Стоматолог Невский Денис Дмитриевич — цены, отзывы, стаж — Принимает в Санкт-Петербурге (СПб)

Невский Денис Дмитриевич

Невский Денис Дмитриевич - фотография
стоматолог-ортопед
Стаж 17 лет
Невский Денис Дмитриевич принимает в «Взрослая стоматология АТРИБЬЮТ» в Санкт-Петербурге. Стаж 17 лет. Специализируется на ортопедии, по которой клиника оказывает 10 услуг. Имеет 4 работы до/после в портфолио. Квалификация специалиста подтверждена 61 лицензиями, сертификатами и наградами. Для уточнения дополнительной информации о специалисте или записи на прием можно позвонить по телефону
+7 (812)Показать телефон
.

Где принимает:

Опыт 17 лет
61 сертификат
4 работы в портфолио

Стоматологические ассоциации

  • Российское стоматологическое общество (РСО)
  • Cтоматологическая Ассоциация России
  • Евразийская Ассоциация Эстетической Стоматологии

О стоматологе

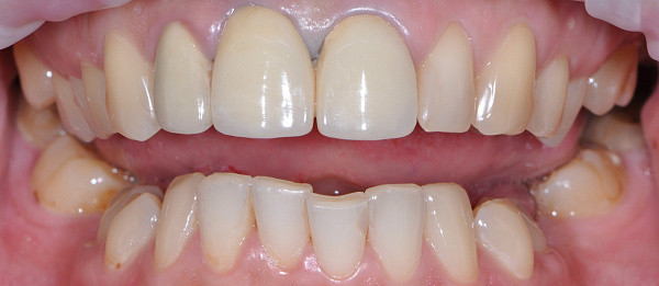
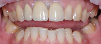
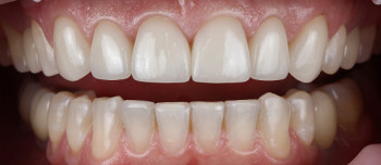
Специализируется на функциональном и эстетическом восстановлении зубов с помощью ортопедических реставраций – виниров и коронок, а также протезировании на имплантатах. Денис Дмитриевич использует самые современные технологии (например, цифровое сканирование) и только высококачественные материалы (керамику Emax и диоксид циркония). В своей работе считает важным слаженную работу команды над улыбкой пациента для достижения идеального результата.

Невский Денис Дмитриевич: портфолио (4)

    Помогите другим сделать правильный выбор — оставьте свой отзыв о докторе
    Написать отзыв

    Услуги стоматолога в других клиниках

    Протезирование зубов
    Лечение адентии от 25 000 ₽ до 110 000 ₽
    Установка коронки на зуб от 4 800 ₽ до 105 000 ₽
    Еще услуги