Стоматолог Петрова Анна Сергеевна — цены, отзывы, стаж — Принимает в Омске

Петрова Анна Сергеевна

Петрова Анна Сергеевна - фотография
стоматолог-ортодонт
Стаж 10 лет
врач первой категории
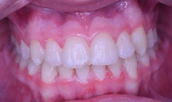
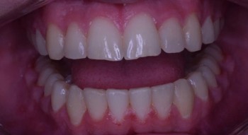
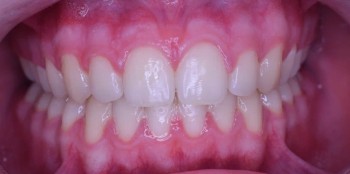
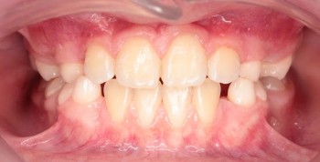
Петрова Анна Сергеевна принимает в «Сеть клиник УЛЫБКА» в Омске. Врач первой категории, стаж 10 лет. Специализируется на ортодонтии, по которой клиника оказывает 20 услуг. Имеет 5 работ до/после в портфолио. Квалификация специалиста подтверждена 9 лицензиями, сертификатами и наградами. Для уточнения дополнительной информации о специалисте или записи на прием можно позвонить по телефону
+7 (3812)Показать телефон
. Также 32top представляет форму онлайн расписания, через которую можно записаться к специалисту на свободную дату и время.

Где принимает:

5 работ в портфолио
Опыт 10 лет
9 сертификатов
Врач первой категории

Отзывы о враче Петрова Анна Сергеевна

Почему нашим отзывам можно доверять?
После приема Пациент записывался в клинику через 32top. После приёма мы позвонили ему и получили отзыв.
31 марта 2025 г.
1 2 3 4 5
Консультировались с ребенком у доктора Петровой А.С. по исправлению прикуса. Доктор ответила на все вопросы, осмотр провела тщательно. Обратились по рекомендации знакомых. Обстановка комфортная, персонал доброжелательный. Приняли оперативно, никаких очередей, всё максимально ориентированно на клиента. Сама консультация была бесплатная, что очень радует. Остались довольны приёмом, вполне вероятно обратимся вновь за лечением.
Здравствуйте! Благодарим Вас за оставленный отзыв о нашей клинике. Желаем Вам крепкого здоровья! С уважением, сеть стоматологических клиник "Улыбка".
    Помогите другим сделать правильный выбор — оставьте свой отзыв о докторе
    Написать отзыв

    Услуги врача (15)

    Ортодонтия
    Установка брекетов
    от 15 000 ₽ за 1 челюсть
    Снятие брекетов
    Установка элайнеров
    Еще услуги
    Все цены носят ознакомительный характер. Точную цену вы сможете получить только после консультации специалиста.
    Звоните по телефону:
    +7 (3812)Показать телефон

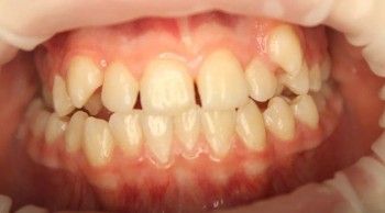
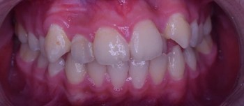
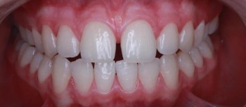
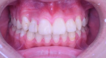
    Петрова Анна Сергеевна: портфолио (5)