Стоматолог Байкалова Анастасия Игоревна — цены, отзывы, стаж — Принимает в Сочи

Байкалова Анастасия Игоревна

Байкалова Анастасия Игоревна - фотография
стоматолог-гигиенист
Стаж 6 лет
Байкалова Анастасия Игоревна принимает в «Стоматология АКСОН-ДЕНТ» в Сочи. Стаж 6 лет. Специализируется на гигиене полости рта, по которой клиника оказывает 5 услуг. Имеет 4 работы до/после в портфолио. Для уточнения дополнительной информации о специалисте или записи на прием можно позвонить по телефону
+7 (8622)Показать телефон
.

Где принимает:

Опыт 6 лет
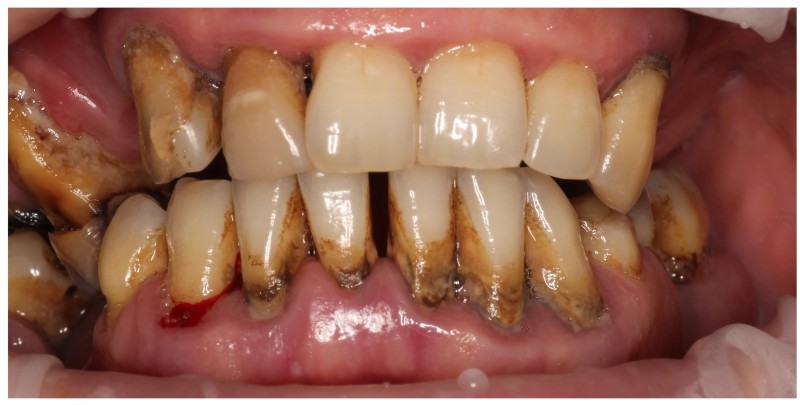
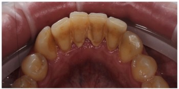
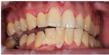
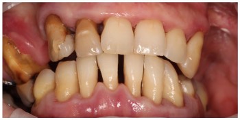
4 работы в портфолио

Отзывы о враче Байкалова Анастасия Игоревна

Почему нашим отзывам можно доверять?
27 сентября 2025 г.
1 2 3 4 5
Проходил гигиену полости рта у врача Анастасии Байкаловой. Обслуживание на высоком уровне, персонал внимательный и вежливый. Процедура прошла быстро и без дискомфорта, получил полезные советы по уходу за зубами. Чувствуется, что врач относится к работе с душой и пониманием. Обязательно вернусь к Анастасии Игоревне на следующую чистку.
    Помогите другим сделать правильный выбор — оставьте свой отзыв о докторе
    Написать отзыв

    Услуги врача (9)

    Профгигиена
    Комплексная гигиена полости рта
    от 5 000 ₽
    Чистка зубов Air-flow
    от 5 500 ₽ за 1 сеанс
    Ультразвуковая чистка зубов
    Еще услуги
    Все цены носят ознакомительный характер. Точную цену вы сможете получить только после консультации специалиста.
    Звоните по телефону:
    +7 (8622)Показать телефон

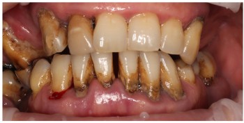
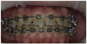
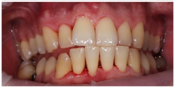
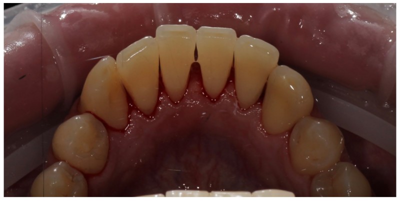
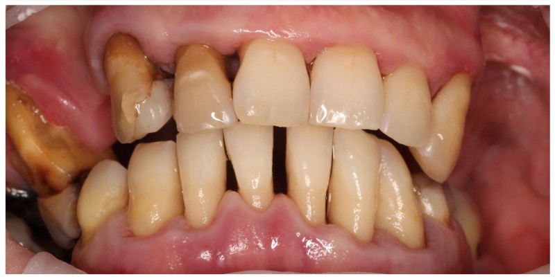
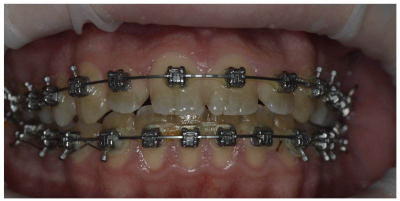
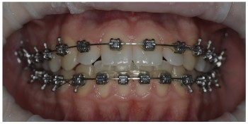
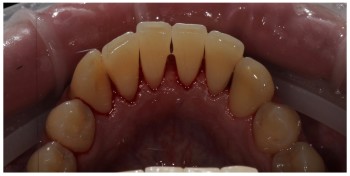
    Байкалова Анастасия Игоревна: портфолио (4)