Стоматолог Сумонова Мария Сергеевна — цены, отзывы, стаж — Принимает в Рязани

Сумонова Мария Сергеевна

Сумонова Мария Сергеевна - фотография

5.0
Рейтинг: 5.0
Отзывов: 29
Положительных: 29
Отрицательных: 0
Последний : 21 дн. назад
29 отзывов
2 место в рейтинге
стоматолог-терапевт
детский стоматолог
Стаж 10 лет
Сумонова Мария Сергеевна принимает в «Клиника АЛЬФА-СТОМАТОЛОГИЯ» в Рязани. Стаж 10 лет. Специализируется на терапии и детской стоматологии, по которым клиника оказывает 25 услуг. Имеет 2 работы до/после в портфолио. Квалификация специалиста подтверждена 22 лицензиями, сертификатами и наградами, а опыт 29 отзывами пациентов, из которых 29 положительные. Для уточнения дополнительной информации о специалисте или записи на прием можно позвонить по телефону
+7 (491)Показать телефон
. Занимает 2 место в рейтинге стоматологов вашего города. Также 32top представляет форму онлайн расписания, через которую можно записаться к специалисту на свободную дату и время.

Где принимает:

2 работы в портфолио
2 место в рейтинге
Опыт 10 лет
22 сертификата

Отзывы о враче Сумонова Мария Сергеевна

Рейтинг: 5
Отзывов: 29
Положительных: 29
Отрицательных: 0
Последний: 21 дн. назад
5.0
Пациенты отмечают:
Профессионализм
Вежливость
Подробные объяснения
Тщательный осмотр
Аккуратность
Лечение помогло
Почему нашим отзывам можно доверять?
16 апреля 2026 г.
1 2 3 4 5
К Сумоновой Марии Сергеевне хожу уже не первый раз) Прекрасный врач! С ней, в своем не детском уже возрасте перестал боятся врачей стоматологов) Главное, вовремя прийти, не тянуть. Сегодня был просто осмотр - недавно проходил лечение и забыл взять заключение о санации, вот зашёл к Марии Сергеевне "просто спросить" Но рекомендую ее как врача, поскольку до этого ни раз у нее лечил и кариес, и пульпит даже под микроскопом. В знак благодарности считаю крайне важно поддерживать таких врачей положительными отзывами, и чтобы другие пациенты знали, к кому идти)
Большое спасибо за такой подробный и искренний отзыв! Нам очень приятно, что вы уже не первый раз выбираете нашу клинику и доверяете Марии Сергеевне. Рады, что благодаря её профессионализму и внимательному подходу у вас изменилось отношение к стоматологическому лечению — это для нас особенно ценно. Здорово, что вы отметили как качество лечения, так и комфорт на приёме. Отдельное спасибо за вашу поддержку и рекомендации — такие слова действительно вдохновляют наших врачей! Будем рады видеть вас снова!
После приема Пациент записывался в клинику через 32top. После приёма мы позвонили ему и получили отзыв.
5 апреля 2026 г.
1 2 3 4 5
Приезжаю на лечение в клинику из другого города, нашла ее в интернете по отзывам. Полностью вылечила зубы с врачом Сумоновой. Прекрасная врач, внимательная, очень подробно всегда расскажет о лечении, даст рекомендации, все делает очень аккуратно. Имплантацию делала у Евгения Андреевича, тоже осталась довольна, подобрал и сделал все отлично и качественно. Цена за такое качество просто шикарная.
Спасибо вам за такой тёплый и подробный отзыв! Нам особенно приятно, что вы доверили нам своё лечение, несмотря на расстояние, и остались довольны результатом. Обязательно передадим ваши слова благодарности врачу Сумоновой и Евгению Андреевичу — для них очень важно получать такую обратную связь Рады, что смогли оправдать ваше доверие и сделать лечение комфортным и качественным. Будем всегда рады видеть вас в нашей клинике!
30 марта 2026 г.
1 2 3 4 5
Была на приеме у Марии Сергеевны и осталась в восторге. Врач очень трепетно, тактично и внимательно отнеслась к моей проблеме и помогла ее решить. Долгое время беспокоила боль в зубе, поэтому решила обратиться к стоматологу. Выбор пал на Альфа-стоматологию, так как мои друзья рекомендовали мне именно ее После приема я удостоверилась, что там работают профессионалы, которые искренне заботятся о вашем здоровье. Весь персонал вежливый и приветливый. Однозначно вернусь туда снова
Большое спасибо за такой подробный и искренний отзыв! Нам очень приятно, что вы выбрали нашу клинику по рекомендации и остались довольны приёмом. Мария Сергеевна действительно очень внимательный и чуткий специалист, и мы рады, что смогли помочь вам решить проблему и сделать лечение комфортным. Отдельное спасибо за добрые слова в адрес всей команды — для нас важно, чтобы каждый пациент чувствовал заботу и внимание с первых минут. Будем рады видеть вас снова!
После приема Пациент записывался в клинику через 32top. После приёма мы позвонили ему и получили отзыв.
28 марта 2026 г.
1 2 3 4 5
