Стоматолог Мишина Татьяна Сергеевна — цены, отзывы, стаж — Принимает в Рязани

Мишина Татьяна Сергеевна

Мишина Татьяна Сергеевна - фотография

5.0
Рейтинг: 5.0
Отзывов: 14
Положительных: 14
Отрицательных: 0
Последний : 17 дн. назад
14 отзывов
стоматолог-терапевт
стоматолог-эндодонтист
Стаж 14 лет
Мишина Татьяна Сергеевна принимает в «Стоматологическая клиника ЭКСПЕРТ КЛИНИК» в Рязани. Стаж 14 лет. Специализируется на терапии и эндодонтическом лечении, по которым клиника оказывает 14 услуг. Имеет 5 работ до/после в портфолио. Квалификация специалиста подтверждена 9 лицензиями, сертификатами и наградами, а опыт 14 отзывами пациентов, из которых 14 положительные. Для уточнения дополнительной информации о специалисте или записи на прием можно позвонить по телефону
+7 (491)Показать телефон
. Занимает 18 место в рейтинге стоматологов вашего города. Также 32top представляет форму онлайн расписания, через которую можно записаться к специалисту на свободную дату и время.

Где принимает:

Топ 20 в рейтинге
Опыт 14 лет
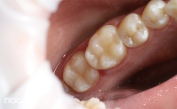
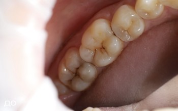
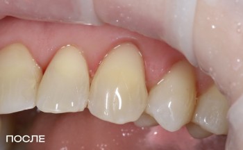
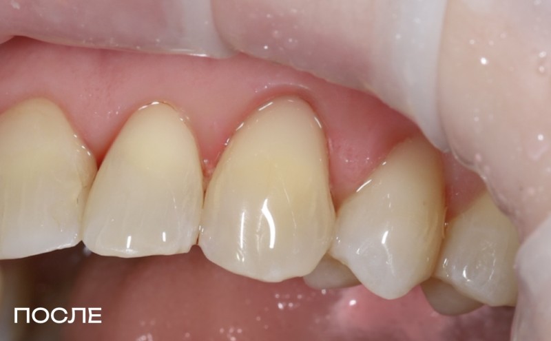
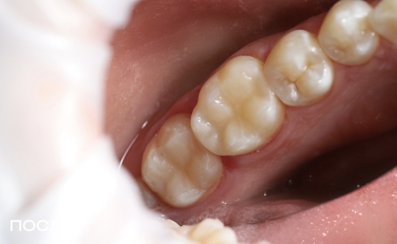
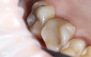
5 работ в портфолио
9 сертификатов

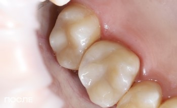
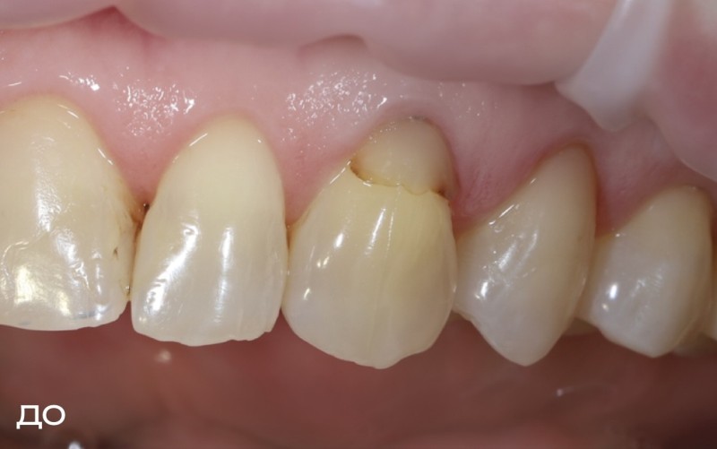
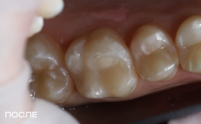
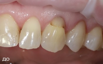
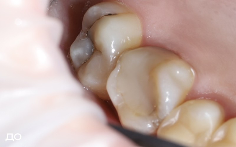
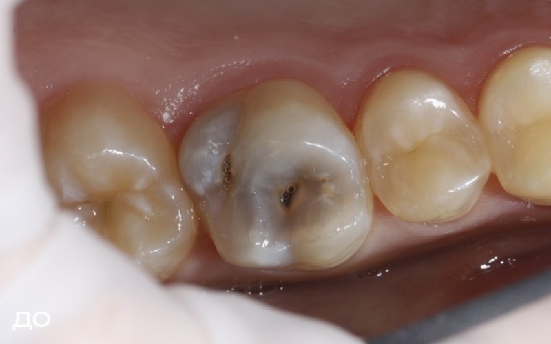
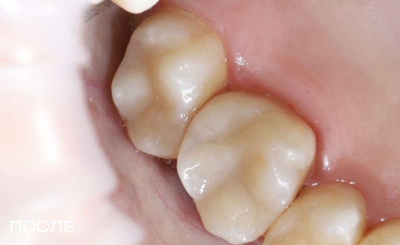
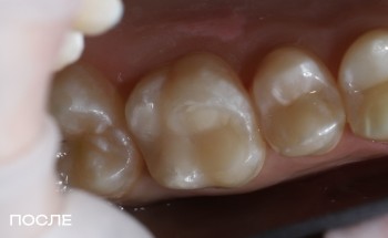
Мишина Татьяна Сергеевна: портфолио (5)

