Стоматолог Науменко Кирилл Дмитриевич — цены, отзывы, стаж — Принимает в Ростове-на-Дону

Науменко Кирилл Дмитриевич

Науменко Кирилл Дмитриевич - фотография
стоматолог-ортодонт
Стаж 3 года
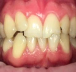
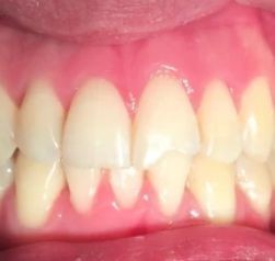
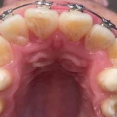
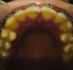
Науменко Кирилл Дмитриевич принимает в «Стоматология ДРИМ ДЕНТ» в Ростове-на-Дону. Стаж 3 года. Специализируется на ортодонтии, по которой клиника оказывает 6 услуг. Имеет 5 работ до/после в портфолио. Также 32top представляет форму онлайн расписания, через которую можно записаться к специалисту на свободную дату и время.

Где принимает:

Опыт 3 года
5 работ в портфолио

Науменко Кирилл Дмитриевич: портфолио (5)

    Помогите другим сделать правильный выбор — оставьте свой отзыв о докторе
    Написать отзыв

    Услуги стоматолога в других клиниках

    Ортодонтия
    Установка брекетов от 20 000 ₽ до 180 000 ₽
    Снятие брекетов от 2 500 ₽ до 26 000 ₽
    Еще услуги