Стоматолог Могилёва Жанна Алексеевна — цены, отзывы, стаж — Принимает в Орле

Могилёва Жанна Алексеевна

Могилёва Жанна Алексеевна - фотография
стоматолог-терапевт
стоматолог-ортопед
стоматолог-хирург
пародонтолог
гнатолог
Стаж 30 лет
Опыт 30 лет
18 сертификатов
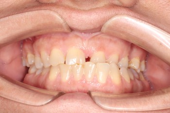
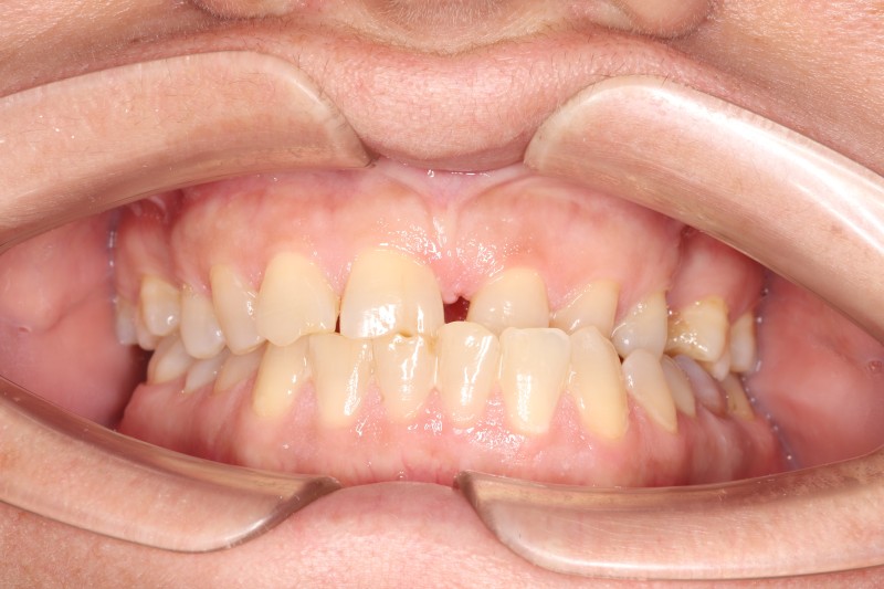
1 работа в портфолио

Могилёва Жанна Алексеевна: портфолио (1)

    Помогите другим сделать правильный выбор — оставьте свой отзыв о докторе
    Написать отзыв

    Услуги стоматолога в других клиниках

    Эстетическая стоматология
    Виды отбеливания
    Отбеливание Zoom
    от 29 500 ₽
    Еще услуги
    Протезирование зубов
    Виды протезов
    Установка бюгельного протеза
    от 22 000 ₽ до 180 000 ₽
    Еще услуги