Стоматолог Ловягина Надежда Владиславовна — цены, отзывы, стаж — Принимает в Рязани

Ловягина Надежда Владиславовна

Ловягина Надежда Владиславовна - фотография

5.0
Рейтинг: 5.0
Отзывов: 3
Положительных: 3
Отрицательных: 0
Последний : 1563 дн. назад
3 отзыва
стоматолог-терапевт
Стаж 11 лет
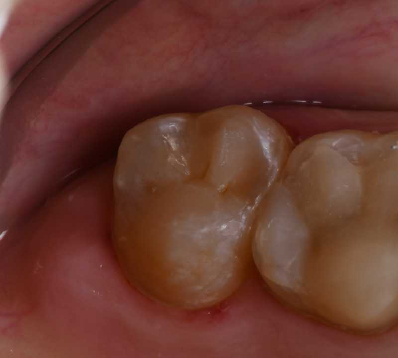
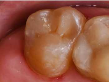
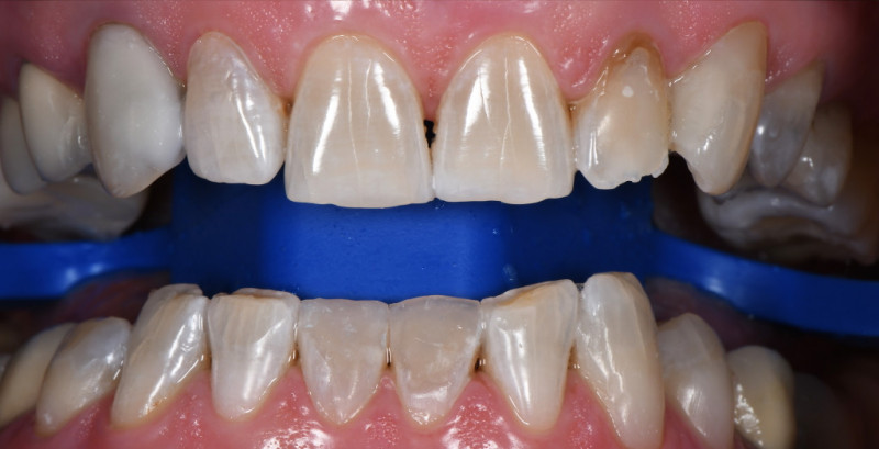
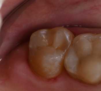
Ловягина Надежда Владиславовна принимает в «КРЕМЛЕВСКАЯ СТОМАТОЛОГИЯ» в Рязани. Стаж 11 лет. Специализируется на терапии, по которой клиника оказывает 13 услуг. Имеет 22 работы до/после в портфолио. Квалификация специалиста подтверждена 25 лицензиями, сертификатами и наградами. Для уточнения дополнительной информации о специалисте или записи на прием можно позвонить по телефону
+7 (491)Показать телефон
. Также 32top представляет форму онлайн расписания, через которую можно записаться к специалисту на свободную дату и время.

Где принимает:

Опыт 11 лет
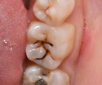
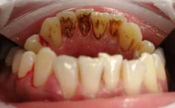
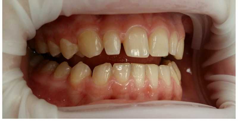
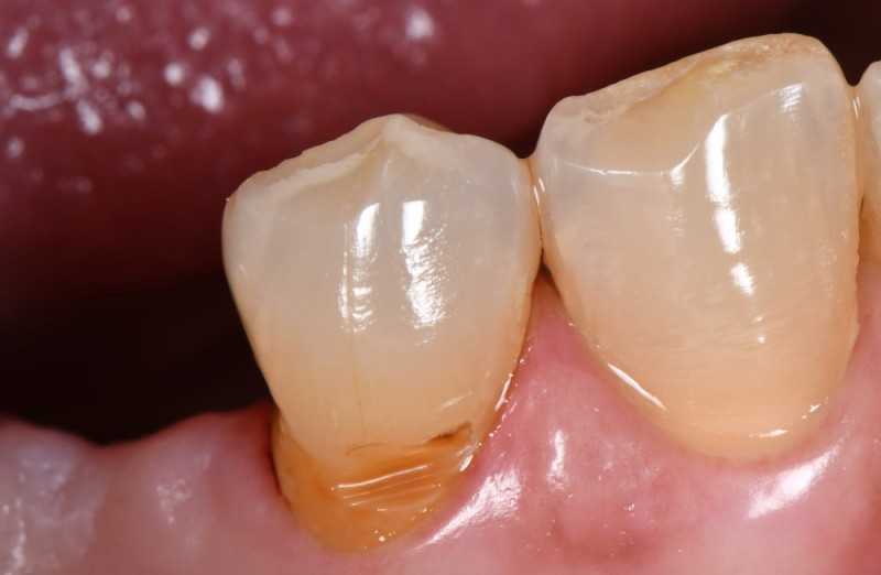
22 работы в портфолио
25 сертификатов

