Стоматолог Холодник Ирина Валериевна — цены, отзывы, стаж — Принимает в Рязани

Холодник Ирина Валериевна

Холодник Ирина Валериевна - фотография

5.0
Рейтинг: 5.0
Отзывов: 4
Положительных: 4
Отрицательных: 0
Последний : 780 дн. назад
4 отзыва
стоматолог-терапевт
стоматолог-ортопед
гнатолог
Стаж 11 лет
Холодник Ирина Валериевна принимает в «КРЕМЛЕВСКАЯ СТОМАТОЛОГИЯ» в Рязани. Стаж 11 лет. Специализируется на терапии, ортопедии и гнатологии, по которым клиника оказывает 25 услуг. Имеет 2 работы до/после в портфолио. Квалификация специалиста подтверждена 12 лицензиями, сертификатами и наградами. Для уточнения дополнительной информации о специалисте или записи на прием можно позвонить по телефону
+7 (491)Показать телефон
. Занимает 2 место в рейтинге гнатологов 32top в вашем городе. Также 32top представляет форму онлайн расписания, через которую можно записаться к специалисту на свободную дату и время.

Где принимает:

12 сертификатов
Опыт 11 лет
2 работы в портфолио

Отзывы о враче Холодник Ирина Валериевна

Рейтинг: 5
Отзывов: 4
Положительных: 4
Отрицательных: 0
Последний: 780 дн. назад
5.0
Почему нашим отзывам можно доверять?
После приема Пациент записывался в клинику через 32top. После приёма мы позвонили ему и получили отзыв.
20 марта 2024 г.
1 2 3 4 5
Искала гнатолога в различных клиниках города, обнаружила такого специалиста только здесь, доктора Ирину Валериевну, так что можно сказать, шла к врачу целенаправленно. Сходила на консультацию - всё хорошо, пообщалась с грамотным специалистом, обсудили все проблемы с челюстью. Только начала ходить на приёмы, пусть дороговато, но намерена лечиться здесь и дальше.
Добрый день! Благодарим Вас за высокую оценку работы нашей компании. Будьте здоровы! С наилучшими пожеланиями, Кремлевская стоматология.
28 декабря 2020 г.
1 2 3 4 5
Хочу оставить отзыв о работе врача Холодник Ирины Валерьевны. По совету родственников обратилась в Кремлевскую Стоматологию к ней со своими застарелыми проблемами, так как очень давно не посещала стоматолога, все откладывала на потом. В ходе осмотра обнаружились и другие проблемы, которые Ирина Валерьевна помогла мне решить очень быстро и аккуратно, работа врача в целом очень деликатная и с большим вниманием к пациенту, что не может не радовать. Вообще клиника очень приятная и светлая, огромное спасибо вам за работу!
Очень рад читать о Ваших положительных впечатлениях о качестве произведенного лечения! С уважением и наилучшими пожеланиями.
31 августа 2020 г.
1 2 3 4 5
Установила в этой стоматологии виниры. Результатом очень довольна, до сих пор любуюсь на свою новую красивую улыбку))) зубки такие ровные, белые, красивые, главное - выглядят очень естественно. Хочу поблагодарить Холодник Иру Валерьевну за потрясающе выполненную работу, она отличный стоматолог-ортопед!
Официальный представитель клиники
28 сентября 2020 г.
Наталия, очень рад, что Вы остались довольны качеством услуг. Поздравляем с новой улыбкой! С уважением и наилучшими пожеланиями.
Официальный представитель клиники
2 октября 2020 г.
Наталия, поздравляю Вас с обновленной улыбкой!) Спасибо, что поделились впечатлениями о качестве проведенного лечения в нашей клинике. Рады быть полезными. С уважением и наилучшими пожеланиями.
12 апреля 2020 г.
1 2 3 4 5
Хочу поблагодарить врача Ирину Валерьевну за профессионализм и чуткость к пациентам. Прошу руководство клиники отметить работу этого врача. Спасибо.
Официальный представитель клиники
21 апреля 2020 г.
Инесса, спасибо за доверие! Очень рад, что Вы остались довольны качеством оказанных услуг. Всегда рады помочь. С уважением и наилучшими пожеланиями.
    Помогите другим сделать правильный выбор — оставьте свой отзыв о докторе
    Написать отзыв

    Услуги врача (84)

    Терапевтическая стоматология
    Лечение кариеса
    от 6 500 ₽ за 1 зуб
    Лечение кариеса ICON
    Лечение поверхностного кариеса
    Еще услуги
    Профгигиена
    Комплексная гигиена полости рта
    от 6 000 ₽ вся полость
    Чистка зубов Air-flow
    от 5 000 ₽ до 6 000 ₽ за 1 сеанс
    Ультразвуковая чистка зубов
    Еще услуги
    Эстетическая стоматология
    Отбеливание зубов
    Наращивание зубов
    Установка виниров
    от 9 000 ₽ до 36 000 ₽ за 1 зуб
    Еще услуги
    Протезирование зубов
    Установка коронки на зуб
    от 18 000 ₽ до 20 000 ₽ за 1 зуб
    Установка протеза Акри Фри (Acry-Free)
    Ремонт зубных протезов
    Еще услуги
    Все цены носят ознакомительный характер. Точную цену вы сможете получить только после консультации специалиста.
    Звоните по телефону:
    +7 (491)Показать телефон

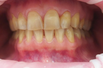
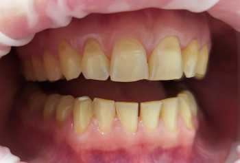
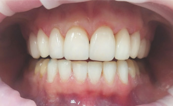
    Холодник Ирина Валериевна: портфолио (2)