Стоматолог Матвеев Евгений Алексеевич — цены, отзывы, стаж — Принимает в Рязани

Матвеев Евгений Алексеевич

Матвеев Евгений Алексеевич - фотография

5.0
Рейтинг: 5.0
Отзывов: 12
Положительных: 12
Отрицательных: 0
Последний : 80 дн. назад
12 отзывов
стоматолог-хирург
стоматолог-имплантолог
Стаж 9 лет
Матвеев Евгений Алексеевич принимает в «Современная стоматология МЕДИ-ЛАЙТ» в Рязани. Стаж 9 лет. Специализируется на хирургии и имплантологии, по которым клиника оказывает 14 услуг. Имеет 2 работы до/после в портфолио. Квалификация специалиста подтверждена 8 лицензиями, сертификатами и наградами, а опыт 12 отзывами пациентов, из которых 12 положительные. Для уточнения дополнительной информации о специалисте или записи на прием можно позвонить по телефону
+7 (491)Показать телефон
. Занимает 15 место в рейтинге стоматологов вашего города. Также 32top представляет форму онлайн расписания, через которую можно записаться к специалисту на свободную дату и время.

Где принимает:

Топ 20 в рейтинге
8 сертификатов
2 работы в портфолио
Опыт 9 лет

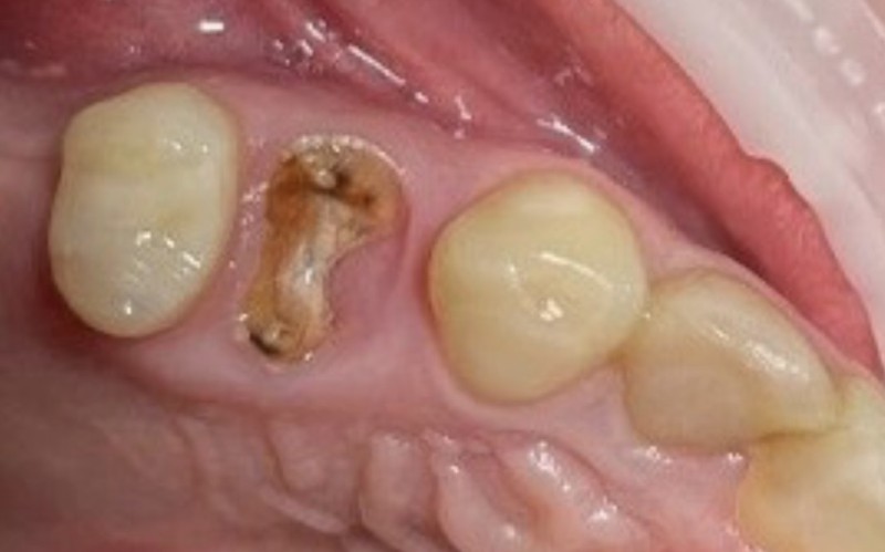
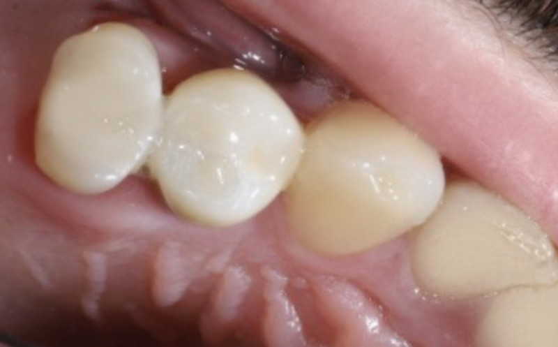
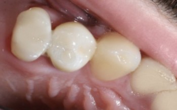
Матвеев Евгений Алексеевич: портфолио (2)

