Стоматолог Айзатова Элина Ряшитовна — цены, отзывы, стаж — Принимает в Саранске

Айзатова Элина Ряшитовна

Айзатова Элина Ряшитовна - фотография
стоматолог-терапевт
детский стоматолог
Стаж 6 лет
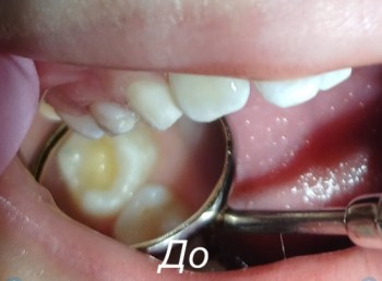
Айзатова Элина Ряшитовна принимает в «Сеть стоматологий ВЕГА ДЕНТ ПЛЮС» в Саранске. Стаж 6 лет. Специализируется на терапии и детской стоматологии, по которым клиника оказывает 27 услуг. Имеет 5 работ до/после в портфолио. Квалификация специалиста подтверждена 10 лицензиями, сертификатами и наградами.

Где принимает:

Опыт 6 лет
10 сертификатов
5 работ в портфолио

Айзатова Элина Ряшитовна: портфолио (5)

    Помогите другим сделать правильный выбор — оставьте свой отзыв о докторе
    Написать отзыв