Стоматолог Шакун Тихон Андреевич — цены, отзывы, стаж — Принимает в Симферополе

Шакун Тихон Андреевич

Шакун Тихон Андреевич - фотография
стоматолог-ортопед
Стаж 15 лет
Шакун Тихон Андреевич принимает в «Центр функциональной стоматологии ПРОФИДЕНТ» в Симферополе. Стаж 15 лет. Специализируется на ортопедии, по которой клиника оказывает 28 услуг. Имеет 8 работ до/после в портфолио. Квалификация специалиста подтверждена 8 лицензиями, сертификатами и наградами. Для уточнения дополнительной информации о специалисте или записи на прием можно позвонить по телефону
+7 (978)Показать телефон
.

Где принимает:

Опыт 15 лет
8 сертификатов
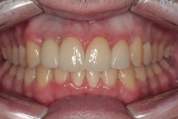
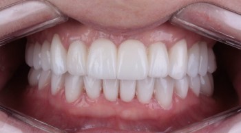
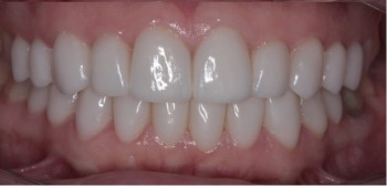
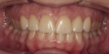
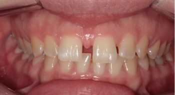
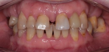
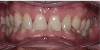
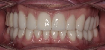
8 работ в портфолио

Шакун Тихон Андреевич: портфолио (8)

    Помогите другим сделать правильный выбор — оставьте свой отзыв о докторе
    Написать отзыв

    Услуги стоматолога в других клиниках

    Диагностика
    Консультация стоматолога-ортопеда от 1 ₽ до 3 500 ₽
    Протезирование зубов
    Установка коронки на зуб от 5 500 ₽ до 38 000 ₽
    Виды протезов
    Еще услуги