Отзывы о враче Матвеев Евгений Алексеевич

Рейтинг: 5
Отзывов: 12
Положительных: 12
Отрицательных: 0
Последний: 80 дн. назад
5.0
Почему нашим отзывам можно доверять?
16 февраля 2026 г.
1 2 3 4 5
У Евгения Алексеевича удаляла зуб. Очень добрый, вежливый. У доктора легкая рука, даже не почувствовала ничего и после удаления никаких осложнений. Рекомендую и доктора, и клинику.
Уважаемый пациент! Большое спасибо за тёплые слова и доверие к доктору Матвееву Евгению Алексеевичу! Мы очень рады, что удаление зуба прошло для вас легко, безболезненно и без осложнений — а «лёгкая рука» врача и его доброе, внимательное отношение действительно помогают чувствовать себя спокойно даже в такие ответственные моменты. Спасибо, что рекомендуете и доктора, и клинику! С заботой, команда «Эксперт Клиник»
27 июня 2025 г.
1 2 3 4 5
Очень довольна качеством удаления зубов у Матвеева Евгения Алексеевича. Процедура прошла максимально аккуратно и безболезненно. После операции чувствовала себя хорошо. Прекрасный доктор, теперь всем рекомендую!
Уважаемый пациент, благодарим вас за доверие и такой искренний отзыв! Очень рады, что процедура удаления прошла комфортно и без последующего дискомфорта. Это подтверждает высочайший уровень профессионализма нашего врача и использование современных методик в клинике. Спасибо, что рекомендуете нас! Будем рады видеть вас снова — теперь уже на профилактических осмотрах!
19 января 2025 г.
1 2 3 4 5
Клиника супер!!! Вылечила 15 зубов у Дарьи Валерьевны Кочетковой, отличный доктор, очень тактичная, максимально старается сделать лучше именно для зубов, а не "тупо содрать деньги". Очень понравилась!! Рекомендую 100%. Плюс хирург Матвеев вырывал зуб Мудрости, вообще никакой боли после этого не было. 👍👍👍
Уважаемый пациент, спасибо за вашу положительную оценку работы нашей клиники! Мы рады, что наши специалисты заслужили ваше доверие. Ваше здоровье и удовлетворение - наш главный приоритет. Ждем вас снова в Expert Clinic!
16 января 2025 г.
1 2 3 4 5
Была на приеме у Матвеева Евгения Алексеевича, на удалении зуба! Сначала переживала, но врач своим спокойствием и уверенностью не дал мне повод для беспокойства! Профессионально удалил зуб, быстро, отнёсся очень внимательно. В самой клинике все очень красиво и чисто, очень добрые и приветливые работники, приятно, что ещё есть такие места! От души рекомендую!
Уважаемый пациент, благодарим Вас за отзыв! Ваша благодарность -лучшая награда для нашей команды. Спасибо за доверие к Expert Clinic, мы всегда рады оправдывать Ваши ожидания. Здоровья Вам!
26 июля 2024 г.
1 2 3 4 5
В очередной раз хочу поблагодарить доктора Матвеева Евгения Алексеевича и персонал клиники за высочайший профессионализм и человеческое отношение
Здравому, нам очень приятно слышать вашу благодарность. Доктор Евгений Алексеевич и весь наш персонал всегда стремятся обеспечить высший уровень профессионализма и заботы о пациентах. Ваше доверие - лучшая награда для нас. С уважением, команда Expert Clinic.
7 декабря 2023 г.
1 2 3 4 5
Была на приеме у Матвеева Евгения Алексеевича, удаление прошло успешно, без боли. Врач очень внимательно отнесся, было комфортно. Спасибо за вежливое отношение всему персоналу.
Здравствуйте! Огромное спасибо, что выбрали нас и доверились нашим докторам. Такие отзывы помогают нам понять, что особенно важно для наших пациентов. Мы гарантируем каждому пациенту комфортное лечение и отличный результат. Будьте здоровы! До новых встреч.
18 марта 2023 г.
1 2 3 4 5
Отличная клиника! Всё понравилось! Доктор Матвеев Евгений Алексеевич замечательный, я в восторге, золотые руки!!! Просто волшебник. Буду и дальше к нему обращаться.
Здравствуйте! Спасибо, мы очень ценим благодарность и отзывчивость пациентов. Рады, что смогли оправдать ваше доверие и не подвели Вас. Мы с очень стараемся, чтобы каждый визит к нам был комфортным, а лечение – эффективным. Желаем вам здоровья и всех благ!
7 февраля 2023 г.
1 2 3 4 5
Доктор Матвеев Евгений Алексеевич мастер своего дела!!! Зуб удалил, я даже и не понял как! Ни боли, ни дискомфорта!!! Всем рекомендую!
После приема Пациент записывался в клинику через 32top. После приёма мы позвонили ему и получили отзыв.
29 мая 2022 г.
1 2 3 4 5
В эту стоматологию хожу я и мои двое сыновей 4,5 и 7,5 лет. Мы в восторге от клиники. К тому же стоматология расположена в нашем доме. Персонал вежливый, чистота. По острой боли мы никогда не обращались, только планово, записывают быстро администраторы. Я хочу сказать спасибо врачам к которым мы обращаемся - это Мишина Татьяна, Матвеев Евгений. Знают свое дело, грамотные, качественно выполняют работу. А дети проходят лечение у Ерёминой Натальи. Сначала проводят адаптацию, все в игровой форме, надевают на ребенка очки, удаление зуба прошло незаметно и без слез. Затем зубик одели на веревочку и отдали. Так же в подарок получили блокнотик. Мы очень довольны.
Добрый день! Спасибо. Получить положительный отзыв от пациента после приёма очень ценно для нас и наших замечательных докторов. Рады, что вам у нас понравилось, и главное - что мы смогли вам помочь. Здоровья вам и вашей семье!
После приема Пациент записывался в клинику через 32top. После приёма мы позвонили ему и получили отзыв.
17 мая 2022 г.
1 2 3 4 5
Обратилась планово к хирургу. Записали быстро, накануне получила напоминание с ресепшен. Понравилось обращение в клинике, вежливый персонал. Удалил зуб мне Матвеев Евгений. Очень добрый, внимательный врач. Процедура прошла безболезненно, хорошая анестезия и профессионализм врача. Приходила потом на повторный осмотр, осложнений не возникло. Обращаться планирую ещё в эту стоматологию.
Добрый день! Спасибо! Ваш отзыв – лучшая оценка качества нашей работы. Мы рады, что приём у нашего специалиста Евгения Алексеевича вызвал положительные эмоции. Ждём вас для продолжения лечения! Будьте здоровы!
    Помогите другим сделать правильный выбор — оставьте свой отзыв о докторе
    Написать отзыв

    Услуги стоматолога в других клиниках

    Диагностика
    Консультация имплантолога от 1 ₽ до 1 000 ₽
    Хирургическая стоматология
    Удаление зубов от 1 100 ₽ до 12 000 ₽
    Удаление кисты и гранулемы зуба от 2 000 ₽ до 8 000 ₽
    Еще услуги
    Имплантация
    Методы имплантации
    Одномоментная имплантация
    от 38 000 ₽ до 55 000 ₽
    Еще услуги