Стоматолог Терехина Наталья Сергеевна — цены, отзывы, стаж — Принимает в Рязани

Терехина Наталья Сергеевна

Терехина Наталья Сергеевна - фотография
стоматолог-терапевт
стоматолог-ортопед
стоматолог-гигиенист
стоматолог-имплантолог
Стаж 10 лет
Терехина Наталья Сергеевна принимает в «Стоматология ДЕНТАЛЮКС» в Рязани. Стаж 10 лет. Специализируется на терапии, ортопедии, гигиене полости рта и имплантологии, по которым клиника оказывает 45 услуг. Имеет 4 работы до/после в портфолио. Квалификация специалиста подтверждена 38 лицензиями, сертификатами и наградами. Для уточнения дополнительной информации о специалисте или записи на прием можно позвонить по телефону
+7 (491)Показать телефон
.

Где принимает:

38 сертификатов
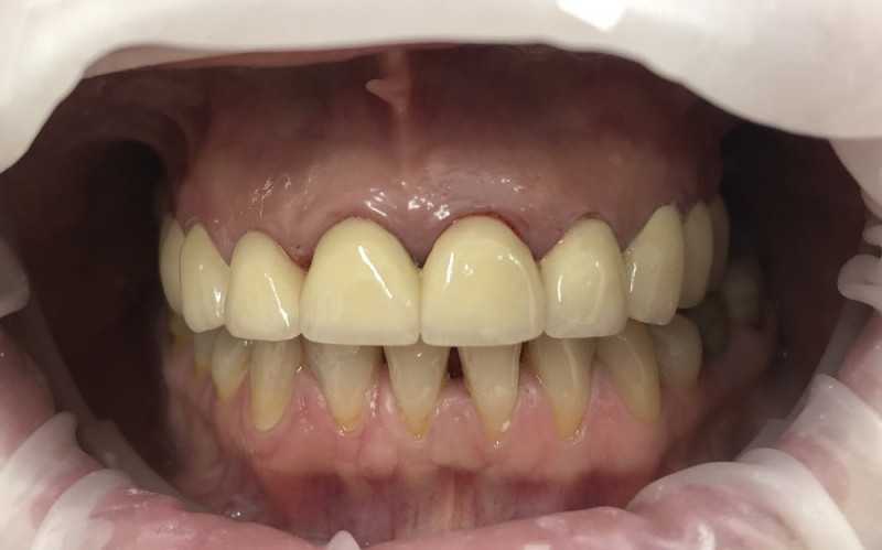
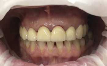
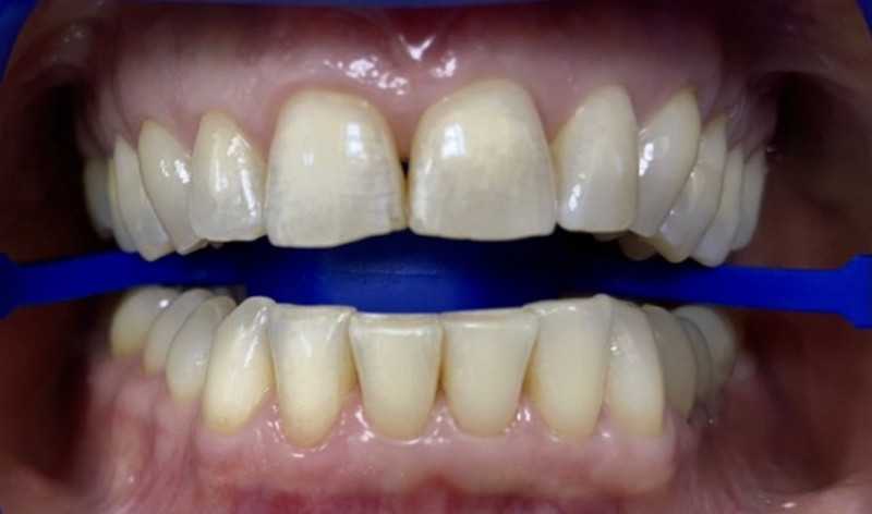
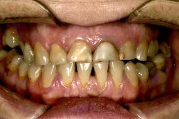
4 работы в портфолио
Опыт 10 лет

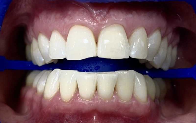
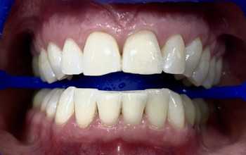
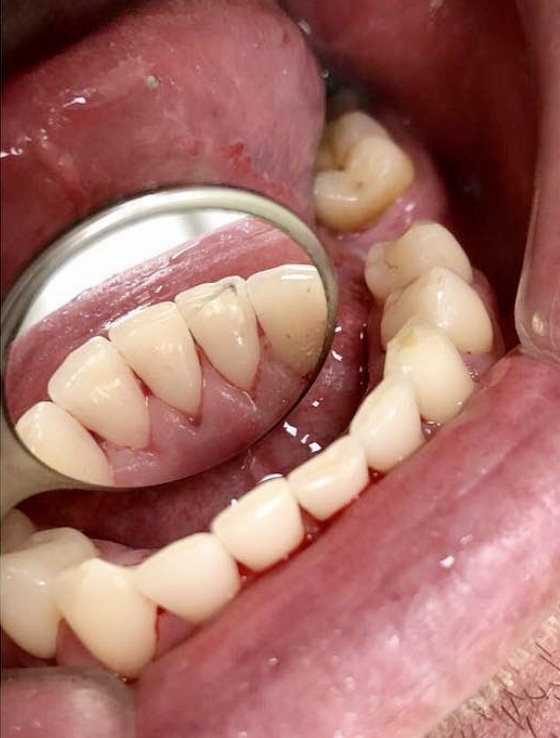
Терехина Наталья Сергеевна: портфолио (4)

    Помогите другим сделать правильный выбор — оставьте свой отзыв о докторе
    Написать отзыв

    Услуги стоматолога в других клиниках

    Диагностика
    Консультация стоматолога от 1 ₽ до 2 500 ₽
    Консультация ортодонта от 1 ₽ до 1 500 ₽
    Еще услуги
    Терапевтическая стоматология
    Лечение кариеса от 3 500 ₽ до 9 700 ₽
    Лечение пульпита от 5 000 ₽ до 22 900 ₽
    Еще услуги
    Эстетическая стоматология
    Установка виниров от 31 100 ₽ до 40 000 ₽
    Установка скайсов от 1 500 ₽ до 3 050 ₽
    Еще услуги
    Протезирование зубов
    Установка коронки на зуб от 5 000 ₽ до 49 800 ₽
    Виды протезов
    Еще услуги
    Имплантация
    Установка мини-импланта от 6 600 ₽ до 24 150 ₽
    Коронки на имплантах от 14 100 ₽ до 60 000 ₽
    Еще услуги
    Профгигиена
    Чистка зубов Air-flow от 2 000 ₽ до 6 950 ₽
    Полировка зубов от 100 ₽ до 890 ₽
    Еще услуги