Стоматолог Ковальчук Елена Александровна — цены, отзывы, стаж — Принимает в Рязани

Ковальчук Елена Александровна

Ковальчук Елена Александровна - фотография

3.0
Рейтинг: 3.0
Отзывов: 3
Положительных: 2
Отрицательных: 1
Последний : 2674 дн. назад
3 отзыва
стоматолог-имплантолог
Стаж 31 год
врач высшей категории
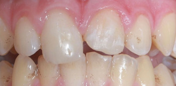
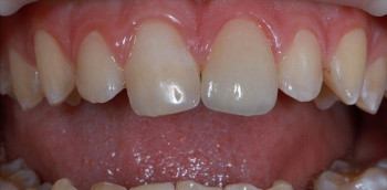
Ковальчук Елена Александровна принимает в «Современная стоматология МЕДИ-ЛАЙТ» в Рязани. Врач высшей категории, стаж 31 год. Специализируется на имплантологии, по которой клиника оказывает 5 услуг. Имеет 2 работы до/после в портфолио. Квалификация специалиста подтверждена 16 лицензиями, сертификатами и наградами. Для уточнения дополнительной информации о специалисте или записи на прием можно позвонить по телефону
+7 (491)Показать телефон
. Также 32top представляет форму онлайн расписания, через которую можно записаться к специалисту на свободную дату и время.

Где принимает:

16 сертификатов
Опыт 31 год
2 работы в портфолио
Врач высшей категории

Отзывы о враче Ковальчук Елена Александровна

Рейтинг: 3
Отзывов: 3
Положительных: 2
Отрицательных: 1
Последний: 2674 дн. назад
3.0
Почему нашим отзывам можно доверять?
10 января 2019 г.
1 2 3 4 5
Елена Александровна супер доктор!!! Нашла подход к маленькому ребеку. Процесс лечения очень хорошо организован, доктор подходит ко всему тщательно, относится чутко и доброжелательно. Качество действительно очень высокое. Профессиональный подход и идеально проведенное лечение. Спасибо Вам!!!
9 января 2017 г.
1 2 3 4 5
Позвонили в клинику 03.01.17, была необходимость срочной помощи инвалиду 1 группы с детства. Необходимо лечение и удаление, под общим наркозом. Предупредили по телефону, что молодой человек имеет большой вес и недееспособен. Назначили на 09.01.17. На этот день пришлось подменится на работе. Утром подтвердили, что выезжаем. В беседе по телефону выяснилось, что анастезиолога нет на месте, но приезжать все равно советуют- познакомится с врачом. По приезду в клинику, попросили заполнить анкету. Позже вышла г-да Ковальчук и заявила, что не возьмутся за лечение сына, в связи его большим весом. Зачем нужен был весь этот цирк? Нельзя было отказать в лечении ещё на стадии звонка?
Света
27 сентября 2017 г.
Виталик это фишка Меди Лайт, заманить, а потом сказать, что не примут и помочь не смогут. Оказалась в такой же ситуации. По телефону всё обсудили, даже фотки скидывала, объяснила, что ехать нам далеко. В ответ да-да конечно приехали и нам сообщают, что времени мало и они делать ничего не будут(((
8 января 2017 г.
1 2 3 4 5
Хочу поблагодарить Елену Александровну, как прекрасного специалиста, как отзывчивую женщину , оказавшую неотложную помощь по лечению зубов моему сыночку Вове двух лет. Всем советую меди-байт, как клинику современных технологий и высококвалифицированных врачей . Спасибо . Процветания вам.
Меди Лайт
24 мая 2021 г.
Добрый день, Антонина! Благодарим Вас за высокую оценку наших специалистов! Мы всегда рады вас видеть у нас в клинике! Всегда рады помочь вам!
    Помогите другим сделать правильный выбор — оставьте свой отзыв о докторе
    Написать отзыв

    Услуги врача (46)

    Имплантация
    Имплантация зубов под ключ
    Установка мини-импланта
    Коронки на имплантах
    Еще услуги
    Все цены носят ознакомительный характер. Точную цену вы сможете получить только после консультации специалиста.
    Звоните по телефону:
    +7 (491)Показать телефон

    О стоматологе

    - владеет всеми навыками и умениями в рамках своих специальностей;
    - большой опыт работы со всеми возрастными категориями. Имеет множество сертификатов по повышению квалификации: по рестравции, эндодонтическому лечению, отбеливанию, имплантации, костной пластике, хирургическому пародонтологическому лечению, базальной имплантации, применению лазеров в стоматологии, применение различных видов седаций в детской и взрослой стоматологии, по стоматологии детского возраста;
    - долгое время работала в клиниках Санкт-Петербурга и Пскова.

    Ковальчук Елена Александровна: портфолио (2)