Пилипенко (Баранова) Ксения Олеговна
Стаж
10 лет
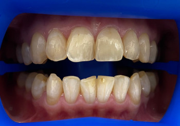
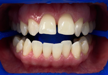
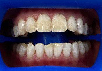
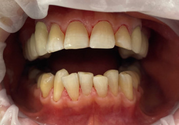
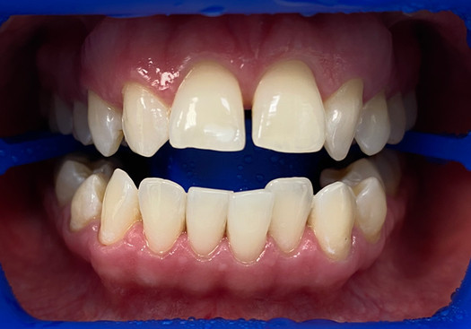
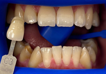
Пилипенко (Баранова) Ксения Олеговна принимает в «Стоматологическая клиника МАЙ ДЭНТ КЛИНИК» в Рязани. Стаж 10 лет. Специализируется на терапии и эндодонтическом лечении, по которым клиника оказывает 7 услуг. Имеет 6 работ до/после в портфолио. Квалификация специалиста подтверждена 16 лицензиями, сертификатами и наградами, а опыт 13 отзывами пациентов, из которых 13 положительные. Для уточнения дополнительной информации о специалисте или записи на прием можно позвонить по телефону
+7 (491)Показать телефон
. Занимает 8 место в рейтинге стоматологов-эндодонтистов 32top в вашем городе.
Где принимает:
-
Стоматологическая клиника МАЙ ДЭНТ КЛИНИК (MY DENT CLINIC) ул. Кальная, д. 5
Опыт 10 лет
16 сертификатов
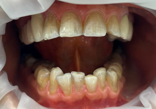
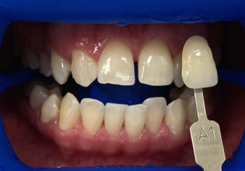
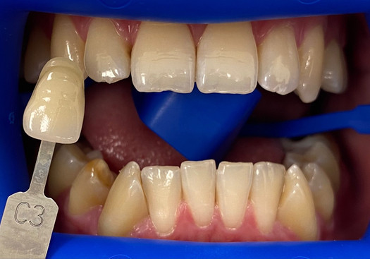
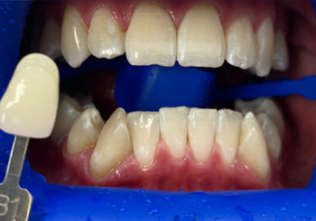
6 работ в портфолио
Отзывы о враче Пилипенко (Баранова) Ксения Олеговна
Каждый отзыв проходит тщательную проверку Если у нас есть сомнения в достоверности, мы проводим дополнительную проверку: связываемся с автором отзыва и запрашиваем документы, подтверждающие факт посещения клиники.
30% отзывов не проходят модерацию Мы не размещаем и не допускаем к публикации заказные отзывы.
Собираем отзывы после приёма Наш колл-центр получает отзывы у пациентов, записавшихся на приём через 32top.