Стоматолог Махортова Татьяна Александровна — цены, отзывы, стаж — Принимает в Санкт-Петербурге (СПб)

Махортова Татьяна Александровна

Махортова Татьяна Александровна - фотография
детский стоматолог
Стаж 7 лет
Махортова Татьяна Александровна принимает в «Детская стоматология АТРИБЬЮТ КИДС» в Санкт-Петербурге. Стаж 7 лет. Специализируется на детской стоматологии, по которой клиника оказывает 9 услуг. Имеет 15 работ до/после в портфолио. Квалификация специалиста подтверждена 18 лицензиями, сертификатами и наградами. Для уточнения дополнительной информации о специалисте или записи на прием можно позвонить по телефону
+7 (812)Показать телефон
.

Где принимает:

Опыт 7 лет
15 работ в портфолио
18 сертификатов

О стоматологе

Махортова Татьяна Александровна - милая и очаровательная зубная фея. Суперсила: очарованием завоевывать детские сердца и с помощью зубной магии создавать здоровые улыбки. Татьяна Александровна находит общий язык как с крохами, так и с детками постарше. Она уверена, что позитивное отношение к врачам и заботе о здоровье должно формироваться ещё в детстве. Поэтому на каждом своем приеме Татьяна Александровна становится для своих пациентов проводником в мир, где забота о здоровье — это добрая традиция, а врач — лучший друг.

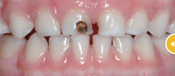
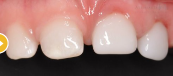
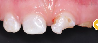
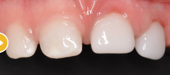
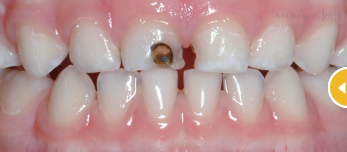
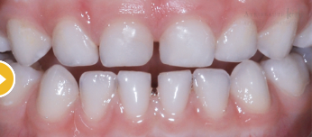
Махортова Татьяна Александровна: портфолио (15)

    Помогите другим сделать правильный выбор — оставьте свой отзыв о докторе
    Написать отзыв

    Услуги стоматолога в других клиниках

    Детская стоматология
    Лечение молочных зубов от 1 600 ₽ до 10 000 ₽
    Удаление зубов у детей от 740 ₽ до 8 250 ₽
    Еще услуги