Стоматолог Позюмский Алексей Андреевич — цены, отзывы, стаж — Принимает в Омске

Позюмский Алексей Андреевич

Позюмский Алексей Андреевич - фотография
стоматолог-ортопед
стоматолог-хирург
Стаж 23 года
Позюмский Алексей Андреевич принимает в «Стоматологический центр АВИКОМ+» в Омске. Стаж 23 года. Специализируется на ортопедии и хирургии, по которым клиника оказывает 21 услугу. Имеет 6 работ до/после в портфолио. Квалификация специалиста подтверждена 22 лицензиями, сертификатами и наградами. Для уточнения дополнительной информации о специалисте или записи на прием можно позвонить по телефону
+7 (3812)Показать телефон
.

Где принимает:

Опыт 23 года
22 сертификата
6 работ в портфолио

Отзывы о враче Позюмский Алексей Андреевич

Почему нашим отзывам можно доверять?
19 апреля 2021 г.
1 2 3 4 5
Сломался мост на верхних зубах. По рекомендациям знакомых обратилась к Алексею Андреевичу. Доктор очень понравился, внимательный к деталям и очень ответственный к своей работе. Мост сделан просто великолепно, таких красивых и удобных зубов у меня никогда не было. Большая благодарность за качественную работу.
    Помогите другим сделать правильный выбор — оставьте свой отзыв о докторе
    Написать отзыв

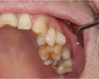
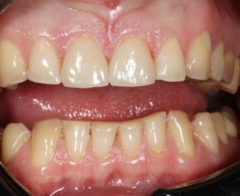
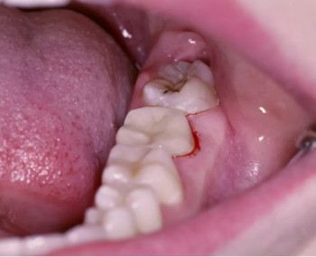
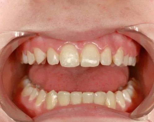
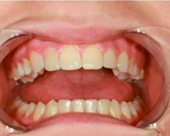
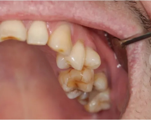
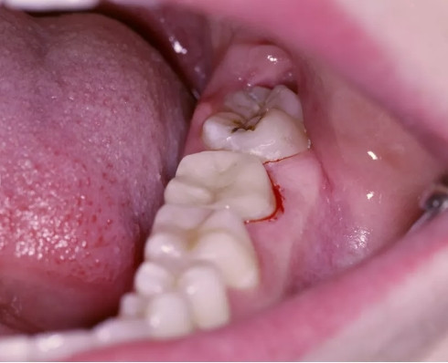
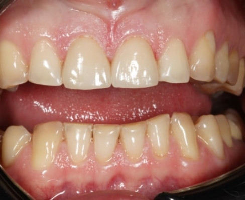
    Позюмский Алексей Андреевич: портфолио (6)

    Услуги стоматолога в других клиниках

    Хирургическая стоматология
    Удаление зубов от 1 150 ₽ до 15 165 ₽
    Удаление кисты и гранулемы зуба от 2 000 ₽ до 10 120 ₽
    Еще услуги
    Протезирование зубов
    Установка коронки на зуб от 4 500 ₽ до 55 000 ₽
    Виды протезов
    Еще услуги