сделать правильный выбор — оставьте свой отзыв о докторе