Отзывы о враче Мишина Татьяна Сергеевна

Рейтинг: 5
Отзывов: 14
Положительных: 14
Отрицательных: 0
Последний: 17 дн. назад
5.0
Почему нашим отзывам можно доверять?
20 апреля 2026 г.
1 2 3 4 5
Проходим лечение у Мишиной Татьяны Сергеевны, она отличный доктор. Компетентная, внимательная и замечательный профессионал! Лечить зубы с таким врачом одно удовольствие. Каждый визит оставляет только положительные эмоции. Выражаю ей огромную благодарность! А также и всему персоналу клиники за доброжелательность и приветливость!
20 апреля 2026 г.
1 2 3 4 5
Мишина Татьяна Сергеевна, отличный врач. Лечим зубы всей семьей только у неё) Лучший врач.
Уважаемый пациент! Огромное спасибо за такое тёплое признание и за доверие всей вашей семьи! Для нас нет большей награды, чем знать, что вы выбираете доктора Мишину Татьяну Сергеевну для всех своих близких и считаете её лучшим врачом. Будем рады продолжать заботиться о ваших улыбках! С искренней теплотой, команда «Эксперт Клиник».
24 марта 2026 г.
1 2 3 4 5
Прохожу лечение у Мишиной Татьяны Сергеевны, приемы проходят очень комфортно и безболезненно, врач всегда до последнего сохраняет зубки, рекомендую всем знакомым этого замечательного врача с золотыми руками.
Уважаемый пациент! От всей души благодарим вас за такие тёплые и искренние слова! Нам особенно ценно, что вы не только сами доверяете своё здоровье доктору Мишиной Татьяне Сергеевне, но и рекомендуете её своим знакомым. Для врача нет большей награды, чем признание пациентов и их доверие. Будем рады продолжать заботиться о вашей улыбке! С искренней теплотой, команда «Эксперт Клиник»
27 февраля 2026 г.
1 2 3 4 5
Очень довольна лечением у Мишиной Татьяны Сергеевны, все делает аккуратно, тщательно, подробно рассказывает что и как.
10 февраля 2026 г.
1 2 3 4 5
Делалала гигиен. чистку зубов и лечила кариес у Мишиной Татьяны Сергеевны. Понравилось, что есть ответ на каждый мой вопрос, все по делу: лечение и советы по уходу. Врач вызывает доверие, чувствуется профессионализм, а для меня это важно!
Уважаемый пациент! Большое спасибо за ваш отзыв и доверие к доктору Мишиной Татьяне Сергеевне! Она всегда стремится к тому, чтобы пациент чувствовал себя уверенно, и ваши слова о доверии и профессионализме — лучшая награда для неё. Мы обязательно передадим ей вашу благодарность. С заботой, команда «Эксперт Клиник»
13 января 2026 г.
1 2 3 4 5
Была на приеме у Мишиной Татьяны Сергеевны, делала гигиену полости рта. Понравилось внимательное отношение доктора, рассказала про все комплексно, дала рекомендации и по лечению и по домашнему уходу. Клиника уютная и эстетичная, приветливый персонал, высокое качество сервиса. Очень понравилось
Уважаемый пациент! Большое спасибо за такой тёплый и подробный отзыв! Мы очень рады, что визит к доктору Мишиной Татьяне Сергеевне оставил у вас столь приятные впечатления, и вы оценили не только качество гигиены, но и её комплексный, внимательный подход — от рекомендаций по лечению до советов по домашнему уходу. Также благодарим вас за добрые слова в адрес атмосферы клиники и работы всей команды. Мы действительно стремимся создавать пространство, где эстетика, уют и высокий уровень сервиса помогают пациентам чувствовать себя комфортно и уверенно. С заботой, команда «Эксперт Клиник»