В клинике лечение проводила я сама, так же реставрировали зуб сыну. Мария Сергеевна - отличный специалист, сделала зуб сыну так хорошо и качественно, что даже лучше своего. Сама я много раз лечила зубы у Арины Андреевны - очень хороший специалист, внимательная, опытная, все лечение проходит в хорошей обстановке, рассказывает, какой план лечения и как будет все проходить. Ставила имплант у Евгения Андреевича, тоже прекрасный специалист. Вообще, все врачи этой клиники вызывают доверие в лечении зубов. Единственное- хотелось бы немного рекомендовать девушкам на рецепшен быть отзывчивее и любезнее с клиентами.
Спасибо вам за такой подробный и искренний отзыв! Нам очень приятно, что вы доверяете здоровье своё и вашего сына нашей клинике. Отдельно благодарим за высокую оценку работы Марии Сергеевны, Арины Андреевны и Евгения Андреевича — обязательно передадим им ваши тёплые слова. Для нас важно, что вы отмечаете не только качество лечения, но и внимательное отношение и понятное сопровождение на каждом этапе. Также благодарим вас за обратную связь по работе рецепшен. Мы обязательно обратим на это внимание и проведём дополнительную работу с администраторами, чтобы сервис был на таком же высоком уровне, как и лечение. Спасибо за доверие — будем рады видеть вас и вашу семью снова!
После приема Пациент записывался в клинику через 32top. После приёма мы позвонили ему и получили отзыв.
21 января 2026 г.
1 2 3 4 5
Прекрасная клиника, хожу туда уже давно. В основном проходила лечение у терапевта Марии Сергеевны. Прекрасный врач, вежливая, очень внимательная, всегда дает важные рекомендации, лечение очень проводит аккуратно, я довольна. Так же прошла имплантацию у Евгения Андреевича- мастер своего дела, отличный специалист. Я очень довольна всеми результатами их лечения.
Спасибо вам за такой тёплый и подробный отзыв Нам очень приятно, что вы давно выбираете нашу клинику и доверяете своё здоровье Марии Сергеевне и Евгению Андреевичу. Передадим врачам ваши слова благодарности — для них это действительно важно. Рады, что вы остались довольны и лечением, и результатами. Будем рады видеть вас снова!
После приема Пациент записывался в клинику через 32top. После приёма мы позвонили ему и получили отзыв.
7 октября 2025 г.
1 2 3 4 5
Давний клиент этой клиники. Считаю, что эта лучшая клиника для меня. Прекрасные вежливые администраторы, очень отзывчые, всегда находят удобное время. Врачи все опытные, квалифицированные специалисты с большим стажем. За все это время была у многих врачей: Лавренюк А.И, Лавренюк Е.А., Жаровой Н.Б., Лавренюк Н.В., Махмутова Т.И., Сумоновой М.С. Отличный врачебный состав, все работают на отлично.
Спасибо за отзыв! Очень приятно, что вы цените профессионализм наших врачей и заботу коллектива. Мы всегда рады поддерживать здоровье вашей улыбки и видеть вас снова!
После приема Пациент записывался в клинику через 32top. После приёма мы позвонили ему и получили отзыв.
27 сентября 2025 г.
1 2 3 4 5
Услугами этой клиники пользуемся всей семьей, очень довольны. Лечу детей у Марии Сергеевны. Старшая дочь ходит к ортодонту Анастасии Валерьевне. Я сама проходила имплантацию у Евгения Андреевича, лечение проводила врач - Арина Андреевна. Все отличные специалисты, опытные, профессионалы своего дела, отличный врачебный коллектив и все сотрудники очень отзывчивые и приятные. Спасибо всем.
Благодарим за отзыв! Приятно слышать, что ваша семья довольна посещениями нашей клиники. Наши врачи всегда готовы помочь, и будем рады видеть вас снова, поддерживая здоровье ваших улыбок!
27 декабря 2024 г.
1 2 3 4 5
Ходили к врачу, Марии Сергеевне, на реставрацию зубов! Прекрасный приём,квалифицированный специалист, большое спасибо за качественную работу.
Благодарим за оценку нашего специалиста. Мы рады, что оправдываем Ваши ожидания. Всегда рады помочь)
После приема Пациент записывался в клинику через 32top. После приёма мы позвонили ему и получили отзыв.
16 октября 2024 г.
1 2 3 4 5
В клинике я лечусь давно. Я удаляла зубы мудрости у Махмутова Тимура Ильшатовича, лечила зубы у Марии Сергеевны, также наблюдаюсь у ортодонта Анастасии Валерьевны - всё отлично, прекрасно, это наша любимая семейная клиника. Всё отлично - весь персонал приветливый, администраторы, врачи, ассистенты, медсёстры. С финансовой стороны - очень приемлемо. Всегда всем рекомендую знакомым, друзьям!
Спасибо за Ваш отзыв! Мы очень ценим Ваше мнение и нам важна оценка наших специалистов! Всегда рады помочь!
15 июля 2024 г.
1 2 3 4 5
Клиника замечательная, врачи хорошие, весь персонал приветливый. Лечил зубы у Сумоновой М.С. и Снимщиковой А.А., так же перелечивали под микроскопом, меняли старые пломбы. Всё прошло отлично, результатом доволен, теперь только в эту стоматологию хожу.
Спасибо большое за такой отзыв! Это лучшая награда для наших врачей и для клиники в целом. Всегда рады помочь!
    Помогите другим сделать правильный выбор — оставьте свой отзыв о докторе
    Написать отзыв

