Стоматолог Мариенко Наталия Леонидовна — цены, отзывы, стаж — Принимает в Санкт-Петербурге (СПб)

Мариенко Наталия Леонидовна

Мариенко Наталия Леонидовна - фотография
детский стоматолог
Стаж 15 лет
Мариенко Наталия Леонидовна принимает в «Стоматология РАЙДЕН» в Санкт-Петербурге. Стаж 15 лет. Специализируется на детской стоматологии, по которой клиника оказывает 12 услуг. Имеет 12 работ до/после в портфолио. Квалификация специалиста подтверждена 37 лицензиями, сертификатами и наградами. Для уточнения дополнительной информации о специалисте или записи на прием можно позвонить по телефону
+7 (812)Показать телефон
.

Где принимает:

37 сертификатов
12 работ в портфолио
Опыт 15 лет

О стоматологе

Мариенко Наталия Леонидовна - нежная и деликатная Зубная Фея для вашего малыша. Суперсила: адаптирует к лечению даже самых тревожных маленьких пациентов. Спасает зубки после любых травм как по волшебству. Опыт работы с детьми более 11 лет. Наталия Леонидовна придерживается принципа, что нет единого рецепта работы с ребенком, с каждым нужен индивидуальный подход с учетом психологического созревания ребенка, предыдущего опыта взаимодействия ребенка с миром и опыта лечения. Прежде всего стремится познакомиться с маленьким пациентом, подружиться и поддержать.

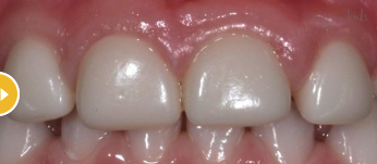
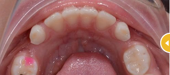
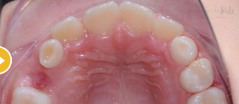
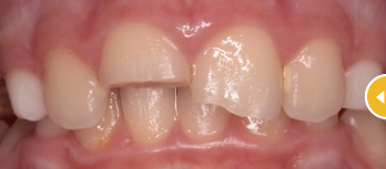
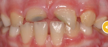
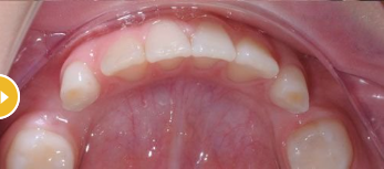
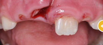
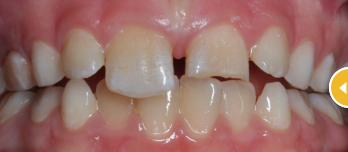
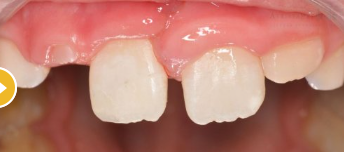
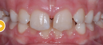
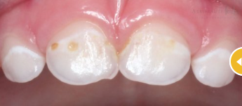
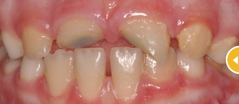
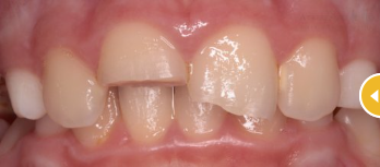
Мариенко Наталия Леонидовна: портфолио (12)

    Помогите другим сделать правильный выбор — оставьте свой отзыв о докторе
    Написать отзыв

    Услуги стоматолога в других клиниках

    Детская стоматология
    Лечение молочных зубов от 1 600 ₽ до 10 000 ₽
    Удаление зубов у детей от 740 ₽ до 8 250 ₽
    Еще услуги