Стоматолог Егорочкина Анна Сергеевна — цены, отзывы, стаж — Принимает в Саранске

Егорочкина Анна Сергеевна

Егорочкина Анна Сергеевна - фотография
стоматолог-терапевт
стоматолог-ортопед
стоматолог-эндодонтист
Стаж 7 лет
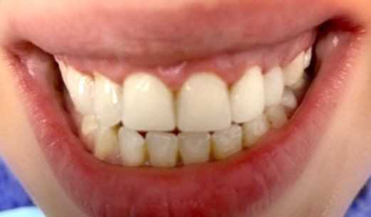
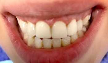
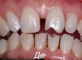
Егорочкина Анна Сергеевна принимает в «Центр имплантации ВЕГА» в Саранске. Стаж 7 лет. Специализируется на терапии, ортопедии и эндодонтическом лечении, по которым клиника оказывает 40 услуг. Имеет 6 работ до/после в портфолио. Квалификация специалиста подтверждена 22 лицензиями, сертификатами и наградами.

Где принимает:

6 работ в портфолио
Опыт 7 лет
22 сертификата

Егорочкина Анна Сергеевна: портфолио (6)

    Помогите другим сделать правильный выбор — оставьте свой отзыв о докторе
    Написать отзыв

    Услуги стоматолога в других клиниках

    Эстетическая стоматология
    Виды отбеливания
    Отбеливание Zoom
    от 30 000 ₽
    Еще услуги
    Протезирование зубов
    Виды протезов
    Установка бюгельного протеза
    от 45 300 ₽ до 85 600 ₽
    Еще услуги