Стоматолог Исламов Константин Александрович — цены, отзывы, стаж — Принимает в Сочи

Исламов Константин Александрович

Исламов Константин Александрович - фотография

5.0
Рейтинг: 5.0
Отзывов: 4
Положительных: 4
Отрицательных: 0
Последний : 1001 дн. назад
4 отзыва
стоматолог-хирург
стоматолог-имплантолог
пародонтолог
Стаж 16 лет
Исламов Константин Александрович принимает в «Стоматологическая клиника ПРО ЗУБЫ» в Сочи. Стаж 16 лет. Специализируется на хирургии, имплантологии и пародонтологии, по которым клиника оказывает 14 услуг. Имеет 3 работы до/после в портфолио. Квалификация специалиста подтверждена 29 лицензиями, сертификатами и наградами. Для уточнения дополнительной информации о специалисте или записи на прием можно позвонить по телефону
+7 (918)Показать телефон
. Также 32top представляет форму онлайн расписания, через которую можно записаться к специалисту на свободную дату и время.

Где принимает:

Опыт 16 лет
3 работы в портфолио
29 сертификатов

О стоматологе

На мой выбор в профессии повлияла мама, за что я ей благодарен. Родом я из города Владивосток.
Быть хирургом — это значит быть всегда особенно внимательным ко всем показателям здоровья пациента. Это значит быть всегда педантом в диагностике.
Моим принципом работы стал лозунг: «Лучшая операция – это та операция, которой не было. А если мы и начинаем операцию, то сделать максимальный объём однократного оперативного вмешательства , чтобы организму было легче.

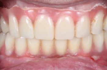
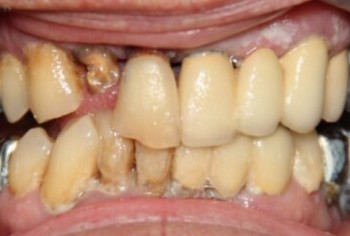
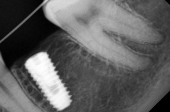
Исламов Константин Александрович: портфолио (3)

