Стоматолог Бахарев Павел Николаевич — цены, отзывы, стаж — Принимает в Омске

Бахарев Павел Николаевич

Бахарев Павел Николаевич - фотография

5.0
Рейтинг: 5.0
Отзывов: 8
Положительных: 8
Отрицательных: 0
Последний : 237 дн. назад
8 отзывов
стоматолог-хирург
стоматолог-имплантолог
Стаж 27 лет
Бахарев Павел Николаевич принимает в «Клиника СЕМЕЙНАЯ СТОМАТОЛОГИЯ» в Омске. Стаж 27 лет. Специализируется на хирургии и имплантологии, по которым клиника оказывает 12 услуг. Имеет 5 работ до/после в портфолио. Квалификация специалиста подтверждена 2 лицензиями, сертификатами и наградами. Для уточнения дополнительной информации о специалисте или записи на прием можно позвонить по телефону
+7 (3812)Показать телефон
. Занимает 11 место в рейтинге стоматологов вашего города.

Где принимает:

5 работ в портфолио
Топ 20 в рейтинге
Опыт 27 лет
2 сертификата

Отзывы о враче Бахарев Павел Николаевич

Рейтинг: 5
Отзывов: 8
Положительных: 8
Отрицательных: 0
Последний: 237 дн. назад
5.0
Почему нашим отзывам можно доверять?
27 августа 2025 г.
1 2 3 4 5
Павел Николаевич супер специалист.Установил мне 4 импланта.Все прекрасно прижились .Операции безболезненны Хотя, страх был перед имплантацией.Руки золотые у доктора.Действительно , так все аккуратно, спокойно делает, ничего лишнего не навязывает.Наоборот , у меня сомнения были по поводу седации ( делать или нет).Так доктор сказал, что нет необходимости в этом .А, цена за нее была более 10000 .Очень рада, что я попала в такие профессиональные руки доктора.
28 января 2023 г.
1 2 3 4 5
Обращалась на прием к Бахареву Павлу Николаевичу несколько раз. Было и удаление и имплантация и операция. Всегда - высший пилотаж. Лучший доктор. Всегда и всем рекомендую его.
16 июля 2021 г.
1 2 3 4 5
Огромное спасибо Бахареву Павлу Николаевичу, стоматологу-хирургу и имплантологу за удаление больного зуба и постановку импланта. Павел Николаевич - врач от Бога, специалист высочайшего уровня в области хирургической стоматологии и имплантологии, внимательный, ответственный, добрый. С Бахаревым Павлом Николаевичем я познакомилась более 10 лет, он тогда работал в другой клинике. В то время я ставила мостовидные протезы на зубы. Работа была выполнена качественно и быстро, на отлично и с точки зрения эстетики и с точки зрения надежности. Прошлым летом у меня разболелся зуб, я снова обратилась к Бахареву Павлу Николаевичу, разыскала его, он теперь работает в клинике «Семейная стоматология», записалась на прием. Павел Николаевич принял меня в назначенное время, всё объяснил обстоятельно, успокоил меня и обнадежил, что всё сделает в лучшем виде. Доктор свое слово сдержал! Теперь я могу свободно смеяться. Имплант вообще не заметен, как «родной» стал. Профессионализм стоматолога-хирурга, имплантолога Бахарева Павла Николаевича я оцениваю на отлично. Рекомендую всем Бахарева Павла Николаевича - рука легкая, знает свою работу на отлично и после никаких осложнений. Павел Николаевич, крепкого здоровья Вам!
