Стоматолог Чепуркова Ольга Александровна — цены, отзывы, стаж — Принимает в Омске

Чепуркова Ольга Александровна

Чепуркова Ольга Александровна - фотография
стоматолог-терапевт
стоматолог-хирург
пародонтолог
Стаж 28 лет
д.м.н., врач высшей категории
Чепуркова Ольга Александровна принимает в «Стоматологическая клиника ЭЛИТА» в Омске. Д.м.н., врач высшей категории, стаж 28 лет. Специализируется на терапии, хирургии и пародонтологии, по которым клиника оказывает 26 услуг. Имеет 4 работы до/после в портфолио. Для уточнения дополнительной информации о специалисте или записи на прием можно позвонить по телефону
+7 (3812)Показать телефон
.

Где принимает:

Врач высшей категории
4 работы в портфолио
Доктор мед.наук
Опыт 28 лет

Отзывы о враче Чепуркова Ольга Александровна

Почему нашим отзывам можно доверять?
2 октября 2019 г.
1 2 3 4 5
В двух клиниках мне говорили про необходимость удаления большого числа зубов с последующей постановкой имплантов. Зубы были очень подвижны. В таком сценарии меня пугала не столько цена, сколько замена зубов на инородные конструкции, на металл. Прочитала очень много материалов на эту тему. Многие отклики сводились к тому, что нужно искать хорошего пародонтолога. В итоге мне порекомендовали Ольгу Александровну как лучшего специалиста в Омске и одного из лучших в России. Она профессор, не только лечит, но и обучает других пародонтологов по всей стране. Лечение у Ольги Александровны помогло сохранить зубы, не заменять их на искусственные. Очень благодарна Ольге Александровне и стоматологии "До и После"!
    Помогите другим сделать правильный выбор — оставьте свой отзыв о докторе
    Написать отзыв

