Стоматолог Беланова Наталья Вячеславовна — цены, отзывы, стаж — Принимает в Самаре

Беланова Наталья Вячеславовна

Беланова Наталья Вячеславовна - фотография
стоматолог-терапевт
Стаж 32 года
Беланова Наталья Вячеславовна принимает в «Стоматологическая клиника АПОЛЛОНИЯ» в Самаре. Стаж 32 года. Специализируется на терапии, по которой клиника оказывает 23 услуги. Квалификация специалиста подтверждена 25 лицензиями, сертификатами и наградами. Для уточнения дополнительной информации о специалисте или записи на прием можно позвонить по телефону
+7 (846)Показать телефон
.

Где принимает:

25 сертификатов
Опыт 32 года
1 работа в портфолио
    Помогите другим сделать правильный выбор — оставьте свой отзыв о докторе
    Написать отзыв

    О стоматологе

    Беланова Наталья Вячеславовна работает в системе здравоохранения более 25 лет. Занимается эстетической реставрацией зубов с использованием техники силиконового ключа, при лечении осложненных форм кариеса использует современные методы и новые технологии эндодонтического лечения. При сложных случаях использует операционный микроскоп, диодный лазер. Уделяет большое внимание профилактике кариеса и его осложнений, гигиене полости рта. Наталья Вячеславовна имеет первую квалификационную категорию по специальности "стоматология терапевтическая". Активно повышает уровень знаний, периодически участвуя во врачебных конференциях, конгрессах. С 1998 года является членом стоматологической ассоциации Самарской области. Имеет: Благодарность Самарской Губернской Думы за вклад в развитие здравоохранения Самарской области. Благодарность Министерства здравоохранения Самарской области за добросовестный труд, образцовое исполнение должностных обязанностей. В 2018 году Стоматологической Ассоциацией России награждена медалью «Отличник стоматологии».

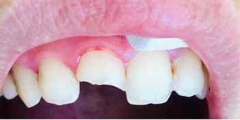
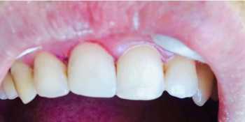
    Беланова Наталья Вячеславовна: портфолио (1)

    Услуги стоматолога в других клиниках

    Терапевтическая стоматология
    Лечение кариеса от 3 500 ₽ до 10 500 ₽
    Лечение пульпита от 5 000 ₽ до 34 270 ₽
    Еще услуги
    Профгигиена
    Чистка зубов Air-flow от 1 200 ₽ до 8 900 ₽
    Фторирование зубов от 50 ₽ до 6 250 ₽