Стоматолог Феоктистов Артём Юрьевич — цены, отзывы, стаж — Принимает в Саратове

Феоктистов Артём Юрьевич

Феоктистов Артём Юрьевич - фотография
стоматолог-ортопед
Стаж 15 лет
Феоктистов Артём Юрьевич принимает в «Стоматологическая клиника ПРАКТИК» в Саратове. Стаж 15 лет. Специализируется на ортопедии, по которой клиника оказывает 8 услуг. Имеет 13 работ до/после в портфолио. Для уточнения дополнительной информации о специалисте или записи на прием можно позвонить по телефону
+7 (8452)Показать телефон
.

Где принимает:

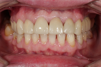
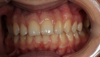
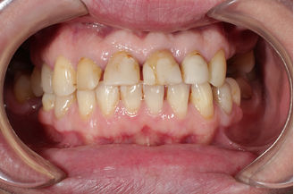
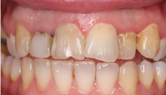
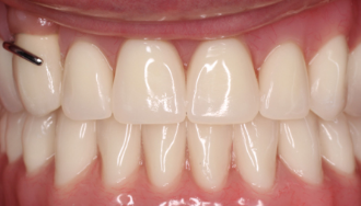
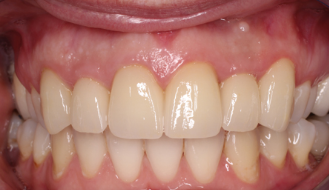
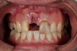
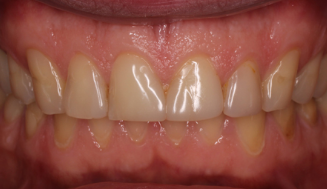
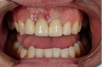
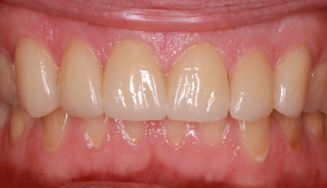
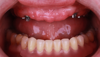
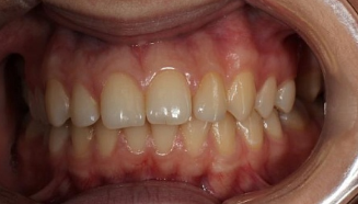
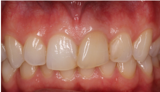
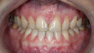
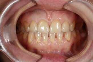
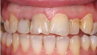
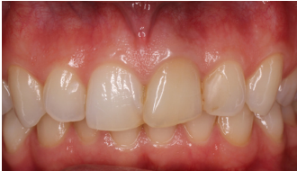
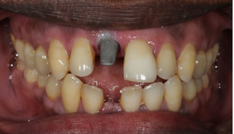
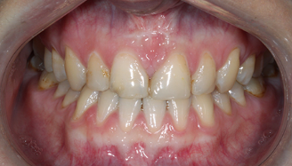
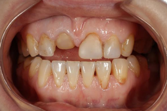
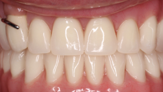
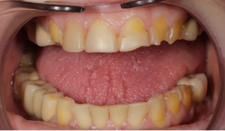
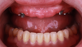
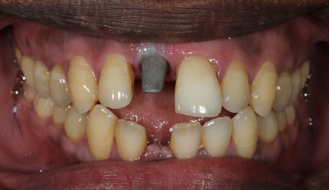
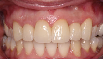
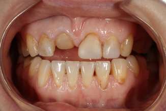
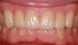
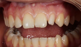
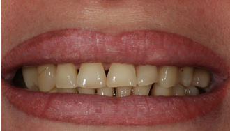
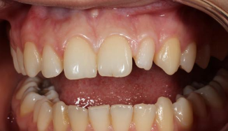
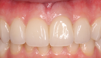
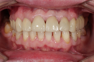
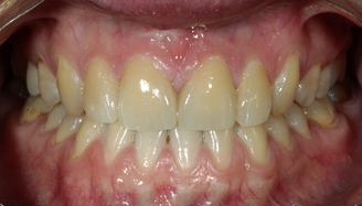
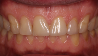
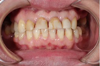
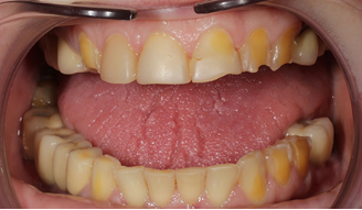
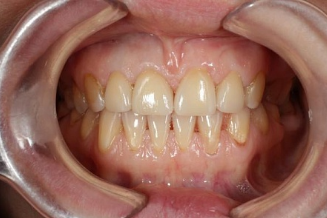
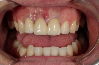
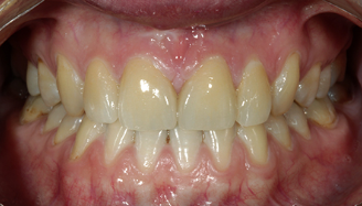
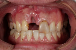
13 работ в портфолио
Опыт 15 лет

Феоктистов Артём Юрьевич: портфолио (13)

    Помогите другим сделать правильный выбор — оставьте свой отзыв о докторе
    Написать отзыв

    Услуги стоматолога в других клиниках

    Эстетическая стоматология
    Установка виниров от 33 000 ₽ до 37 500 ₽
    Протезирование зубов
    Установка коронки на зуб от 5 000 ₽ до 61 250 ₽
    Виды протезов
    Еще услуги