Стоматолог Скурихина Анжелика Игоревна — цены, отзывы, стаж — Принимает в Санкт-Петербурге (СПб)

Скурихина Анжелика Игоревна

Скурихина Анжелика Игоревна - фотография
детский стоматолог
Стаж 7 лет
Скурихина Анжелика Игоревна принимает в «Детская стоматология АТРИБЬЮТ КИДС» в Санкт-Петербурге. Стаж 7 лет. Специализируется на детской стоматологии, по которой клиника оказывает 9 услуг. Имеет 12 работ до/после в портфолио. Квалификация специалиста подтверждена 19 лицензиями, сертификатами и наградами. Для уточнения дополнительной информации о специалисте или записи на прием можно позвонить по телефону
+7 (812)Показать телефон
.

Где принимает:

Опыт 7 лет
19 сертификатов
12 работ в портфолио

О стоматологе

Скурихина Анжелика Игоревна - дружелюбная и веселая зубная фея. Суперсила: находить общий язык с любым ребенком - от трехлетки до подростка - и бережно спасать зубки от кариеса. Самое ценное для Анжелики Игоревны в работе детского стоматолога - это яркие эмоции и благодарность детей: когда ребёнок после лечения обнимает тебя и говорит спасибо. Этот искренний жест дороже любого вознаграждения за проделанную работу. Она умеет расположить к себе маленьких пациентов так, что дети воодушевляются и уже на приеме некоторые из них твердо решают в будущем стать стоматологом.

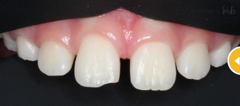
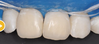
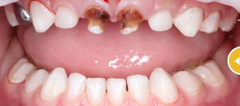
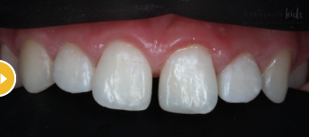
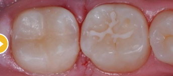
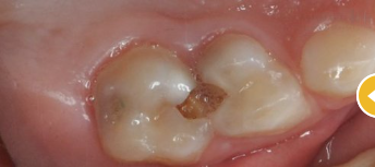
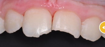
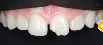
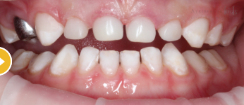
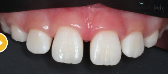
Скурихина Анжелика Игоревна: портфолио (12)

    Помогите другим сделать правильный выбор — оставьте свой отзыв о докторе
    Написать отзыв

    Услуги стоматолога в других клиниках

    Детская стоматология
    Лечение молочных зубов от 1 600 ₽ до 10 000 ₽
    Удаление зубов у детей от 740 ₽ до 8 250 ₽
    Еще услуги