Стоматолог Салекина Татьяна Андреевна — цены, отзывы, стаж — Принимает в Рязани

Салекина Татьяна Андреевна

Салекина Татьяна Андреевна - фотография
стоматолог-терапевт
детский стоматолог
Стаж 13 лет
Салекина Татьяна Андреевна принимает в «Стоматология ИННАЛЮКС» в Рязани. Стаж 13 лет. Специализируется на терапии и детской стоматологии, по которым клиника оказывает 25 услуг. Имеет 4 работы до/после в портфолио. Для уточнения дополнительной информации о специалисте или записи на прием можно позвонить по телефону
+7 (491)Показать телефон
. Также 32top представляет форму онлайн расписания, через которую можно записаться к специалисту на свободную дату и время.

Где принимает:

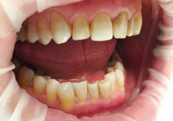
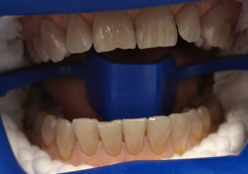
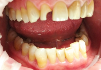
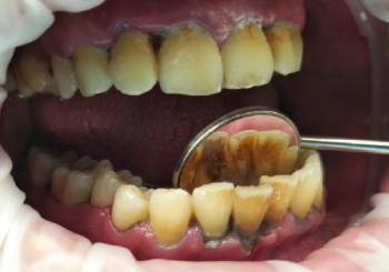
4 работы в портфолио
Опыт 13 лет

Салекина Татьяна Андреевна: портфолио (4)

Отзывы о враче Салекина Татьяна Андреевна

Почему нашим отзывам можно доверять?
30 апреля 2023 г.
1 2 3 4 5
Хотим выразить огромную благодарность, уважение стоматологу Салекиной Татьяне Андреевне, за отличную, профессиональную, аккуратную работу, качественное и безболезненное лечение зубов. Внимательное отношение к пациентам! Хожу к ней не в первый раз сама, с детьми (идут с удовольствием!). Рекомендуем отличный специалист!
    Помогите другим сделать правильный выбор — оставьте свой отзыв о докторе
    Написать отзыв

    Услуги стоматолога в других клиниках

    Терапевтическая стоматология
    Лечение кариеса от 3 500 ₽ до 9 700 ₽
    Лечение пульпита от 5 000 ₽ до 22 900 ₽
    Еще услуги
    Детская стоматология
    Лечение молочных зубов от 950 ₽ до 7 500 ₽
    Удаление зубов у детей от 500 ₽ до 2 100 ₽
    Еще услуги