Стоматолог Сторожихина Ирина Владимировна — цены, отзывы, стаж — Принимает в Рязани

Сторожихина Ирина Владимировна

Сторожихина Ирина Владимировна - фотография
стоматолог-терапевт
Стаж 7 лет
Сторожихина Ирина Владимировна принимает в «Медико-стоматологическая клиника ГУДВИЛЛ» в Рязани. Стаж 7 лет. Специализируется на терапии, по которой клиника оказывает 11 услуг. Имеет 4 работы до/после в портфолио. Квалификация специалиста подтверждена 11 лицензиями, сертификатами и наградами. Также 32top представляет форму онлайн расписания, через которую можно записаться к специалисту на свободную дату и время.

Где принимает:

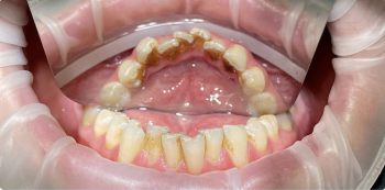
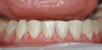
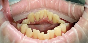
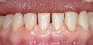
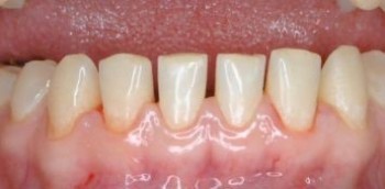
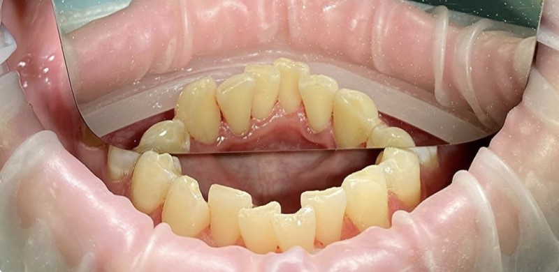
4 работы в портфолио
11 сертификатов
Опыт 7 лет

Сторожихина Ирина Владимировна: портфолио (4)

Отзывы о враче Сторожихина Ирина Владимировна

Почему нашим отзывам можно доверять?
5 октября 2023 г.
1 2 3 4 5
Прохожу лечение зубов в клинике "Гудвил" у Старожихиной Ирины. Очень внимательно подходит к лечению, старается сохранить каждый зуб. Все аккуратно, быстро и совсем не больно. Высококвалифицированный, доброжелательный специалист. Однозначно рекомендую к посещению!
    Помогите другим сделать правильный выбор — оставьте свой отзыв о докторе
    Написать отзыв

    Услуги стоматолога в других клиниках

    Терапевтическая стоматология
    Лечение кариеса от 3 500 ₽ до 9 700 ₽
    Лечение пульпита от 5 000 ₽ до 22 900 ₽
    Еще услуги