Отзывы о враче Ловягина Надежда Владиславовна

Рейтинг: 5
Отзывов: 3
Положительных: 3
Отрицательных: 0
Последний: 1563 дн. назад
5.0
Почему нашим отзывам можно доверять?
28 января 2022 г.
1 2 3 4 5
Больше всего мне понравилась Надежда Владиславовна, сразу видно, что она профессионал своего дела! Процедура длилась минут 20, это без осмотра и без расчёта. Стоматолог сделала всё очень быстро и очень качественно! К Ловягиной я обратилась потому, что мне требовалось вылечить зуб. Я к этому доктору ходила впервые. Именно к Надежде Владиславовне я записалась потому, что её мне рекомендовали. Для диагностики моей проблемы были сделаны снимки. Отмечу, что при проведении процедуры была использовала анестезия, так что всё прошло безболезненно. Я считаю, что в итоге стоматолог всё сделала хорошо, на высший балл! Я буду рекомендовать Надежда Владиславовну!
Большое спасибо за добрые слова в адрес нашего специалиста! Рады быть полезными в решении стоматологических вопросов. С уважением и наилучшими пожеланиями.
16 декабря 2020 г.
1 2 3 4 5
История моя началась с того, что я потерял огромное количество времени сначала в очередях муниципальных стоматологий, потом деньги впустую потратил в другой частной клинике, по своей проблеме получил только сухое: «Удаляйте, потом запротезируем». Как хорошо, что жизнь свела меня с прекрасным врачом и просто замечательным человеком Ловягиной Надеждой Владиславовной! Она не только вылечила мой несчастный зуб и спасла его от удаления, но и жене моей помогла вылечить кариес, причем все быстро и без навязывания лишних процедур. Огромное спасибо врачу и всему персоналу клиники, теперь ходим всей семьей только сюда! Чего и Вам желаем!_)
Благодарю за то, что поделились своей историей и впечатлениями. Рады быть полезными! С уважением и наилучшими пожеланиями.
19 апреля 2020 г.
1 2 3 4 5
Выражаю огромную благодарность Ловягиной Надежде Владиславовне, за превосходный прием, не говоря уже о профессионализме, доктор очень доступно разъяснил суть проблемы, ход предстоящего лечения, были даны подробные рекомендации по предотвращению дальнейших осложнений. Буду обязательно рекомендовать данного специалиста.
Официальный представитель клиники
21 апреля 2020 г.
Спасибо за искренние слова в адрес врача Надежды Владиславовны! Очень приятно читать, что Вы остались довольны сервисом клиники. С уважением и наилучшими пожеланиями.
    Помогите другим сделать правильный выбор — оставьте свой отзыв о докторе
    Написать отзыв

    Услуги врача (57)

    Терапевтическая стоматология
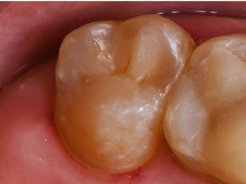
    Лечение кариеса
    от 6 500 ₽ за 1 зуб
    Лечение кариеса ICON
    Лечение поверхностного кариеса
    Еще услуги
    Профгигиена
    Комплексная гигиена полости рта
    от 6 000 ₽ вся полость
    Чистка зубов Air-flow
    от 5 000 ₽ до 6 000 ₽ за 1 сеанс
    Ультразвуковая чистка зубов
    Еще услуги
    Эстетическая стоматология
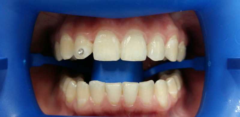
    Отбеливание зубов
    Наращивание зубов
    Установка виниров
    от 9 000 ₽ до 36 000 ₽ за 1 зуб
    Еще услуги
    Все цены носят ознакомительный характер. Точную цену вы сможете получить только после консультации специалиста.
    Звоните по телефону:
    +7 (491)Показать телефон

    О стоматологе

    Ловягина Надежда Владиславовна внимательный и отзывчивый специалист, который относится к работе старательно и выполняет ее на высоком профессиональном уровне. Надежда Владиславовна умеет выслушать, вникнуть в проблему и дать полезный совет. В практике использует новейшие медицинские технологии. Ей присущи такие профессиональные качества, как целеустремленность, трудолюбие и особая аккуратность.

    Профессиональные навыки:

    • Лечение кариеса
    • Лечение пульпита
    • Лечение периодонтита
    • Профессиональная гигиена полости рта
    • Реминерализующая терапия
    • Фторирование

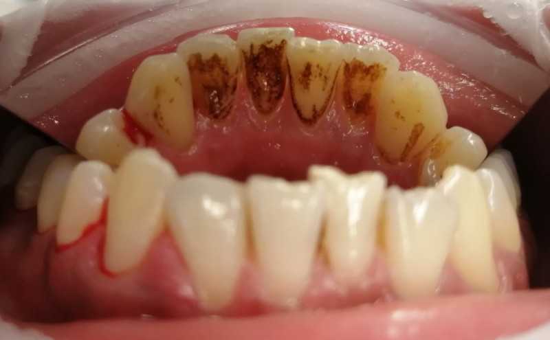
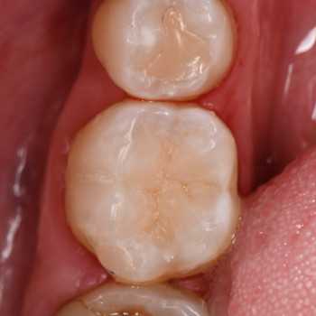
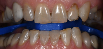
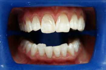
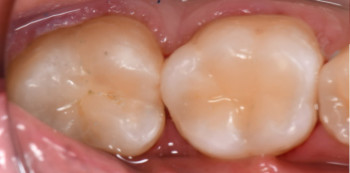
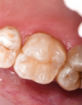
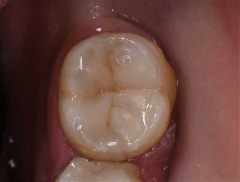
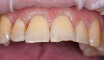
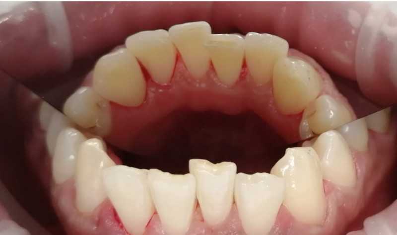
    Ловягина Надежда Владиславовна: портфолио (22)