Стоматолог Резванцева Аксинья Владимировна — цены, отзывы, стаж — Принимает в Саратове

Резванцева Аксинья Владимировна

Резванцева Аксинья Владимировна - фотография

5.0
Рейтинг: 5.0
Отзывов: 2
Положительных: 2
Отрицательных: 0
Последний : 243 дн. назад
2 отзыва
стоматолог-ортодонт
детский ортодонт
Стаж 10 лет
Резванцева Аксинья Владимировна принимает в «Стоматология ТЕРРИТОРИЯ УЛЫБКИ» в Саратове. Стаж 10 лет. Специализируется на ортодонтии, по которым клиника оказывает 12 услуг. Квалификация специалиста подтверждена 16 лицензиями, сертификатами и наградами. Для уточнения дополнительной информации о специалисте или записи на прием можно позвонить по телефону
+7 (906)Показать телефон
.

Где принимает:

1 работа в портфолио
Топ 30 в рейтинге
16 сертификатов
Опыт 10 лет

Отзывы о враче Резванцева Аксинья Владимировна

Рейтинг: 5
Отзывов: 2
Положительных: 2
Отрицательных: 0
Последний: 243 дн. назад
5.0
Почему нашим отзывам можно доверять?
После приема Пациент записывался в клинику через 32top. После приёма мы позвонили ему и получили отзыв.
9 сентября 2025 г.
1 2 3 4 5
Делала чистку здесь - всё прошло идеально: безболезненно, качественно и профессионально. Хожу в эту клинику с самого её открытия, ранее проходила ортодонтическое лечение у Нины Викторовны, сейчас наблюдаюсь у Аксиньи Владимировны. Персонал доброжелательный, запись организована чётко - всегда принимают строго по времени. Цены адекватные. С удовольствием продолжу лечение здесь!
Здравствуйте! Благодарим вас за такой тёплый отзыв! Для нас особенно ценно, что вы с самого открытия клиники остаётесь с нами — это лучший показатель доверия и качества. Мы рады, что вам понравилась профессиональная гигиена, и ценим ваше упоминание Нины Викторовны и Аксиньи Владимировны - они действительно профессионалы с большим вниманием к пациентам. Обязательно передадим им ваши добрые слова! Также спасибо, что отметили организацию работы, доброжелательность команды и прозрачность цен - мы стремимся создавать комфортные условия для каждого гостя. Ждём вас снова и будем рады продолжать заботиться о здоровье и красоте вашей улыбки! С уважением, администрация клиники "Территория Улыбки"
27 января 2023 г.
1 2 3 4 5
Отличное место, приезжаем из Энгельса. Особенно хочется отметить нашего врача - Резванцеву Аксинью Владимировну. До этого были на консультанциях у других ортодонтов, но именно Аксинья Владимировна поразила своим профессионализмом и клиентоориентированным подходом. Безоговорочно доверяю ей лечение ребенка - рекомендует только то, что действительно нужно, заранее отвечает на все вопросы, которые могут возникнуть. В общем, Аксинья Владимировна не только отличный специалист, но и прекрасный человек - доброжелательна, внимательна, деликатна. Бывать в 32 Жемчужины и у Аксиньи Владимировны - одно удовольствие) Спасибо за красивую улыбку моего ребенка)
Здравствуйте. Благодарим вас за отзыв. Мы ценим ваше доверие и надеемся, что вы и ваш ребенок будете и дальше лечиться у нас. Мы обязательно передадим ваши слова благодарности Аксинье Владимировне. С уважением, администрация стоматологической клиники «Территория Улыбки»
    Помогите другим сделать правильный выбор — оставьте свой отзыв о докторе
    Написать отзыв

    Услуги врача (29)

    Ортодонтия
    Установка брекетов
    от 190 000 ₽ за обе челюсти
    Снятие брекетов
    от 20 000 ₽ за обе челюсти
    Установка элайнеров
    от 321 000 ₽ за обе челюсти
    Еще услуги
    Детская стоматология
    Удаление зубов у детей
    от 1 700 ₽ за 1 зуб
    Удаление зубов под наркозом у детей
    Лечение молочных зубов
    от 2 900 ₽ за 1 зуб
    Еще услуги
    Все цены носят ознакомительный характер. Точную цену вы сможете получить только после консультации специалиста.
    Звоните по телефону:
    +7 (906)Показать телефон

    О стоматологе

    Грамотный ортодонт. Занимается лечением детей и взрослых

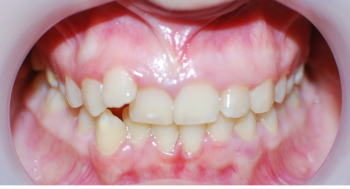
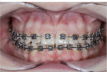
    Резванцева Аксинья Владимировна: портфолио (1)