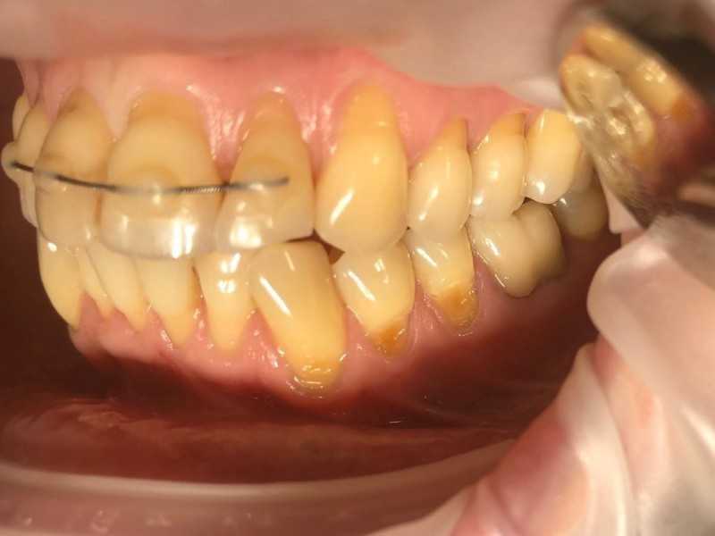
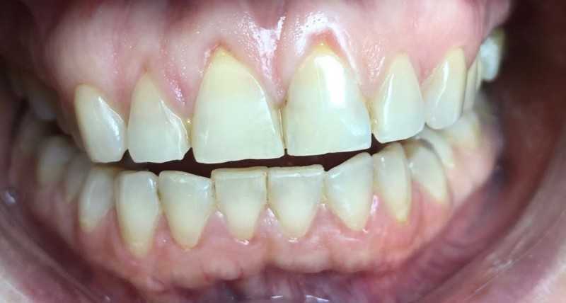
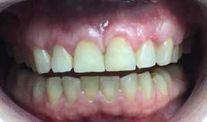
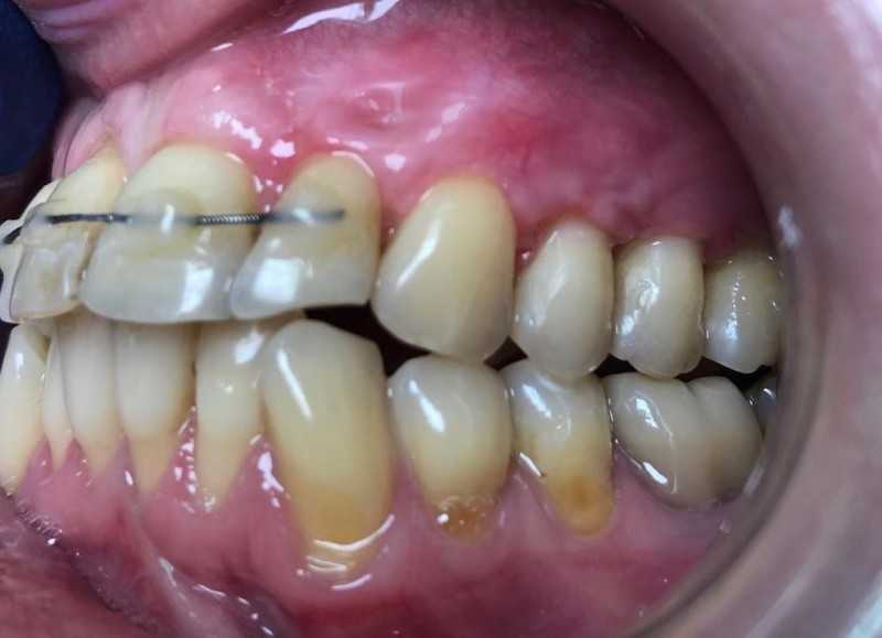
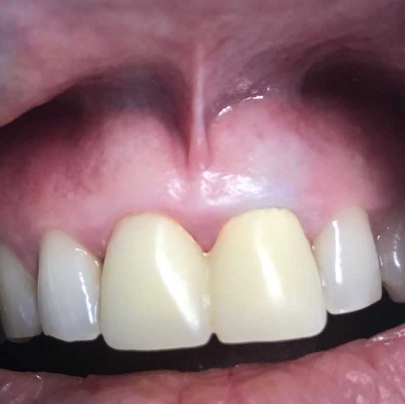
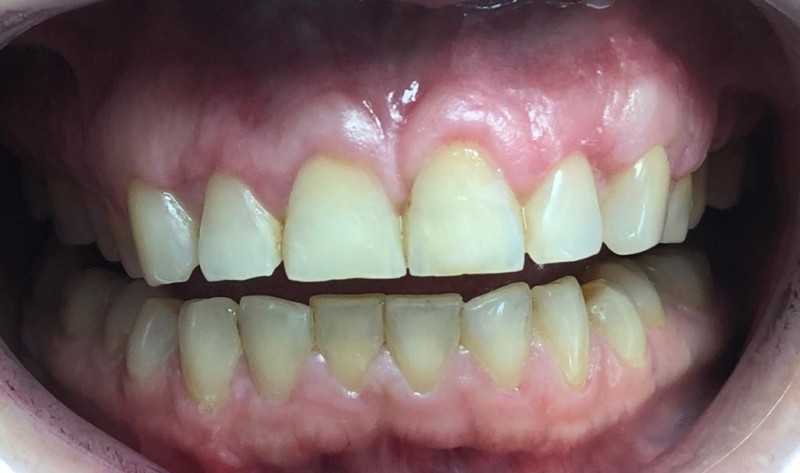
    Чепуркова Ольга Александровна: портфолио (4)

    Услуги стоматолога в других клиниках

    Терапевтическая стоматология
    Лечение кариеса от 3 500 ₽ до 12 750 ₽
    Лечение пульпита от 5 000 ₽ до 24 750 ₽
    Еще услуги
    Пародонтология
    Лечение пародонтита от 790 ₽ до 16 940 ₽
    Лечение пародонтоза от 1 220 ₽ до 2 500 ₽
    Еще услуги
    Хирургическая стоматология
    Удаление зубов от 1 150 ₽ до 15 165 ₽
    Удаление кисты и гранулемы зуба от 2 000 ₽ до 10 120 ₽
    Еще услуги