Стоматолог Изотов Данил Витальевич — цены, отзывы, стаж — Принимает в Саратове

Изотов Данил Витальевич

Изотов Данил Витальевич - фотография
стоматолог-ортодонт
Стаж 3 года
Изотов Данил Витальевич принимает в «Стоматология АРТИКА-МЕД» в Саратове. Стаж 3 года. Специализируется на ортодонтии, по которой клиника оказывает 8 услуг. Имеет 6 работ до/после в портфолио. Квалификация специалиста подтверждена 3 лицензиями, сертификатами и наградами. Для уточнения дополнительной информации о специалисте или записи на прием можно позвонить по телефону
+7 (8452)Показать телефон
.

Где принимает:

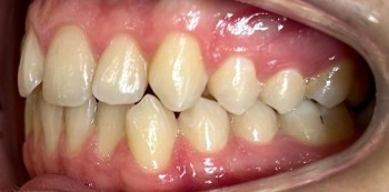
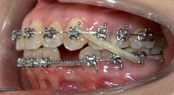
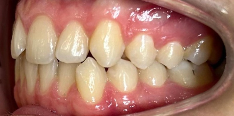
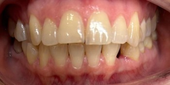
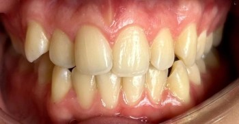
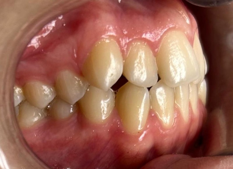
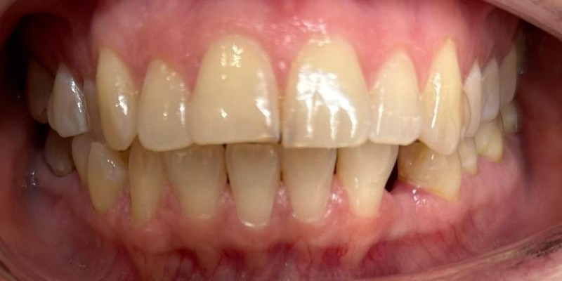
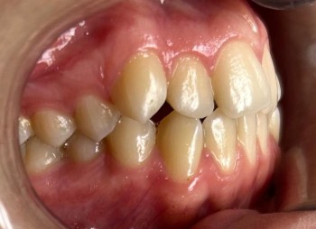
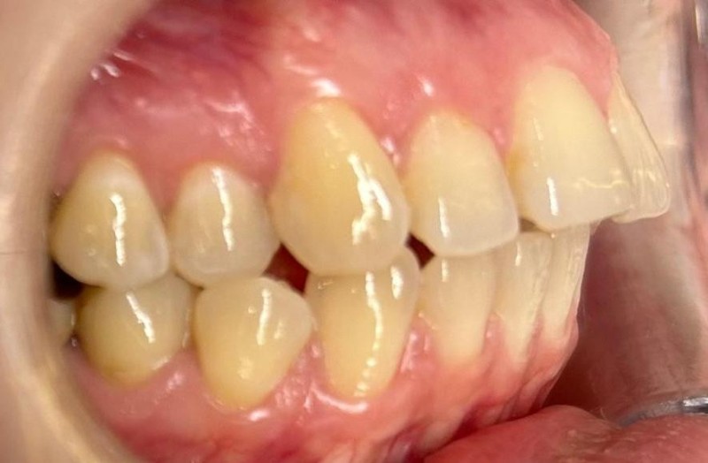
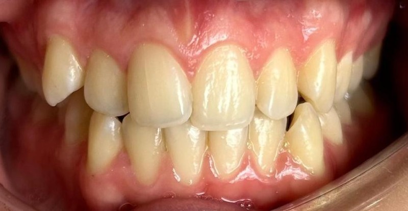
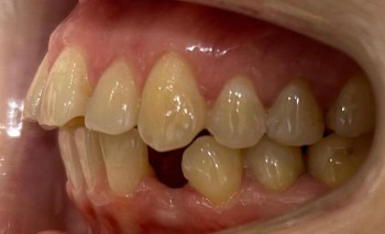
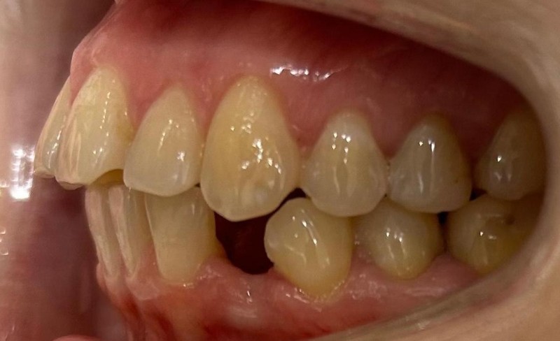
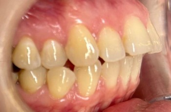
6 работ в портфолио
3 сертификата
Опыт 3 года

Изотов Данил Витальевич: портфолио (6)

    Помогите другим сделать правильный выбор — оставьте свой отзыв о докторе
    Написать отзыв

    Услуги стоматолога в других клиниках

    Диагностика
    Консультация стоматолога от 300 ₽ до 1 500 ₽
    Консультация ортодонта от 500 ₽ до 1 500 ₽
    Еще услуги
    Ортодонтия
    Установка брекетов от 20 790 ₽ до 200 000 ₽
    Снятие брекетов от 10 000 ₽ до 20 000 ₽
    Еще услуги