Стоматолог Кругова Татьяна Игоревна — цены, отзывы, стаж — Принимает в Сочи

Кругова Татьяна Игоревна

Кругова Татьяна Игоревна - фотография
стоматолог-ортодонт
Стаж 12 лет
Кругова Татьяна Игоревна принимает в «Семейная стоматология ДОКТОР КЕЛЛЕР» в Сочи. Стаж 12 лет. Специализируется на ортодонтии, по которой клиника оказывает 9 услуг. Имеет 6 работ до/после в портфолио. Для уточнения дополнительной информации о специалисте или записи на прием можно позвонить по телефону
+7 (8622)Показать телефон
.

Где принимает:

Опыт 12 лет
6 работ в портфолио
    Помогите другим сделать правильный выбор — оставьте свой отзыв о докторе
    Написать отзыв

    Услуги врача (19)

    Ортодонтия
    Установка брекетов
    от 17 320 ₽ за 1 челюсть
    Снятие брекетов
    от 4 500 ₽ за 1 челюсть
    Установка элайнеров
    от 99 400 ₽ на 1 челюсть
    Еще услуги
    Все цены носят ознакомительный характер. Точную цену вы сможете получить только после консультации специалиста.
    Звоните по телефону:
    +7 (8622)Показать телефон

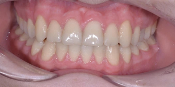
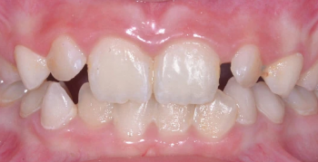
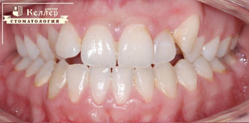
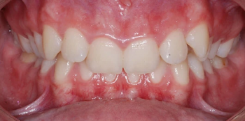
    Кругова Татьяна Игоревна: портфолио (6)

    Акции и скидки клиники ДОКТОР КЕЛЛЕР (2)