Стоматолог Казакова Мария Павловна — цены, отзывы, стаж — Принимает в Санкт-Петербурге (СПб)

Казакова Мария Павловна

Казакова Мария Павловна - фотография
стоматолог-ортопед
Стаж 12 лет
Казакова Мария Павловна принимает в «Центр стоматологии СУПЕР СМАЙЛ» в Санкт-Петербурге. Стаж 12 лет. Специализируется на ортопедии, по которой клиника оказывает 9 услуг. Имеет 10 работ до/после в портфолио. Квалификация специалиста подтверждена 44 лицензиями, сертификатами и наградами. Для уточнения дополнительной информации о специалисте или записи на прием можно позвонить по телефону
+7 (812)Показать телефон
. Также 32top представляет форму онлайн расписания, через которую можно записаться к специалисту на свободную дату и время.

Где принимает:

Опыт 12 лет
44 сертификата
10 работ в портфолио
    Помогите другим сделать правильный выбор — оставьте свой отзыв о докторе
    Написать отзыв

    Услуги врача (25)

    Протезирование зубов
    Установка коронки на зуб
    от 27 000 ₽ за 1 зуб
    Установка протеза Акри Фри (Acry-Free)
    Ремонт зубных протезов
    Еще услуги
    Все цены носят ознакомительный характер. Точную цену вы сможете получить только после консультации специалиста.
    Звоните по телефону:
    +7 (812)Показать телефон

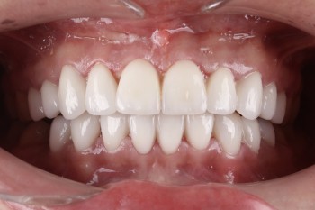
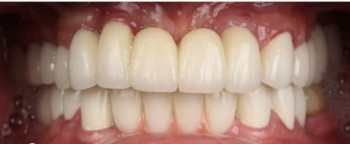
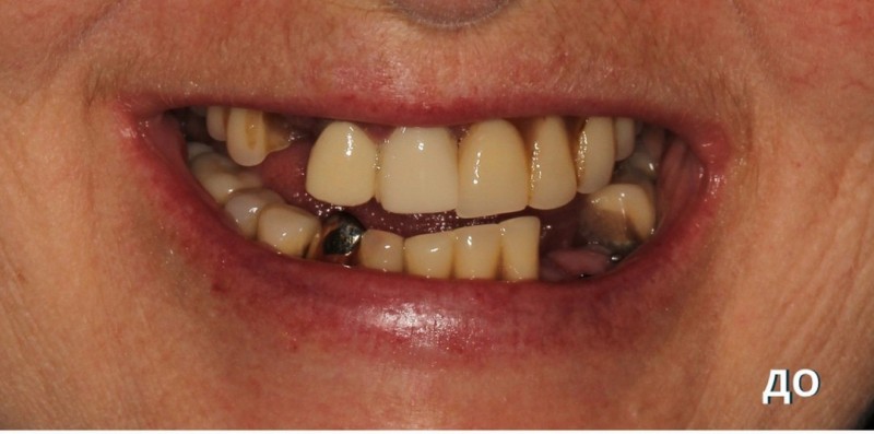
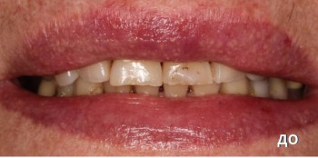
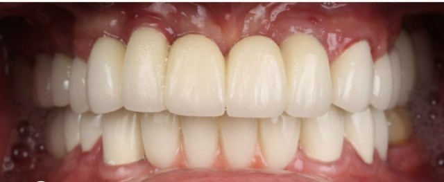
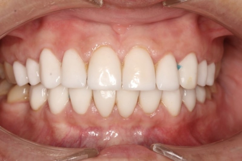
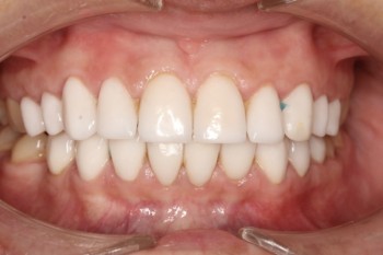
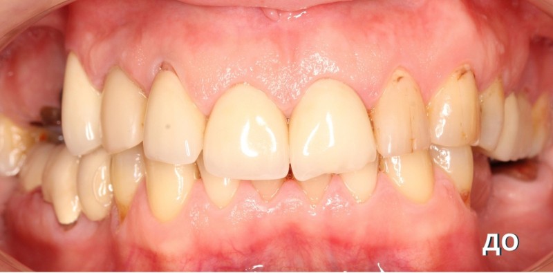
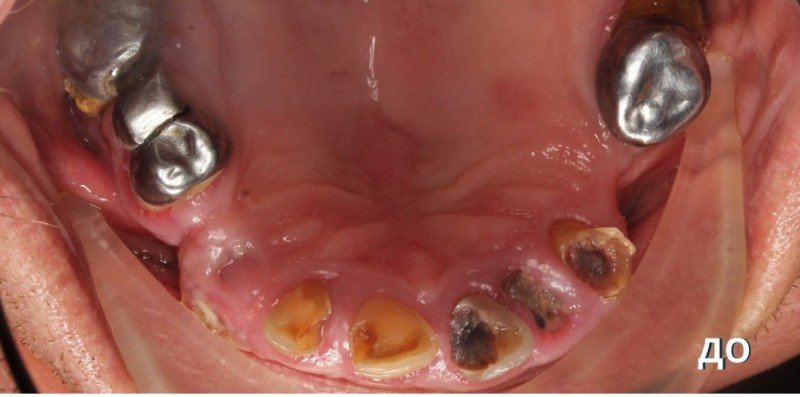
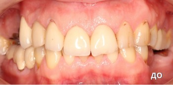
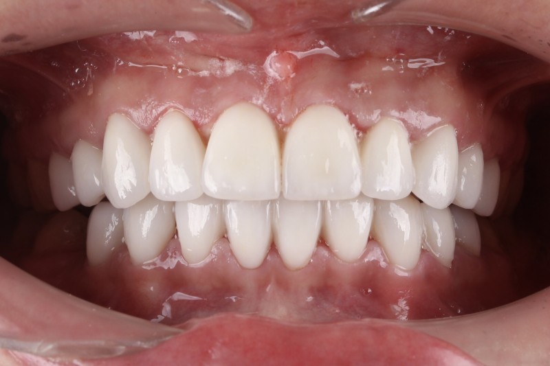
    Казакова Мария Павловна: портфолио (10)

    Акции и скидки клиники СУПЕР СМАЙЛ (5)