Стоматолог Плясков Дмитрий Сергеевич — цены, отзывы, стаж — Принимает в Ростове-на-Дону

Плясков Дмитрий Сергеевич

Плясков Дмитрий Сергеевич - фотография

5.0
Рейтинг: 5.0
Отзывов: 5
Положительных: 5
Отрицательных: 0
Последний : 58 дн. назад
5 отзывов
стоматолог-ортопед
Стаж 19 лет
Плясков Дмитрий Сергеевич принимает в «Зубоврачебный центр СТОМСЕРВИС» в Ростове-на-Дону. Стаж 19 лет. Специализируется на ортопедии, по которой клиника оказывает 4 услуги. Имеет 8 работ до/после в портфолио. Для уточнения дополнительной информации о специалисте или записи на прием можно позвонить по телефону
+7 (8632)Показать телефон
. Занимает 4 место в рейтинге стоматологов-ортопедов 32top в вашем городе. Также 32top представляет форму онлайн расписания, через которую можно записаться к специалисту на свободную дату и время.

Где принимает:

Топ 20 в рейтинге
1 сертификат
Опыт 19 лет
4 работы в портфолио

Отзывы о враче Плясков Дмитрий Сергеевич

Рейтинг: 5
Отзывов: 5
Положительных: 5
Отрицательных: 0
Последний: 58 дн. назад
5.0
Пациенты отмечают:
Профессионализм
Вежливость
Подробные объяснения
Тщательный осмотр
Аккуратность
Лечение помогло
Почему нашим отзывам можно доверять?
13 марта 2026 г.
1 2 3 4 5
Хорошая клиника. Ставил коронку у доктора Пляскова. По времени всё заняло пару недель с примерками. Села как родная. По цене вышло ровно столько, сколько на первом приеме посчитали.
Добрый день. Спасибо за столь позитивный отзыв. Очень рады, что смогли помочь. Если у Вас возникнут вопросы или потребуется помощь, не стесняйтесь обращаться к нам!
5 ноября 2025 г.
1 2 3 4 5
У папы была сложная ситуация, много утраченных зубов, атрофия челюсти. Привез его в Стомсервис на протезирование, т.к. прохожу лечение здесь сам. Плясков Дмитрий Сергеевич отличный врач, подошёл к делу с вниманием, учёл все особенности, объяснил, как адаптироваться. Сейчас папа ест без дискомфорта и говорит, что наконец-то чувствует себя нормально. Очень благодарны всей команде.
Здравствуйте! Ваш отзыв невероятно важен для нас! Такие слова вдохновляют продолжать работу с той же заботой и вниманием к нашим пациентам. Спасибо!
4 сентября 2025 г.
1 2 3 4 5
Была задача, сделать коронку на передний зуб так, чтобы она не отличалась от соседних. Дмитрий Сергеевич Плясков справился с этим блестяще: подошла идеально не только по цвету, но и как зуб имеет прозрачный край и рельеф!
Добрый день. Спасибо за чудесный отзыв! Очень рады, что Вы остались довольны лечением и нашим сервисом. Ждем на следующем профилактическом осмотре!
12 июня 2025 г.
1 2 3 4 5
Долго искала клинику, где можно сделать качественное протезирование. Подруга посоветовала Дмитрия Сергеевича. И я ни разу не пожалела, что прислушалась к совету! Поднавилась и работа врача и комплексный подход к проблеме. Была у смежных специалистов - все на высшем уровне
Добрый день. Спасибо за чудесный отзыв! Очень рады, что Вы остались довольны лечением и нашим сервисом. Ждем на следующем профилактическом осмотре!
22 мая 2025 г.
1 2 3 4 5
У меня всю жизнь были проблемы с зубами: неровные, а со временем еще и стерлись. Поставила виниры в «Стомсервис», получилось очень естественно, красиво, в тоже время незаметно с точки зрения вмешательства. Выражаю благодарность Дмитрию Сергеевичу за профессионализм!
Здравствуйте. Мнение каждого пациента очень важно для нас, ведь мы стремимся постоянно совершенствовать качество услуг. До скорой встречи!
    Помогите другим сделать правильный выбор — оставьте свой отзыв о докторе
    Написать отзыв

    Услуги врача (43)

