Стоматолог Азарова (Антюхова) Алена Дмитриевна — цены, отзывы, стаж — Принимает в Смоленске

Азарова (Антюхова) Алена Дмитриевна

Азарова (Антюхова) Алена Дмитриевна - фотография

5.0
Рейтинг: 5.0
Отзывов: 3
Положительных: 3
Отрицательных: 0
Последний : 12 дн. назад
3 отзыва
стоматолог-ортодонт
детский ортодонт
Стаж 11 лет
Азарова (Антюхова) Алена Дмитриевна принимает в «Стоматология ПЛОМБА КЛИНИК» в Смоленске. Стаж 11 лет. Специализируется на ортодонтии, по которым клиника оказывает 10 услуг. Для уточнения дополнительной информации о специалисте или записи на прием можно позвонить по телефону
+7 (481)Показать телефон
. Занимает 6 место в рейтинге стоматологов вашего города.

Запись на приём

Врач принимает в 1 клинике
1 сертификат
Опыт 11 лет
Топ 10 в рейтинге
1 работа в портфолио

Отзывы о враче Азарова (Антюхова) Алена Дмитриевна

Рейтинг: 5
Отзывов: 3
Положительных: 3
Отрицательных: 0
Последний: 12 дн. назад
5.0
Почему нашим отзывам можно доверять?
18 мая 2026 г.
1 2 3 4 5
Большое спасибо Алёне Дмитриевне за установку брекетов! Врач доброжелательна и всё понятно объяснила. Результат отличный — зубы ровные, никаких проблем.
11 мая 2026 г.
1 2 3 4 5
Ставила брекеты у Алёны Дмитриевны — осталась в полном восторге! Профессионал своего дела и очень приятный человек. Врач всегда была на связи и шла навстречу. Зубы выровняла идеально, эстетику привела в порядок.
3 мая 2026 г.
1 2 3 4 5
Уже год лечусь у Алёны Дмитриевны Азаровой — и ни разу не пожалела! Ещё на первом приёме она развеяла все мои страхи насчёт брекетов. Врач внимательная, аккуратная и добрая: даже установка микровинтов прошла максимально комфортно. Теперь хожу на приёмы с радостью и без страха. Огромное спасибо за такое бережное и комфортное лечение!
    Помогите другим сделать правильный выбор — оставьте свой отзыв о докторе
    Написать отзыв

    Услуги врача (15)

    Ортодонтия
    Установка брекетов
    от 40 000 ₽ за 1 челюсть
    Снятие брекетов
    от 5 000 ₽ за 1 челюсть
    Установка элайнеров
    от 100 000 ₽ до 200 000 ₽ за обе челюсти
    Еще услуги
    Все цены носят ознакомительный характер. Точную цену вы сможете получить только после консультации специалиста.
    Звоните по телефону:
    +7 (481)Показать телефон

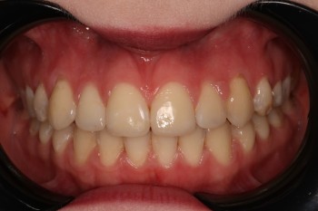
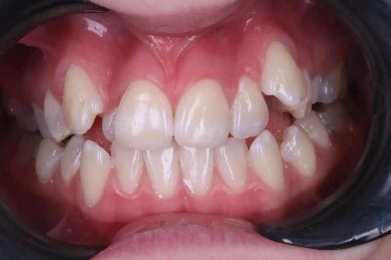
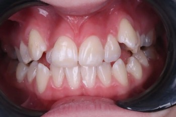
    Азарова (Антюхова) Алена Дмитриевна: портфолио (1)