Стоматолог Лашкарадзе Георгий Придонович — цены, отзывы, стаж — Принимает в Саранске

Лашкарадзе Георгий Придонович

Лашкарадзе Георгий Придонович - фотография
стоматолог-терапевт
пародонтолог
стоматолог-эндодонтист
Стаж 4 года
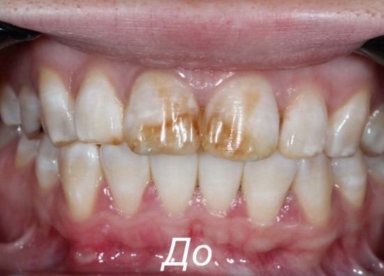
Лашкарадзе Георгий Придонович принимает в «Сеть стоматологий ВЕГА ДЕНТ» в Саранске. Стаж 4 года. Специализируется на терапии, пародонтологии и эндодонтическом лечении, по которым клиника оказывает 27 услуг. Имеет 5 работ до/после в портфолио. Квалификация специалиста подтверждена 16 лицензиями, сертификатами и наградами.

Где принимает:

16 сертификатов
5 работ в портфолио
Опыт 4 года

Лашкарадзе Георгий Придонович: портфолио (5)

    Помогите другим сделать правильный выбор — оставьте свой отзыв о докторе
    Написать отзыв

    Услуги стоматолога в других клиниках

    Эстетическая стоматология
    Виды отбеливания
    Отбеливание Zoom
    от 30 000 ₽
    Еще услуги