Стоматолог Красникова Наталья Александровна — цены, отзывы, стаж — Принимает в Санкт-Петербурге (СПб)

Красникова Наталья Александровна

Красникова Наталья Александровна - фотография
стоматолог-гигиенист
детский стоматолог
Стаж 4 года
Красникова Наталья Александровна принимает в «Детская стоматология АТРИБЬЮТ КИДС» в Санкт-Петербурге. Стаж 4 года. Специализируется на гигиене полости рта и детской стоматологии, по которым клиника оказывает 12 услуг. Имеет 7 работ до/после в портфолио. Квалификация специалиста подтверждена 6 лицензиями, сертификатами и наградами. Для уточнения дополнительной информации о специалисте или записи на прием можно позвонить по телефону
+7 (812)Показать телефон
.

Где принимает:

Опыт 4 года
6 сертификатов
7 работ в портфолио

О стоматологе

Красникова Наталья Александровна - искренняя и заботливая зубная фея. Суперсила: находить подход даже к самым настороженным и боязливым детям. "Найдите работу, в которую влюбитесь, и вам больше не придётся трудиться ни одного дня в жизни" - эта цитата в полной мере передаёт отношение Натальи Александровны к своей работе. Трепетный подход к мелочам, изучение психологии детей вплоть до месяцев их жизни – наш доктор знает, что даже спустя месяц перерыва между приемами в кабинет может зайти совершенно новая личность, со своим новым и особенным взглядом на процедуры. Наталья Александровна примет во внимание все детали состояния ребенка, чтобы визит прошел в комфорте и сотрудничестве.

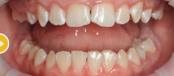
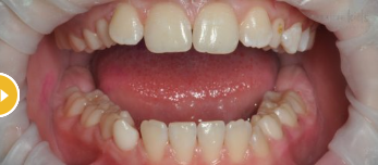
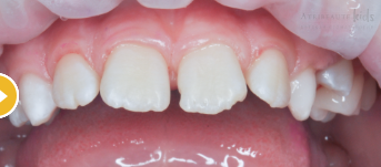
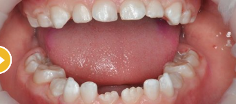
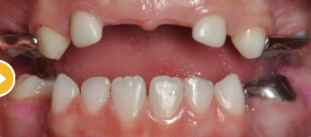
Красникова Наталья Александровна: портфолио (7)

    Помогите другим сделать правильный выбор — оставьте свой отзыв о докторе
    Написать отзыв

    Услуги стоматолога в других клиниках

    Детская стоматология
    Лечение молочных зубов от 1 600 ₽ до 10 000 ₽
    Удаление зубов у детей от 740 ₽ до 8 250 ₽
    Еще услуги
    Профгигиена
    Чистка зубов Air-flow от 1 390 ₽ до 11 000 ₽
    Фторирование зубов от 60 ₽ до 6 600 ₽
    Еще услуги