Стоматолог Шабалин Дмитрий Валерьевич — цены, отзывы, стаж — Принимает в Перми

Шабалин Дмитрий Валерьевич

Шабалин Дмитрий Валерьевич - фотография

5.0
Рейтинг: 5.0
Отзывов: 2
Положительных: 2
Отрицательных: 0
Последний : 345 дн. назад
2 отзыва
стоматолог-хирург
Стаж 7 лет
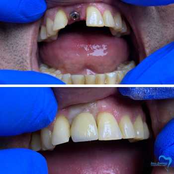
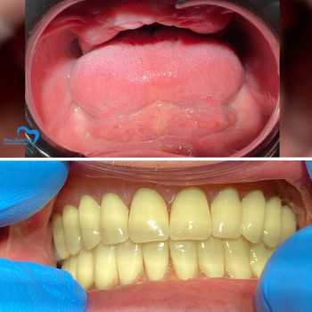
Шабалин Дмитрий Валерьевич принимает в «Стоматологическая студия ВАШ ДОКТОР» в Перми. Стаж 7 лет. Специализируется на хирургии, по которой клиника оказывает 14 услуг. Имеет 6 работ до/после в портфолио. Квалификация специалиста подтверждена 5 лицензиями, сертификатами и наградами. Для уточнения дополнительной информации о специалисте или записи на прием можно позвонить по телефону
+7 (342)Показать телефон
. Занимает 16 место в рейтинге стоматологов-хирургов 32top в вашем городе. Также 32top представляет форму онлайн расписания, через которую можно записаться к специалисту на свободную дату и время.

Где принимает:

Опыт 7 лет
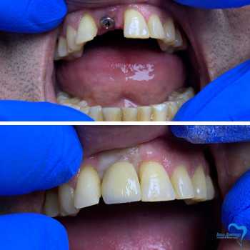
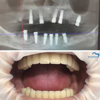
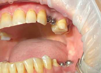
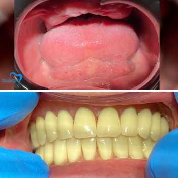
6 работ в портфолио
5 сертификатов

Отзывы о враче Шабалин Дмитрий Валерьевич

Рейтинг: 5
Отзывов: 2
Положительных: 2
Отрицательных: 0
Последний: 345 дн. назад
5.0
Почему нашим отзывам можно доверять?
6 июня 2025 г.
1 2 3 4 5
Ставил зубной имплант в этой клинике у доктора Дмитрия Валерьевича. Всё прошло просто отлично: быстро, без боли и очень аккуратно. Чувствуется, что врач знает своё дело на отлично.
Благодарим за оставленный отзыв и положительную оценку. Нам ценно, что вы отметили профессионализм специалистов и атмосферу уюта, которую мы стремимся поддерживать в клинике. Внимание к деталям, комфорт пациентов и забота о результате — одни из ключевых принципов нашей работы. В клинике Ваш Доктор доступно восстановление жевательной функции с помощью протезирования и имплантации, лечение пульпита с применением анестезии и микроскопа, а также диагностика с использованием 3D томографии. Помимо этого, предлагаем удаление зубов любой сложности и услуги по реставрации передней группы зубов с эстетической проработкой цвета и формы. Мы стремимся создать условия, при которых каждый пациент получает не только качественную помощь, но и спокойствие на всех этапах лечения. С уважением, Стоматология Ваш Доктор
12 марта 2023 г.
1 2 3 4 5
Была на приеме у Дмитрия Шабалина. Удалил зуб мудрости быстро и безболезненно))) Очень позитивный доктор ! Спасибо:)
    Помогите другим сделать правильный выбор — оставьте свой отзыв о докторе
    Написать отзыв

    Услуги врача (18)

    Хирургическая стоматология
    Удаление зубов
    от 4 000 ₽ до 9 500 ₽ за 1 зуб
    Удаление зуба мудрости
    от 6 000 ₽ за 1 зуб
    Сложное удаление зуба
    Еще услуги
    Все цены носят ознакомительный характер. Точную цену вы сможете получить только после консультации специалиста.
    Звоните по телефону:
    +7 (342)Показать телефон

    Шабалин Дмитрий Валерьевич: портфолио (6)

    Акции и скидки клиники ВАШ ДОКТОР (4)