Стоматолог Панкратова Юлия Алексеевна — цены, отзывы, стаж — Принимает в Саратове

Панкратова Юлия Алексеевна

Панкратова Юлия Алексеевна - фотография
стоматолог-ортопед
Стаж 14 лет
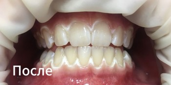
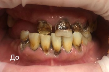
Панкратова Юлия Алексеевна принимает в «Стоматологическая клиника ДЕНТАЛ ПРАКТИС» в Саратове. Стаж 14 лет. Специализируется на ортопедии, по которой клиника оказывает 3 услуги. Имеет 4 работы до/после в портфолио. Для уточнения дополнительной информации о специалисте или записи на прием можно позвонить по телефону
+7 (8452)Показать телефон
.

Где принимает:

4 работы в портфолио
Опыт 14 лет
    Помогите другим сделать правильный выбор — оставьте свой отзыв о докторе
    Написать отзыв

    Панкратова Юлия Алексеевна: портфолио (4)

    Услуги стоматолога в других клиниках

    Протезирование зубов
    Установка коронки на зуб от 5 000 ₽ до 61 250 ₽
    Установка протеза Акри Фри (Acry-Free) от 18 300 ₽ до 56 000 ₽
    Еще услуги