Отзывы о враче Исламов Константин Александрович

Рейтинг: 5
Отзывов: 4
Положительных: 4
Отрицательных: 0
Последний: 1001 дн. назад
5.0
Почему нашим отзывам можно доверять?
После приема Пациент записывался в клинику через 32top. После приёма мы позвонили ему и получили отзыв.
16 августа 2023 г.
1 2 3 4 5
Была у разных врачей по разным поводам: и пломбировка, и лечение, и коронки, и даже удаление. Александр Дунаев, Дмитрий Мовенко, Константин Исламов удалял "8ки", детей вожу к Ирине Даниловой - нам очень нравится! Уже 3 года как наблюдаемся здесь. Удобно всё, в клинике нам очень нравится, девочки отлично обслуживают, чай, кофе, водичка, предлагают одноразовые щётки, пасты. Короче, всё грамотно, быстро, чётко, на любой вопрос отвечают, супер отношение, ничего лишнего не навязали. Ортодонт щепетильный. Вся семья ходит, знакомым рекомендую - все благодарны. Цены - обычные для Сочи. Закончу ортодонтическое лечение в сентябре.
Уважаемый пациент, благодарим Вас за высокую оценку нашей работы. Нам очень важен Ваш положительный опыт. Ценим Вашу лояльность и стремимся оправдать доверие в каждом визите. Будем рады видеть Вас снова в Simclinic!
После приема Пациент записывался в клинику через 32top. После приёма мы позвонили ему и получили отзыв.
12 августа 2023 г.
1 2 3 4 5
В клинике выполняются очень сложные стоматологические процедуры, а значит, доктора обучены, своё дело знают, профессионалы своего дела. Исламов Константин делал закрытый синус-лифтинг, была посадка костной ткани - очень душевный доктор, прекрасно успокаиваивает (я очень переживала, достаточно сложное вмешательство), врач опытный, во время приёма привели в чувство, оказали первую мед.помощь. Клинику советую всем, по моим рекомендациям уже более 15 человек там лечатся! Комфортно, уютно, тогда как во многих клиниках нет души. Вроде приходишь в стоматологию, а тут нежно, по-домашнему, цветочки, чай, кофе, девочки на ресепшене помогали с документами. К хорошим специалистам запись длительная, но я готова ждать, ибо уровень сервиса оправдывает. Всегда напоминают о приёме, соотношение по цене и качеству - даже дёшево, цены чуть выше среднего чека по городу, но и качество в разы выше, чем в других городах, даже как в дорогих клиниках Москвы!
Дорогой пациент, спасибо за ваше доверие и теплые слова! Мы счастливы, что врачи и сервисы Simclinic оправдывают ваши ожидания. Доктор Исламов Константин и наша команда всегда заботятся о вашем комфорте и спокойствии. Мы благодарны за ваши рекомендации и готовы продолжать оказывать высокий уровень обслуживания. Мы предлагаем чуть выше средних цен, потому что наша цель - предложить лучшее обслуживание. Мы всегда будем рады видеть вас в нашей клинике. Еще раз благодарим вас за доверие к Simclinic.
После приема Пациент записывался в клинику через 32top. После приёма мы позвонили ему и получили отзыв.
6 августа 2023 г.
1 2 3 4 5
Пролечила все зубы от кариеса в этой стоматологии, постоянно хожу на профгигиену. Ставила коронки, была у Ксении Александровны и Константина Александровича Исламовых, на гигиене у Ксении Мараховской. Всей семьёй только сюда и ходим, по рекомендации, по совету знакомых. Замечательные девушки на ресепшене, добродушные, предложат чай, кофе, для детей есть игровой уголок, детям дарят стоматологические принадлежности, уборная комфортная, да и в целом в клинике уютно и приятно. В определённое время записывают, заранее предупреждают, никаких накладок. Цена устаивает, потому советую, хожу и буду ходить дальше.
Большое спасибо за потрясающий отзыв! Наша главная цель - видеть наших пациентов удовлетворенными и здоровыми. Мы очень рады, что вы хвалите нашу работу и команду. Мы стараемся создавать комфортную и уютную атмосферу для каждого пациента, и понимаем, насколько важен индивидуальный подход. Мы действительно ценим вашу лояльность и будем рады приветствовать вас и вашу семью в нашей клинике вновь. Благодарим вас за высокую оценку работы нашего персонала, и вместе мы продолжим поддерживать Ваше здоровье и красоту улыбки на высшем уровне.
27 января 2020 г.
1 2 3 4 5
Хочется выразить огромную благодарность доктору с золотыми руками, Исламову Константину Александровичу! После таких врачей избавляешься не только от причины обращения, но и от страха посещения стоматолога! Перед удалением всё доходчиво объяснил, рассказал о предстоящей процедуре, о возможных ощущениях. Работу выполнил быстро, качественно на 100%, безболезненно, и это при внимательном, доброжелательном отношении! Я не успела испугаться, как всё было готово! Спасибо ему огромное! Очень рекомендую!
    Помогите другим сделать правильный выбор — оставьте свой отзыв о докторе
    Написать отзыв

    Услуги стоматолога в других клиниках

    Пародонтология
    Лечение пародонтита от 500 ₽ до 11 000 ₽
    Лечение пародонтоза от 500 ₽ до 11 000 ₽
    Еще услуги
    Хирургическая стоматология
    Удаление зубов от 2 000 ₽ до 20 000 ₽
    Удаление кисты и гранулемы зуба от 2 000 ₽ до 20 000 ₽
    Еще услуги
    Имплантация
    Установка мини-импланта от 5 000 ₽ до 30 000 ₽
    Коронки на имплантах от 16 400 ₽ до 52 500 ₽
    Еще услуги