Здравствуйте, благодарим за Ваш отзыв о нашей стоматологической клинике. Желаем Вам крепкого сибирского здоровья. С Уважением "Семейная стоматология"
2 августа 2020 г.
1 2 3 4 5
О имплантации задумался еще давно, когда то сам же запустил зуб и его пришлось удалить. Обратился в клинику СЕМЕЙНУЮ СТОМАТОЛОГИЮ, записали меня к Павлу Николаевичу. Врач на меня произвел крайне положительное впечатление, как прекрасный специалист. Хоть и пришлось пережить несколько операций, но они прошли очень легко для меня, результат отличный! У меня несколько имплантов и все прошло без осложнений, очень комфортно сейчас себя чувствую, качество жизни улучшилось, и как сказали коллеги, намного общительнее стал, так как ушло стеснение. Спасибо Вам большое!
25 июля 2020 г.
1 2 3 4 5
Я очарована Павлом Николаевичем. На его приеме он всегда доброжелательно и позитивно настроен! Делала у него имплантацию зуба, процедура мягко скажем для меня не приятная, но ходила к нему как в салон красоты на процедуры) Страха ноль. Неприятных ощущений практически не было, боли не было ни когда. Он даже укол делает как то по особенному, что он не ощущается. А именно укола я боюсь больше всего. Всем смело рекомендуем, уверенна в его опыте и мастерстве.
10 января 2020 г.
1 2 3 4 5
Человек который когда-либо был на приеме у Павла Николаевича Бахарева уже никогда не пойдет к другому доктору... Павел Николаевич ведет прием в Семейной стоматологии и мне посчастливилось волей случая устанавливать у него импланты. Пришел в клинику, вылечил два зуба, поделился с доктором что хочу поставить импланты вместо двух отсутствующих зубов, он мне и посоветовал Бахарева. Сразу внушает доверие, не уговаривает, не навязывает — всё четко и по факту... Так и работает. Установил импланты быстро, без боли.... Пришел на прием через шесть месяцев - прижились отлично... Наверно у доброго человека и работа ладится на все 100%
9 августа 2019 г.
1 2 3 4 5
В Семейной стоматологии проходил процедуру имплантации у Бахарева Павла Николаевича. Прекрасно прошла операция. Не больно и без осложнений. Сейчас заживаем и на протезирование. Благодарю и всем рекомендую этого прекрасного специалиста.
6 февраля 2015 г.
1 2 3 4 5
Хочу отметить врачей-имплантологов Бахарева Павла Николаевича и Венцеля Виталия Вольдемаровича. Ваши умелые руки, отзывчивость и чуткость дополняют высокопрофессиональную качественную работу. Да и цены хорошие. Узнавала в других клиниках – выходит дороже.
    Помогите другим сделать правильный выбор — оставьте свой отзыв о докторе
    Написать отзыв

