Стоматолог Архипов Андрей Евгеньевич — цены, отзывы, стаж — Принимает в Омске

Архипов Андрей Евгеньевич

Архипов Андрей Евгеньевич - фотография

5.0
Рейтинг: 5.0
Отзывов: 2
Положительных: 2
Отрицательных: 0
Последний : 214 дн. назад
2 отзыва
стоматолог-ортопед
Стаж 8 лет
Архипов Андрей Евгеньевич принимает в «Сеть клиник УЛЫБКА» в Омске. Стаж 8 лет. Специализируется на ортопедии, по которой клиника оказывает 28 услуг. Имеет 5 работ до/после в портфолио. Для уточнения дополнительной информации о специалисте или записи на прием можно позвонить по телефону
+7 (3812)Показать телефон
. Занимает 11 место в рейтинге стоматологов-ортопедов 32top в вашем городе. Также 32top представляет форму онлайн расписания, через которую можно записаться к специалисту на свободную дату и время.

Где принимает:

5 работ в портфолио
Опыт 8 лет
Топ 40 в рейтинге

Отзывы о враче Архипов Андрей Евгеньевич

Рейтинг: 5
Отзывов: 2
Положительных: 2
Отрицательных: 0
Последний: 214 дн. назад
5.0
Пациенты отмечают:
Профессионализм
Вежливость
Подробные объяснения
Тщательный осмотр
Аккуратность
Лечение помогло
Почему нашим отзывам можно доверять?
16 сентября 2025 г.
1 2 3 4 5
Хочу выразить огромную благодарность команде клинике. Несколько месяцев назад поставил имплант, а сегодня на контрольном осмотре подтвердили: приживление идеальное. Это уже не первая моя имплантация в клинике - и каждый раз — безупречный результат. Бондарь Александр — настоящий мастер хирургии , даже сложные манипуляции проходят без дискомфорта, подробно объяснил все нюансы реабилитации, ответил на множество моих вопросов. Архипов Андрей Евгеньевич — мой ортопед. Подобрал коронку, которая неотличима от родных зубов. Учитывал каждую деталь: от цвета эмали до формы прикуса. Теперь улыбаюсь, как голливудский актер, и даже забываю, что это не мои зубы. Отдельный респект Марине Александровне! Курировала всё: от записи до каждой мелочи по лечению. Всегда на связи, с улыбкой встречает и решает любые вопросы. Чувствуешь себя Vкак вип гость, а не «очередной пациент». Клиника действительно крутая и современная: цифровые технологии, прозрачные цены ,много акций на импланты, я брала беспроцентную рассрочку и даже вкусный кофе сопровождающему моему! Также благодарю администраторов и медсестёр ! Для меня ещё немаловажно, чтобы люди были воспитанными, культурными, доброжелательными, с хорошими человеческими качествами. Здесь коллектив именно такой подобран,спасибо за это руководству! Рекомендую! Всем здоровья, удачи, успехов!
Здравствуйте! Благодарим Вас за отзыв и высокую оценку! Профессионализм наших специалистов и индивидуальный подход позволяют нам успешно решать самые разные стоматологические задачи. Спасибо за доверие, будем рады видеть вас снова ! С уважением, отдел контроля качества стоматологии «Золотое Яблоко»
После приема Пациент записывался в клинику через 32top. После приёма мы позвонили ему и получили отзыв.
13 сентября 2025 г.
1 2 3 4 5
Консультировалась у доктора Архипова по протезированию - на все 100% довольна! Врач вежливый, приятный в общении, ответил на все вопросы. Специально искала этого специалиста. Обстановка комфортная, чистота, обслуживание в целом на высоком уровне. Не пришлось долго ждать - нашли удобное время. Консультация была бесплатной. Буду наблюдаться только у этого врача!
Добрый день! Спасибо за то, что нашли время поделиться впечатлениями о работе нашей клиники, очень рады, что вы остались довольны работой наших специалистов. Благодарим за доверие, мы всегда вам рады! С уважением и заботой, сеть стоматологических клиник «БелоРовно»
    Помогите другим сделать правильный выбор — оставьте свой отзыв о докторе
    Написать отзыв

    Услуги врача (21)

    Протезирование зубов
    Установка коронки на зуб
    от 18 022 ₽ за 1 зуб
    Ремонт зубных протезов
    Перебазировка съёмного протеза
    от 4 673 ₽ за 1 шт.
    Еще услуги
    Все цены носят ознакомительный характер. Точную цену вы сможете получить только после консультации специалиста.
    Звоните по телефону:
    +7 (3812)Показать телефон

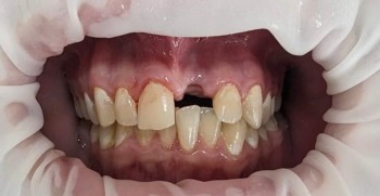
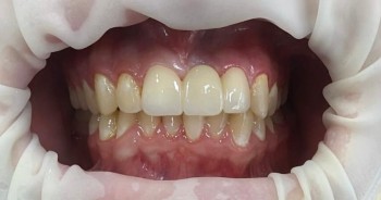
    Архипов Андрей Евгеньевич: портфолио (5)