6 января 2026 г.
1 2 3 4 5
Прохожу лечение у Мишиной Татьяна Сергеевны. Лучше врачей не встречала, очень заботлива и профессиональна. Максимально сделала все комфортно и качественно.
Уважаемый пациент! Большое спасибо за ваши тёплые слова и высокую оценку работы доктора Мишиной Татьяны Сергеевны! Мы искренне рады, что лечение проходит для вас комфортно и профессионально, а её забота и внимание к деталям создают атмосферу доверия. Будем рады сопровождать вас и дальше на пути к идеальной улыбке. С заботой, команда «Эксперт Клиник»
4 декабря 2025 г.
1 2 3 4 5
Хожу на лечение к Мишиной Т.С. Доктор нравится своим чутким и добрым отношением. Чувствуется безопасность. Рекомендую. Особенно тем, кто боится лечить зубы.
Уважаемый пациент! Большое спасибо за такой искренний и важный для нас отзыв! Мы особенно ценим, что вы отметили не только профессионализм доктора Мишиной Татьяны Сергеевны, но и её чуткое, доброе отношение, которое помогает вам чувствовать себя в безопасности. Для нас это высшая цель — создавать пространство доверия, где даже те, кто испытывает тревогу перед лечением, могут расслабиться и получить качественную помощь. С заботой, команда «Эксперт Клиник»
Уважаемый пациент! Большое спасибо за такой искренний и важный для нас отзыв! Мы особенно ценим, что вы отметили не только профессионализм доктора Мишиной Татьяны Сергеевны, но и её чуткое, доброе отношение, которое помогает вам чувствовать себя в безопасности. Для нас это высшая цель — создавать пространство доверия, где даже те, кто испытывает тревогу перед лечением, могут расслабиться и получить качественную помощь. С заботой, команда «Эксперт Клиник»
5 мая 2025 г.
1 2 3 4 5
Неоднократно проходила лечение у разных специалистов- всё на высшем уровне. Клиника стильная и чистая, администраторы вежливые, прием вовремя. Спасибо докторам Поздныхову Н.А., Арбузовой М.Ю., Мишиной Т.С. Специалисты высшего класса
Уважаемый пациент! Сердечно благодарим вас за столь высокую оценку нашей работы и доверие, которое вы оказываете клинике на протяжении долгого времени. Приятно, что вы оценили не только качество лечения, но и организацию работы! Будем рады видеть вас снова! Пусть ваши визиты к нам будут только профилактическими!
18 января 2025 г.
1 2 3 4 5
Все понравилось, очень эстетичная клиника, в такой обстановке лечить зубы просто не может быть больно или страшно. Пришла по рекомендации друзей и рекомендую теперь вам! Спасибо доктору Мишиной Татьяне Сергеевне за мои здоровые зубы ☺️
Дорогой пациент, мы благодарны за ваш положительный отзыв и доверие, обратившись к нам по рекомендации. Ваше здоровье - наш приоритет! Доктор Мишина Татьяна Сергеевна, всегда относится к своей работе с высоким профессионализмом. Надеемся видеть вас вновь при необходимости. Улыбайтесь здорово!
    Помогите другим сделать правильный выбор — оставьте свой отзыв о докторе
    Написать отзыв

    Услуги стоматолога в других клиниках

    Диагностика
    Консультация стоматолога от 1 ₽ до 2 500 ₽
    Консультация эндодонтиста от 350 ₽ до 700 ₽
    Терапевтическая стоматология
    Лечение кариеса от 3 500 ₽ до 9 700 ₽
    Лечение пульпита от 5 000 ₽ до 22 900 ₽
    Еще услуги