Стоматолог Андреева Екатерина Евгеньевна — цены, отзывы, стаж — Принимает в Пензе

Андреева Екатерина Евгеньевна

Андреева Екатерина Евгеньевна - фотография
стоматолог-терапевт
стоматолог-ортодонт
Стаж 19 лет
Андреева Екатерина Евгеньевна принимает в «Стоматология ЗУБОК» в Пензе. Стаж 19 лет. Специализируется на терапии и ортодонтии, по которым клиника оказывает 8 услуг. Имеет 2 работы до/после в портфолио. Для уточнения дополнительной информации о специалисте или записи на прием можно позвонить по телефону
+7 (8412)Показать телефон
.

Где принимает:

Опыт 19 лет
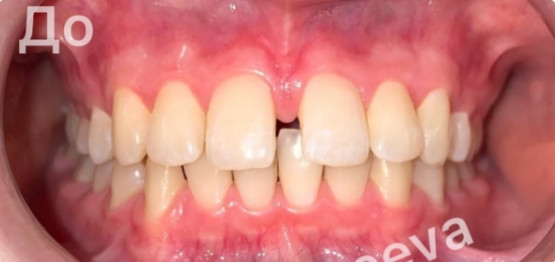
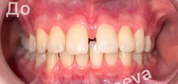
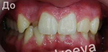
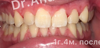
2 работы в портфолио

Андреева Екатерина Евгеньевна: портфолио (2)

    Помогите другим сделать правильный выбор — оставьте свой отзыв о докторе
    Написать отзыв

    Услуги стоматолога в других клиниках

    Терапевтическая стоматология
    Лечение кариеса от 4 500 ₽ до 7 200 ₽
    Лечение пульпита от 5 000 ₽ до 17 000 ₽
    Еще услуги
    Ортодонтия
    Установка брекетов от 30 360 ₽ до 120 000 ₽
    Снятие брекетов от 1 000 ₽ до 6 600 ₽
    Еще услуги