Стоматолог Арбузова Елена Юрьевна — цены, отзывы, стаж — Принимает в Рязани

Арбузова Елена Юрьевна

Арбузова Елена Юрьевна - фотография

5.0
Рейтинг: 5.0
Отзывов: 4
Положительных: 4
Отрицательных: 0
Последний : 202 дн. назад
4 отзыва
стоматолог-терапевт
стоматолог-эндодонтист
Стаж 14 лет
Арбузова Елена Юрьевна принимает в «Стоматологическая клиника ЭКСПЕРТ КЛИНИК» в Рязани. Стаж 14 лет. Специализируется на терапии и эндодонтическом лечении, по которым клиника оказывает 14 услуг. Имеет 2 работы до/после в портфолио. Для уточнения дополнительной информации о специалисте или записи на прием можно позвонить по телефону
+7 (491)Показать телефон
. Занимает 5 место в рейтинге стоматологов-эндодонтистов 32top в вашем городе. Также 32top представляет форму онлайн расписания, через которую можно записаться к специалисту на свободную дату и время.

Где принимает:

1 видеоотзыв
Топ 50 в рейтинге
Опыт 14 лет
2 работы в портфолио

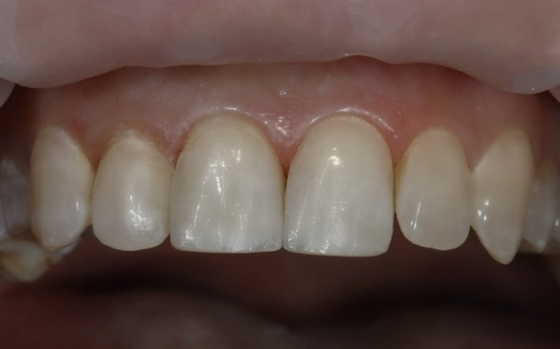
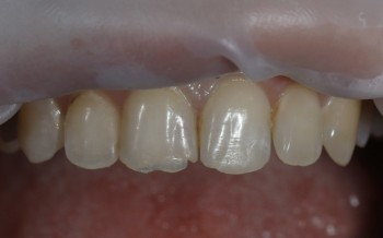
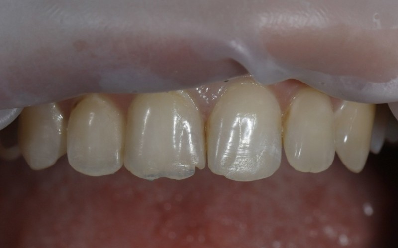
Арбузова Елена Юрьевна: портфолио (2)

Отзывы о враче Арбузова Елена Юрьевна

Рейтинг: 5
Отзывов: 4
Положительных: 4
Отрицательных: 0
Последний: 202 дн. назад
5.0
Почему нашим отзывам можно доверять?
17 октября 2025 г.
1 2 3 4 5
Была на приеме у Арбузовой Елены Юрьевны по рекомендации своей знакомой. Осталась довольна, подход к лечению понравился ,записалась повторно.
Уважаемый пациент! Спасибо вам за такой тёплый отзыв и за доверие, оказанное нашей клинике по рекомендации! Мы очень ценим, что вы выбрали именно доктора Арбузову Елену Юрьевну и остались довольны её подходом к лечению. Особенно приятно, что вы записались на повторный приём — для нас это лучший показатель уверенности в качестве нашей работы. Ждём вас на приёме и желаем здоровья вашей улыбке! С заботой, команда «Эксперт Клиник»
4 сентября 2025 г.
1 2 3 4 5
Была сегодня на приёме у Арбузовой Е.Ю. на проф.гигиене полости рта. Врач тщательно посмотрела,объяснила как пройдёт процедура. Во время процедуры интересовалась всё ли хорошо.
Уважаемый пациент! Большое спасибо, что нашли время поделиться своими впечатлениями! Мы очень рады, что визит к Елене Юрьевне оставил у вас такие приятные впечатления. Для нас крайне важно, чтобы каждый пациент чувствовал не только профессиональный подход, но и искреннюю заботу на всех этапах — от объяснения процедуры до контроля самочувствия во время её проведения. Обязательно передадим ваши тёплые слова Елене Юрьевне — её внимательность и чуткость действительно заслуживают высокой оценки. Такие врачи являются гордостью нашей клиники! Ждём вас снова на профилактических осмотрах — чтобы ваша улыбка всегда оставалась здоровой и сияющей!
8 мая 2024 г.
1 2 3 4 5
Была на проф.гигиене у доктора Арбузовой Е. Ю. Самая безболезненная и комфортная чистка, которая у меня была! Всё очень аккуратно. Доктор дала рекомендации и подробно всё объяснила.
Здравствуйте. Сердечно благодарим вас за отзыв. Спасибо, что обратились за помощью именно к нашим специалистам, вы в надежных руках. Мы всегда к вашим услугам! Ваша, Expert Clinic
16 мая 2023 г.
1 2 3 4 5
Впервые обратилась в данную клинику. Персонал на ресепшене приветливый и дружелюбный. Врач Арбузова Елена Юрьевна грамотно, профессионально составила план лечения. Я осталась довольна результатом и отношением к клиенту. Рекомендую Дентал Клиник!
Здравствуйте! Благодарим вас за оказанное доверие и добрые слова, Елене Юрьевне будет очень приятно. Мы искренне стараемся, чтобы пациенты нашей клиники чувствовали себя комфортно и уверенно. Надеемся, что будущие визиты оставят еще больше приятных впечатлений.
    Помогите другим сделать правильный выбор — оставьте свой отзыв о докторе
    Написать отзыв

    Услуги стоматолога в других клиниках

    Диагностика
    Консультация стоматолога от 1 ₽ до 2 500 ₽
    Терапевтическая стоматология
    Лечение кариеса от 3 500 ₽ до 9 700 ₽
    Лечение пульпита от 5 000 ₽ до 22 900 ₽
    Еще услуги