Стоматолог Пищита Василий Александрович — цены, отзывы, стаж — Принимает в Омске

Пищита Василий Александрович

Пищита Василий Александрович - фотография

4.9
Рейтинг: 4.9
Отзывов: 14
Положительных: 14
Отрицательных: 0
Последний : 8 дн. назад
14 отзывов
ТОП-10 в рейтинге
стоматолог-терапевт
стоматолог-ортопед
Стаж 24 года
Пищита Василий Александрович принимает в «Стоматологическая клиника АТЛАНТ» в Омске. Стаж 24 года. Специализируется на терапии и ортопедии, по которым клиника оказывает 28 услуг. Квалификация специалиста подтверждена 2 лицензиями, сертификатами и наградами, а опыт 14 отзывами пациентов, из которых 14 положительные. Для уточнения дополнительной информации о специалисте или записи на прием можно позвонить по телефону
+7 (3812)Показать телефон
. Занимает 5 место в рейтинге стоматологов вашего города.

Где принимает:

2 сертификата
Топ 10 в рейтинге
Опыт 24 года
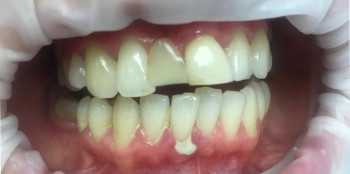
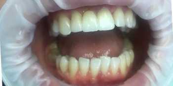
1 работа в портфолио

