Стоматолог Повчинец Оксана Викторовна — цены, отзывы, стаж — Принимает в Омске

Повчинец Оксана Викторовна

Повчинец Оксана Викторовна - фотография
детский стоматолог
Стаж 20 лет
врач первой категории
Повчинец Оксана Викторовна принимает в «Семейная стоматология ДЕМИДОВЫ» в Омске. Врач первой категории, стаж 20 лет. Специализируется на детской стоматологии, по которой клиника оказывает 11 услуг. Имеет 2 работы до/после в портфолио. Квалификация специалиста подтверждена 3 лицензиями, сертификатами и наградами. Для уточнения дополнительной информации о специалисте или записи на прием можно позвонить по телефону
+7 (3812)Показать телефон
.

Где принимает:

3 сертификата
2 работы в портфолио
Опыт 20 лет
Врач первой категории

О стоматологе

Профессиональные навыки: принимает детей от 2 до 18 лет. Лечение кариеса, пульпита молочных и постоянных зубов.
Специализация доктора: адаптация детей к лечению. проводит прием в игровой форме, подготавливает детей к лечению, чтобы в дальнейшем походы к стоматологу вызвали только положительные эмоции.

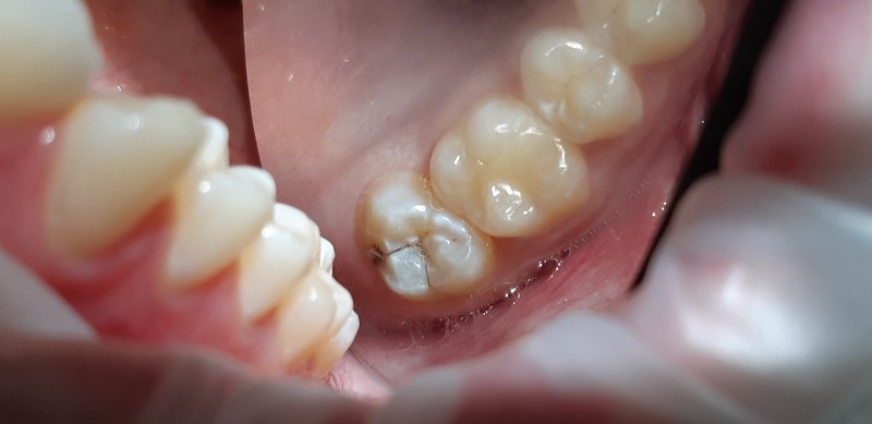
Повчинец Оксана Викторовна: портфолио (2)

Отзывы о враче Повчинец Оксана Викторовна

Почему нашим отзывам можно доверять?
3 апреля 2025 г.
1 2 3 4 5
Снова пришли к нашему любимому доктору – Оксане Викторовне. Младшая дочь уже бывала у нее, поэтому мы точно знаем, что она настоящий профессионал! В этот раз на приёме был мой 3-ехлетний сын: у него обнаружили кариес, и это был его первый визит к стоматологу. Но всё прошло замечательно! Ребёнок остался под приятным впечатлением, не закатывает истерики при повторном приеме! Мне очень нравится, как доктор работает с детьми: с теплотой, терпением и вниманием! Обязательно буду советовать её всем знакомым – лучшего специалиста не найти!
Здравствуйте. Спасибо за обращение и чудесные слова в адрес команды! Ваша поддержка очень важна для нас. С любовью, Семейная стоматология.
    Помогите другим сделать правильный выбор — оставьте свой отзыв о докторе
    Написать отзыв

    Услуги стоматолога в других клиниках

    Детская стоматология
    Лечение молочных зубов от 1 150 ₽ до 9 300 ₽
    Удаление зубов у детей от 500 ₽ до 3 500 ₽
    Еще услуги