    Услуги врача (29)

    Терапевтическая стоматология
    Лечение кариеса
    от 6 000 ₽ за 1 зуб
    Лечение кариеса ICON
    от 6 000 ₽ за 1 зуб
    Лечение пульпита
    от 5 000 ₽ за 1 зуб
    Еще услуги
    Детская стоматология
    Удаление зубов у детей
    от 1 500 ₽ за 1 зуб
    Удаление зубов под наркозом у детей
    Лечение молочных зубов
    от 3 000 ₽ за 1 зуб
    Еще услуги
    Все цены носят ознакомительный характер. Точную цену вы сможете получить только после консультации специалиста.
    Звоните по телефону:
    +7 (491)Показать телефон

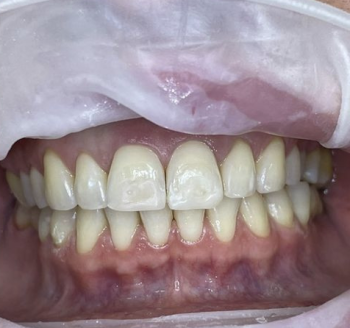
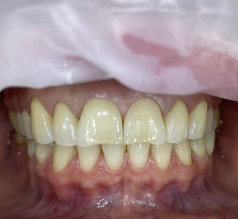
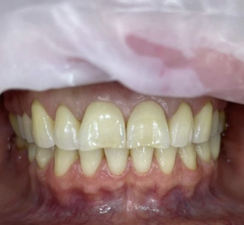
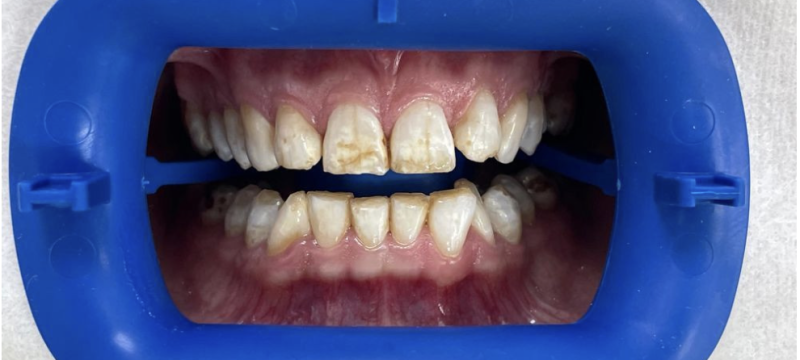
    Сумонова Мария Сергеевна: портфолио (2)

    Акции и скидки клиники АЛЬФА-СТОМАТОЛОГИЯ (7)