Стоматолог Лемешев Алексей Валерьевич — цены, отзывы, стаж — Принимает в Омске

Лемешев Алексей Валерьевич

Лемешев Алексей Валерьевич - фотография

5.0
Рейтинг: 5.0
Отзывов: 4
Положительных: 4
Отрицательных: 0
Последний : 1599 дн. назад
4 отзыва
стоматолог-ортопед
стоматолог-ортодонт
Стаж 11 лет
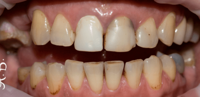
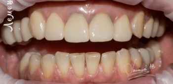
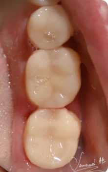
Лемешев Алексей Валерьевич принимает в «Студия стоматологии СКУЛЬПТОР» в Омске. Стаж 11 лет. Специализируется на ортопедии и ортодонтии, по которым клиника оказывает 11 услуг. Имеет 9 работ до/после в портфолио. Для уточнения дополнительной информации о специалисте или записи на прием можно позвонить по телефону
+7 (3812)Показать телефон
. Занимает 13 место в рейтинге стоматологов-ортодонтов 32top в вашем городе.

Где принимает:

Опыт 11 лет
1 сертификат
9 работ в портфолио

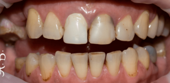
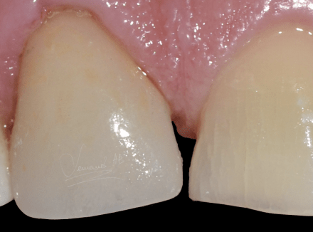
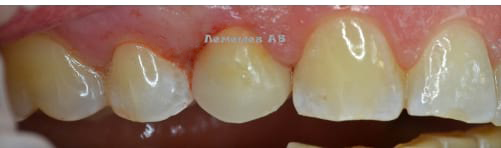
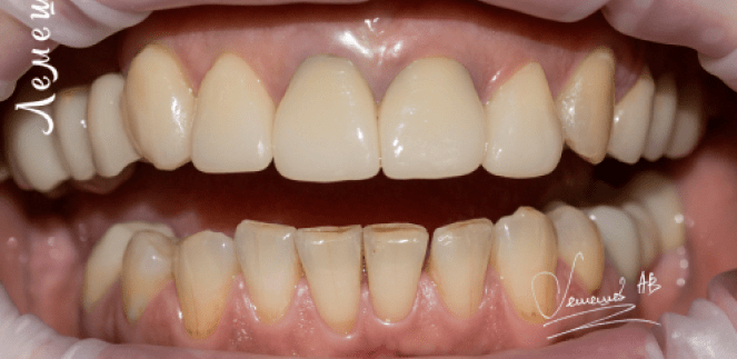
Лемешев Алексей Валерьевич: портфолио (9)

Отзывы о враче Лемешев Алексей Валерьевич

Рейтинг: 5
Отзывов: 4
Положительных: 4
Отрицательных: 0
Последний: 1599 дн. назад
5.0
Почему нашим отзывам можно доверять?
2 января 2022 г.
1 2 3 4 5
Здравствуйте,хочу написать отзыв о клинике Скульптор,а именно о докторе Лемешеве Алексее Валерьевиче.Во первых очень доброжелательный,тактичный,несмотря на молодой возраст очень опытный доктор.За два дня сделал мне пять зубов(три коронки и два винира),зона улыбки.Меня не устраивала форма и цвет верхних передних зубов.Алексей Валерьевич,настолько сделал идеально мои зубы,что даже не сразу поймёшь,что это коронки и в тоже время они выглядят естественно.Я очень довольна,доктор сделал,то что хотела.Алексей Валерьевич,я очень благодарна Вам,за вашу работу, профессионализм и оперативность.Так быстро и качественно.Всем советую не только клинику Скульптор,а именно доктора Лемешева Алексея Валерьевича.Сама клиника на высшем уровне,все чисто,аккуратно.Персонал приветливый и доброжелательный.Спасибо всем огромное.
25 августа 2020 г.
1 2 3 4 5
Профессиональное отношение, позитивный настрой, комфортное общение, квалифицированное обслуживание и готовность помочь даже внепланово. Мне очень понравилось работать с Алексеем. За последние два года мы решили мой тяжёлый случай и сняли брекеты. Я очень доволен результатом!
После приема Пациент записывался в клинику через 32top. После приёма мы позвонили ему и получили отзыв.
14 февраля 2020 г.
1 2 3 4 5
Понравилось работать с Лемешевым Алексеем Валерьевичем. Очень импонирует его профессиональное и человеческое отношение. Спасибо огромное доктору и клинике.
После приема Пациент записывался в клинику через 32top. После приёма мы позвонили ему и получили отзыв.
15 января 2020 г.
1 2 3 4 5
Являюсь пациентом клиники Скульптор уже много лет, очень рада, что мне порекомендовали эту клинику и Лемешева Алексея Валерьевича, в частности!! Делала протезирование на Маркса, 34. Хочу сказать огромное спасибо за вновь обретенное качество жизни доктору Лемешеву Алексею Валерьевичу и его ассистенту Женатовой А., технику Григорян К.В. Все сделали на высочайшем уровне. Удивили изготовлением зубной коронки в 3D . Повезло наблюдать за процессом. С уважением и признательностью!
Пользователь 46399
28 января 2020 г.
Здравствуйте. Огромное спасибо Вам за приятный отзыв. Мы с большим удовольствием выразим благодарность Алексею Валерьевичу. Большой плюс врача в том, что он регулярно повышает свою квалификацию, следит за тенденциями в области протезирования, применяет все знания на практике. Пациенты его очень любят и мы рады, что в нашем коллективе работает такой прекрасный врач. Будьте здоровы! С уважением, стоматология Скульптор.
    Помогите другим сделать правильный выбор — оставьте свой отзыв о докторе
    Написать отзыв

    Услуги стоматолога в других клиниках

    Ортодонтия
    Установка брекетов от 12 500 ₽ до 160 000 ₽
    Снятие брекетов от 2 100 ₽ до 20 790 ₽
    Еще услуги