Стоматолог Демченкова (Свириденкова) Александра Константиновна — цены, отзывы, стаж — Принимает в Смоленске

Демченкова (Свириденкова) Александра Константиновна

Демченкова (Свириденкова) Александра Константиновна - фотография
стоматолог-терапевт
стоматолог-ортодонт
детский стоматолог
детский ортодонт
Стаж 5 лет
Демченкова (Свириденкова) Александра Константиновна принимает в «Клиника бережной стоматологии АТМОСФЕРА» в Смоленске. Стаж 5 лет. Специализируется на терапии, ортодонтии и детской стоматологии, по которым клиника оказывает 24 услуги. Имеет 5 работ до/после в портфолио. Квалификация специалиста подтверждена 10 лицензиями, сертификатами и наградами. Для уточнения дополнительной информации о специалисте или записи на прием можно позвонить по телефону
+7 (481)Показать телефон
.

Запись на приём

Врач принимает в 1 клинике
5 работ в портфолио
10 сертификатов
Опыт 5 лет

Стоматологические ассоциации

  • Всероссийский чат ортодонтов Orthoart доктора Нуртдинова

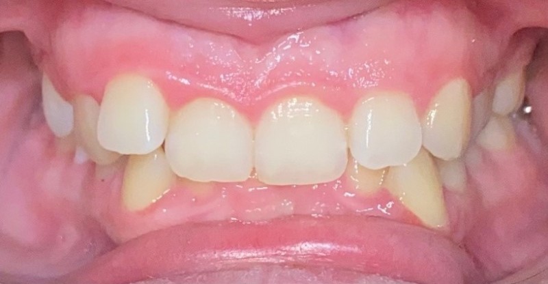
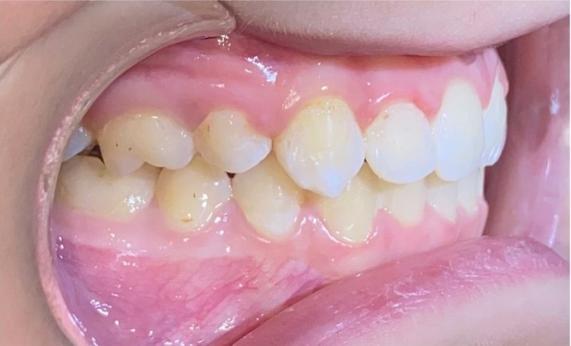
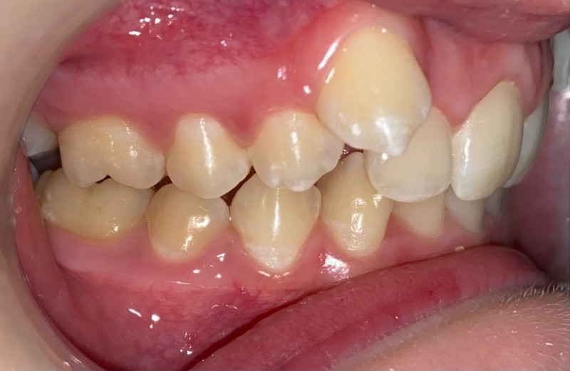
Демченкова (Свириденкова) Александра Константиновна: портфолио (5)

Отзывы о враче Демченкова (Свириденкова) Александра Константиновна

Почему нашим отзывам можно доверять?
После приема Пациент записывался в клинику через 32top. После приёма мы позвонили ему и получили отзыв.
13 июня 2025 г.
1 2 3 4 5
Клиника имеет удобное местоположение, быстро можно добраться на общественном транспорте. Была на консультации у ортодонта Александры Константиновны. Хороший врач, все посмотрела, сделали снимки зубов, составила план лечения. Буду продолжать лечение у нее.
Благодарим за прекрасный отзыв! Мы рады, что вам удобно добираться клиники бережной стоматологии «Атмосфера». Особенно приятно, что вы отметили профессионализм ортодонта Александры Константиновны и детально составленный план лечения. Мы стремимся сделать каждый визит комфортным и результативным. Спасибо за доверие! Будем ждать вас снова для продолжения лечения.
    Помогите другим сделать правильный выбор — оставьте свой отзыв о докторе
    Написать отзыв

    Услуги стоматолога в других клиниках

    Терапевтическая стоматология
    Лечение кариеса от 3 520 ₽ до 9 500 ₽
    Лечение пульпита от 5 820 ₽ до 15 200 ₽
    Еще услуги
    Ортодонтия
    Установка брекетов от 14 000 ₽ до 210 000 ₽
    Снятие брекетов от 3 700 ₽ до 10 900 ₽
    Еще услуги
    Детская стоматология
    Лечение молочных зубов от 1 500 ₽ до 9 150 ₽
    Удаление зубов у детей от 860 ₽ до 3 750 ₽
    Еще услуги