    Эстетическая стоматология
    Отбеливание зубов
    Наращивание зубов
    Установка виниров
    Еще услуги
    Протезирование зубов
    Установка коронки на зуб
    от 2 768 ₽ до 76 493 ₽ за 1 зуб
    Установка протеза Акри Фри (Acry-Free)
    Ремонт зубных протезов
    Еще услуги
    Все цены носят ознакомительный характер. Точную цену вы сможете получить только после консультации специалиста.
    Звоните по телефону:
    +7 (8632)Показать телефон

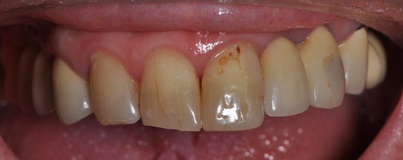
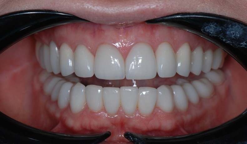
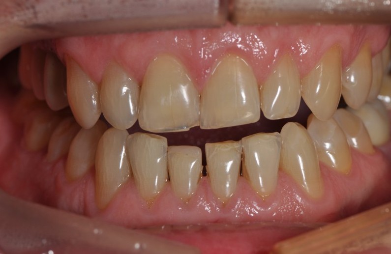
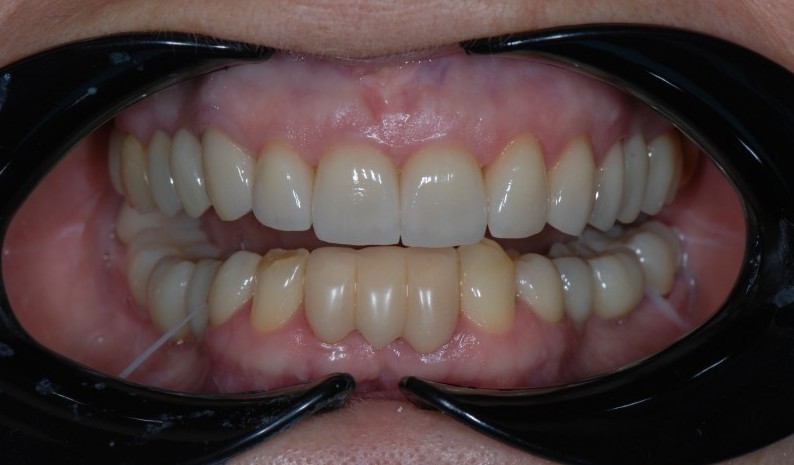
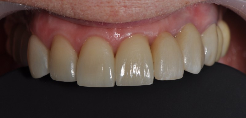
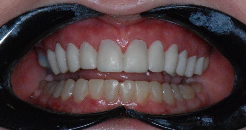
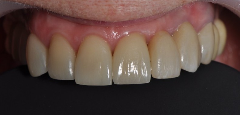
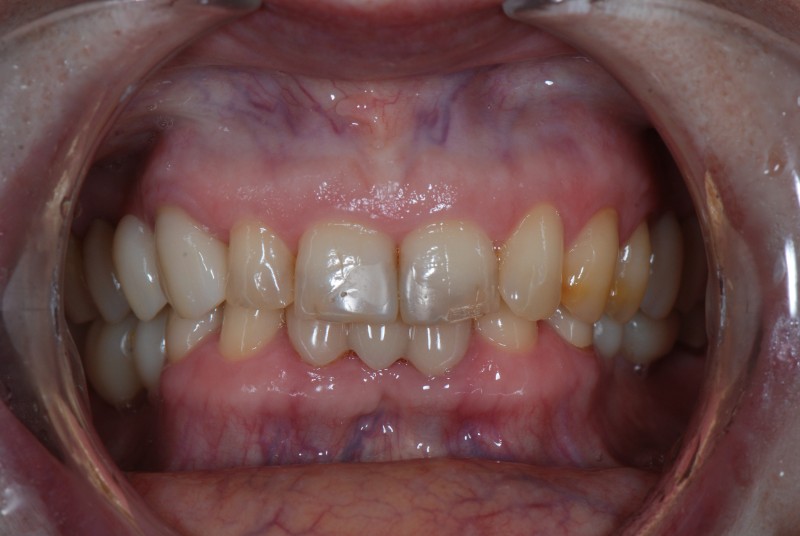
    Плясков Дмитрий Сергеевич: портфолио (8)

    Акции и скидки клиники СТОМСЕРВИС (2)