Стоматолог Пестерева Анна Вячеславовна — цены, отзывы, стаж — Принимает в Рязани

Пестерева Анна Вячеславовна

Пестерева Анна Вячеславовна - фотография

5.0
Рейтинг: 5.0
Отзывов: 2
Положительных: 2
Отрицательных: 0
Последний : 135 дн. назад
2 отзыва
стоматолог-терапевт
стоматолог-эндодонтист
Стаж 5 лет
Пестерева Анна Вячеславовна принимает в «Стоматологическая клиника ЭКСПЕРТ КЛИНИК» в Рязани. Стаж 5 лет. Специализируется на терапии и эндодонтическом лечении, по которым клиника оказывает 14 услуг. Имеет 4 работы до/после в портфолио. Для уточнения дополнительной информации о специалисте или записи на прием можно позвонить по телефону
+7 (491)Показать телефон
. Занимает 6 место в рейтинге стоматологов-эндодонтистов 32top в вашем городе. Также 32top представляет форму онлайн расписания, через которую можно записаться к специалисту на свободную дату и время.

Где принимает:

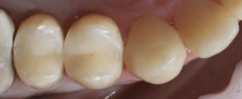
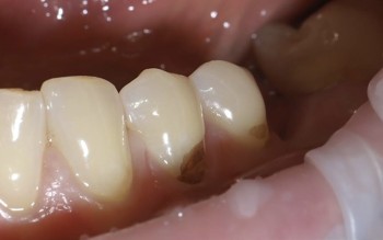
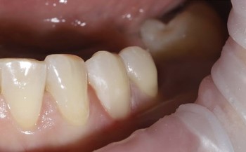
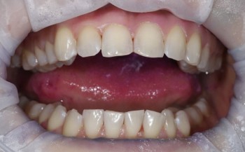
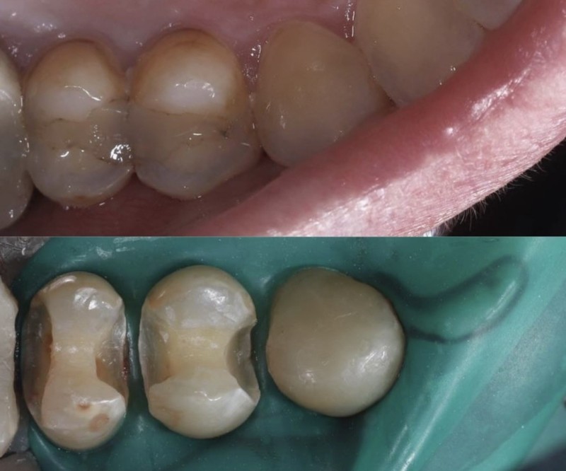
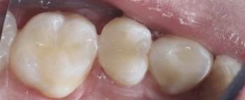
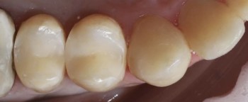
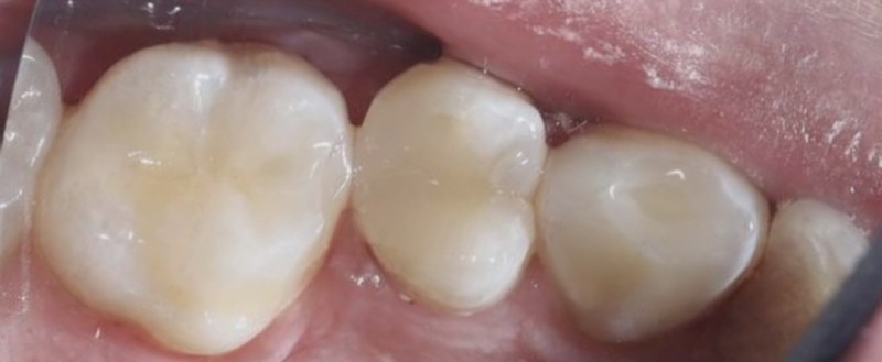
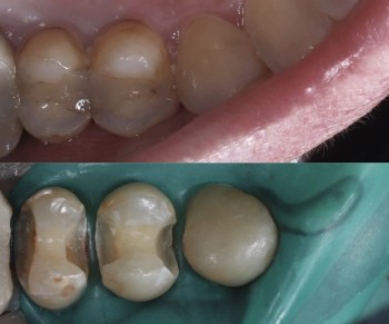
4 работы в портфолио
Опыт 5 лет

Пестерева Анна Вячеславовна: портфолио (4)

Отзывы о враче Пестерева Анна Вячеславовна

Рейтинг: 5
Отзывов: 2
Положительных: 2
Отрицательных: 0
Последний: 135 дн. назад
5.0
Почему нашим отзывам можно доверять?
23 декабря 2025 г.
1 2 3 4 5
Была на приёме у Пестеровой А.В. Сделали очень качественную работу, рекомендую.
Уважаемый пациент! Большое спасибо за ваш отзыв и рекомендацию! Мы очень рады, что остались довольны качеством работы доктора Пестеревой Анны Вячеславовны. Для наших врачей такая обратная связь — лучшая награда! С заботой, команда «Эксперт Клиник»
29 августа 2025 г.
1 2 3 4 5
Делала профгигиену у Пестеревой А.В. Доктор внимательный, ответственный, подробно ответила на все вопросы. Работа выполнена отлично.
Уважаемый пациент! Большое спасибо за ваш тёплый отзыв! Мы очень рады, что профессиональная гигиена у Анны Вячеславовны прошла комфортно и результативно. Для нас особенно ценно, что вы отметили её внимательность и готовность подробно ответить на все вопросы — это именно тот подход, который мы считаем идеалом в стоматологии. Обязательно передадим ваши слова доктору — для наших врачей такая обратная связь бесценна.
    Помогите другим сделать правильный выбор — оставьте свой отзыв о докторе
    Написать отзыв

    Услуги стоматолога в других клиниках

    Диагностика
    Консультация стоматолога от 1 ₽ до 2 500 ₽
    Консультация эндодонтиста от 350 ₽ до 700 ₽
    Терапевтическая стоматология
    Лечение кариеса от 3 500 ₽ до 9 700 ₽
    Лечение пульпита от 5 000 ₽ до 22 900 ₽
    Еще услуги