    О стоматологе

    Профессиональные навыки: все виды имплантации (в том числе одномоментная, одноэтапная), костная пластика, открытый и закрытый синус-лифтинг. Направленная тканевая регенерация в области зубов (пластика рецессии, костная аугментация), аугментация мягких тканей в области имплантов, в совершенстве владеет приемом безболезненной постановки анестезии.
    Специализация доктора: точная имплантация по индивидуальным хирургическим шаблонам.

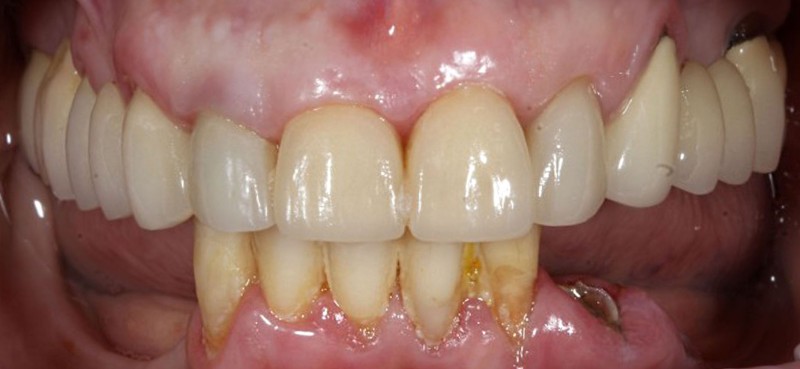
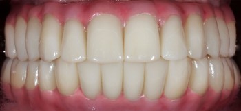
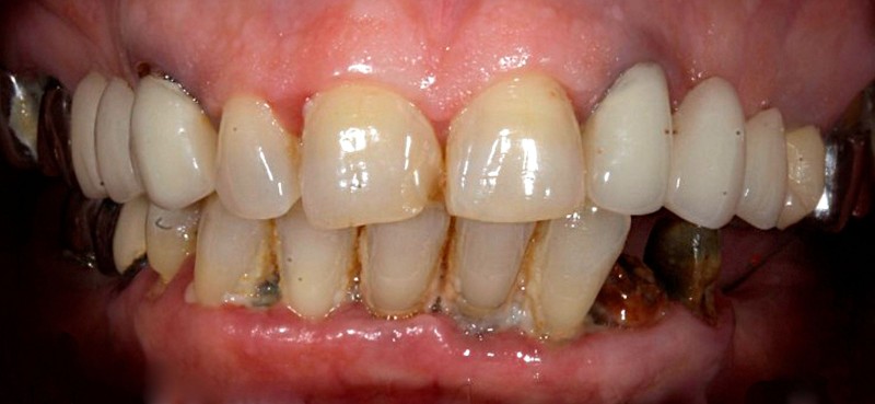
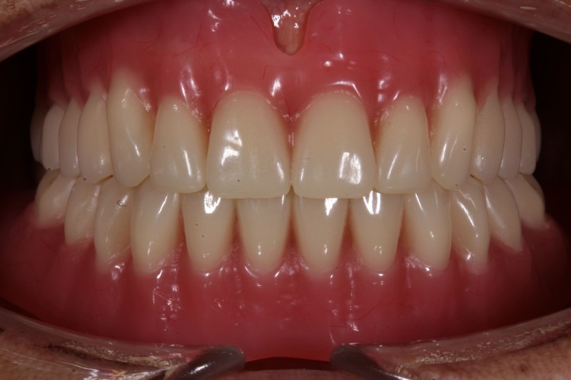
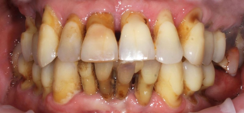
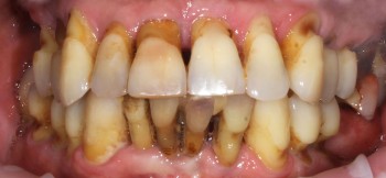
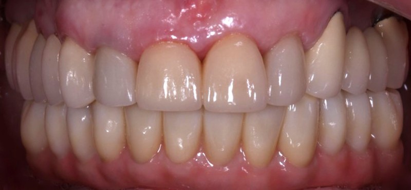
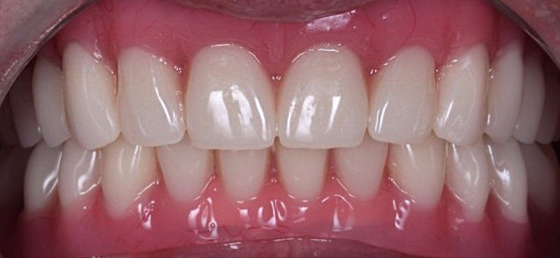
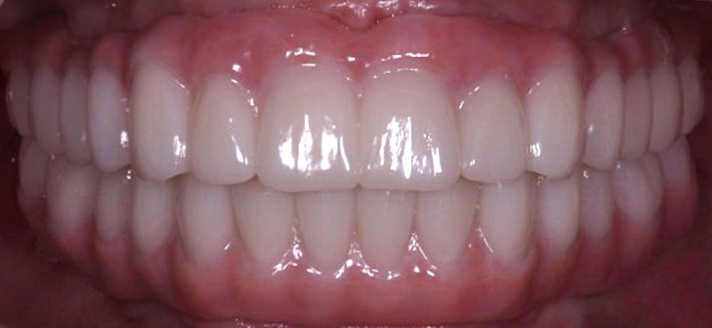
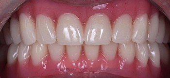
    Бахарев Павел Николаевич: портфолио (5)

    Услуги стоматолога в других клиниках

    Хирургическая стоматология
    Удаление зубов от 1 150 ₽ до 15 165 ₽
    Удаление кисты и гранулемы зуба от 2 000 ₽ до 11 410 ₽
    Еще услуги
    Имплантация
    Установка мини-импланта от 10 520 ₽ до 24 975 ₽
    Коронки на имплантах от 16 500 ₽ до 57 500 ₽
    Еще услуги