Отзывы о враче Пищита Василий Александрович

Рейтинг: 4.855
Отзывов: 14
Положительных: 14
Отрицательных: 0
Последний: 8 дн. назад
4.9
Пациенты отмечают:
Вежливость
Подробные объяснения
Аккуратность
Почему нашим отзывам можно доверять?
После приема Пациент записывался в клинику через 32top. После приёма мы позвонили ему и получили отзыв.
10 апреля 2026 г.
1 2 3 4 5
Консультировалась у врача Пищиты. Ранее я лечила у него зубы, и сейчас, к сожалению, он не ведет терапевтический прием, поэтому дальше консультации дело не пошло. В клинике, как всегда, комфортно и доброжелательно, с записью проблем не возникло - быстро нашли для меня "окошко". Стоимость консультации соответствует уровню приема, хотя хотелось бы дешевле. Очень жаль, что доктор сейчас не лечит, иначе я бы обязательно продолжила лечение только у него. Несмотря на это, рекомендую его как специалиста!
После приема Пациент записывался в клинику через 32top. После приёма мы позвонили ему и получили отзыв.
18 октября 2025 г.
1 2 3 4 5
Консультировалась и пломбировала зуб у Василия Александровича - всё отлично, прекрасный доктор! Сейчас готовимся к реставрации. Выбрала клинику по отзывам в интернете - очень рада, что пришла сюда. В клинике чисто, опрятно, комфортно. Ждать приёма не пришлось. По финансам - отлично, цены приемлемые. Уверена, что с Василием Александровичем весь процесс лечения пройдёт успешно!
Спасибо за тёплый отзыв и доверие к клинике и Василию Александровичу! Очень рады, что вы остались довольны обслуживанием, уровнем комфорта и нашими ценами. Уверены, что реставрация пройдёт успешно, и мы сделаем всё, чтобы сохранить вашу улыбку здоровой и красивой. Ждём вас на дальнейших приёмах и всегда готовы помочь!
15 октября 2025 г.
1 2 3 4 5
Я прошла лечение у терапевта, а затем ортодонтическое лечение, которое, как выяснилось позже, мне нельзя было производить из-за бруксизма. В результате- зубы сильно сточились, эмаль практически уничтожена. Мне предложили решить проблему с помощью виниров, то есть снова потребовались крупные траты. Отказалась. Также изготовили капу, которая не подошла и оказалась бесполезной тратой денег. Хочу отметить, что терапевт Пищита В.А. - прекрасный специалист, у него же лечилась моя мама, и у нас к нему нет претензий. Обслуживание в клинике хорошее: комфортно, персонал доброжелательный, запись организована четко. Однако испорченные зубы в результате ортодонтии - это ужасно. Никому не рекомендую ортодонтическое лечение в этой клинике.
Спасибо за ваш отзыв и подробное описание ситуации. Мы рады, что терапевтическое лечение у доктора Василия Александровича и организация приема в нашей клинике оставили у вас положительные впечатления. Что касается ортодонтического лечения, все процедуры в нашей клинике проводятся строго по показаниям и с учётом всех диагностических данных, включая выявление возможных противопоказаний. В случае вашего бруксизма, который действительно требует особого внимания, мы всегда стараемся подобрать наиболее безопасные и эффективные методы лечения.
После приема Пациент записывался в клинику через 32top. После приёма мы позвонили ему и получили отзыв.
28 июля 2025 г.
1 2 3 4 5
Лечил кариес, делал профгигиену и отбеливание у Песневой Арины. Очень доволен - врач грамотный, всё делает быстро и качественно. Уже давно лечимся всей семьёй здесь, было и протезирование у доктора Пищиты - выше всяких похвал. Персонал приветливый, принимают всегда вовремя. Хотя цены не бюджетные, качество полностью их оправдывает.
27 июля 2025 г.
1 2 3 4 5
хороший добрый дядька, все объяснил и доходчиво рассказал. во время лечения все прошло спокойно и комфортно. если будете лечить зубы у Василия Александровича - не пожалеете.
После приема Пациент записывался в клинику через 32top. После приёма мы позвонили ему и получили отзыв.
14 июня 2025 г.
1 2 3 4 5
Завершила протезирование у Василия Александровича - все прошло отлично: профессионально, безболезненно, комфортно. Клинику выбирала по отзывам - персонал работает слаженно, с записью проблем не было, и обстановка приятная. Цены адекватные - готова рекомендовать.
После приема Пациент записывался в клинику через 32top. После приёма мы позвонили ему и получили отзыв.
6 марта 2025 г.
1 2 3 4 5
Начали с лечения у доктора Пищиты В.А., продолжили протезированием с Егоровым М.В., а ещё успела и брекеты поносить от Бобова О.С. Большой объём работы занял 2,5 года, но результат того стоит. Всё прошло профессионально, хотя и было тревожно. Очень довольна результатом, советую всем обращаться сюда. Отдельное спасибо администратору Кристине за помощь!
После приема Пациент записывался в клинику через 32top. После приёма мы позвонили ему и получили отзыв.
11 февраля 2025 г.
1 2 3 4 5
Обратилась к врачу Пищите Василию Александровичу для профилактического осмотра, ранее я уже проходила у него протезирование коронками. Все прошло отлично, ставлю 5 из 5 за качество обслуживания! Доктор очень доброжелательный и внимательный, видно, что у него большой опыт. Понравилась общая обстановка клиники, чистая, уютная, предлагают чай и кофе. Прием всегда проходит вовремя, правда, записаться к нему непросто из-за высокой загруженности. Цены немного выше среднего, но полностью соответствуют качеству услуг. Планирую и дальше обращаться только к этому специалисту!
После приема Пациент записывался в клинику через 32top. После приёма мы позвонили ему и получили отзыв.
27 октября 2024 г.
1 2 3 4 5
Когда-то давно знакомые посоветовали очень хорошего стоматолога - Василия Александровича, очень рекомендовали его как стоматолога-терапевта. Лечилась у него, и теперь понимаю, за что его так хвалят. Прекрасная работа, аккуратная и качественная - врач действительно знает своё дело. Позднее также удалось поработать с хирургом Егоровым Максимом Вячеславовичем - делали импланты. И вновь - отличный результат! Очень довольна, что выбрала именно эту клинику, что попала к таким прекрасным специалистам. Кроме того, весь персонал клиники работает на все 100, и администраторы - предупреждают о приёме, если вдруг возникали какие-то вопросы по переносам дат (загруженость у клиники и у врачей большая) - подбирали удобное время, перезванивали, если освобождалось окошко под запись. По ценнику особо сказать нечего - средняя цена по городу, не эконом, но и не "кусается". Короче говоря, первоклассная клиника - рекомендую, сама и дальше буду посещать.
После приема Пациент записывался в клинику через 32top. После приёма мы позвонили ему и получили отзыв.
8 октября 2024 г.
1 2 3 4 5
Уже на протяжении 15 лет всей семьёй лечимся в этой стоматологии. Доктор Пищита Василий Александрович - доктор-универсал, настоящий профессионал. Ходим только к нему. И постановка виниров, и лечение кариеса - великолепная, филигранная работа! И клиника приятная, подстать доктору: современная, ухоженная, комфортная. Без сомнений, будем и дальше сюда ходить, и доктора Василия Александровича рекомендуем всем!
    Помогите другим сделать правильный выбор — оставьте свой отзыв о докторе
    Написать отзыв

    Услуги врача (53)

    Терапевтическая стоматология
    Лечение кариеса
    от 10 375 ₽ за 1 зуб
    Лечение кариеса ICON
    Лечение пульпита
    от 13 300 ₽ до 24 750 ₽ за 1 зуб
    Еще услуги
    Эстетическая стоматология
    Отбеливание зубов
    Наращивание зубов
    Установка виниров
    от 20 300 ₽ за 1 зуб
    Еще услуги
    Протезирование зубов
    Установка коронки на зуб
    от 6 400 ₽ до 21 700 ₽ за 1 зуб
    Установка протеза Акри Фри (Acry-Free)
    от 30 000 ₽ за 1 челюсть
    Ремонт зубных протезов
    от 4 400 ₽ за 1 шт.
    Еще услуги
    Все цены носят ознакомительный характер. Точную цену вы сможете получить только после консультации специалиста.
    Звоните по телефону:
    +7 (3812)Показать телефон

    Пищита Василий Александрович: портфолио (1)