Стоматолог Кравец Вероника Михайловна — цены, отзывы, стаж — Принимает в Санкт-Петербурге (СПб)

Кравец Вероника Михайловна

Кравец Вероника Михайловна - фотография

5.0
Рейтинг: 5.0
Отзывов: 7
Положительных: 7
Отрицательных: 0
Последний : 22 дн. назад
7 отзывов
ТОП-20 в рейтинге
стоматолог-терапевт
стоматолог-ортодонт
стоматолог-гигиенист
Стаж 5 лет
Кравец Вероника Михайловна принимает в «Центр стоматологии СУПЕР СМАЙЛ» в Санкт-Петербурге. Стаж 5 лет. Специализируется на терапии, ортодонтии и гигиене полости рта, по которым клиника оказывает 27 услуг. Имеет 2 работы до/после в портфолио. Для уточнения дополнительной информации о специалисте или записи на прием можно позвонить по телефону
+7 (812)Показать телефон
. Занимает 20 место в рейтинге стоматологов вашего города. Также 32top представляет форму онлайн расписания, через которую можно записаться к специалисту на свободную дату и время.

Где принимает:

Опыт 5 лет
1 сертификат
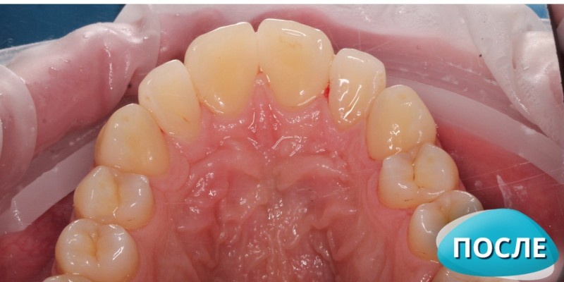
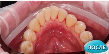
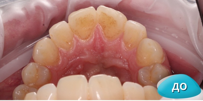
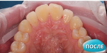
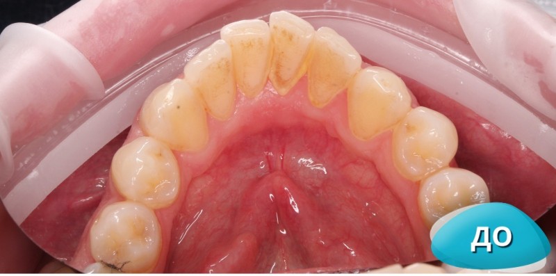
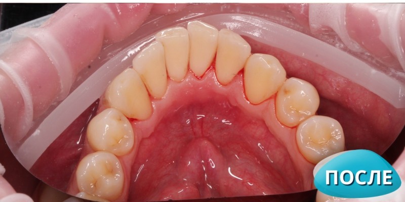
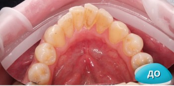
2 работы в портфолио
Топ 20 в рейтинге

Отзывы о враче Кравец Вероника Михайловна

Рейтинг: 5
Отзывов: 7
Положительных: 7
Отрицательных: 0
Последний: 22 дн. назад
5.0
Пациенты отмечают:
Профессионализм
Вежливость
Подробные объяснения
Тщательный осмотр
Лечение помогло
Почему нашим отзывам можно доверять?
15 апреля 2026 г.
1 2 3 4 5
Был на приеме у доктора Кравец Вероники Михайловны, все понравилось, быстро, качественно и безболезненно. Однозначно буду только здесь
Здравствуйте! Спасибо вам за отзыв и доверие к нашей клинике. Очень приятно, что вы отметили скорость, качество и комфорт лечения у Вероники Михайловны. Будем рады видеть вас снова. Пожалуйста, рекомендуйте нас своим друзьям и знакомым, чтобы они также могли получать качественное и заботливое стоматологическое лечение. С заботой о Вас, команда стоматологической клиники Super Smile.
31 августа 2025 г.
1 2 3 4 5
Была у Кравец Вероники на гигиена Всё супер , врач понравилась
Здравствуйте! Большое спасибо за ваш отзыв. Мы рады, что вам понравилась работа нашего специалиста Вероники. Ваше мнение очень важно для нас, и мы продолжим делать все возможное, чтобы предоставлять отличный сервис. Ждем вас снова! Желаем здоровья и всего наилучшего! Берегите себя и не забывайте о профилактике. С заботой о Вас, команда Super Smile.
11 августа 2025 г.
1 2 3 4 5
Прошла процедуру профессиональной чистки зубов, и осталась очень довольна! Доктор Вероника Кравец профессионально выполнила все работы, а клиника приятно удивила высоким уровнем сервиса.
Здравствуйте! Большое спасибо за ваш отзыв. Мы рады, что вы остались довольны процедурой профессиональной чистки зубов, и высоко оценили работу доктора Вероники Кравец. Нам очень приятно слышать, что уровень сервиса в нашей клинике произвел на вас хорошее впечатление. Будем рады видеть вас снова! Желаем здоровья и всего наилучшего! Берегите себя и не забывайте о профилактике. С заботой о Вас, команда Super Smile.
4 августа 2025 г.
1 2 3 4 5
Доктор Гусарова — спокойный и надёжный врач, вызывающий полное доверие. Она не навязывает лишние процедуры, а предлагает только необходимое лечение. Недавно лечилась у Вероники Михайловны Кравец — аккуратного и добросовестного врача. Она отлично поставила пломбу и провела профессиональную чистку.
Здравствуйте! Большое спасибо за ваш отзыв о нашем медицинском центре. Мы рады слышать, что вы остались довольны работой наших врачей. Мы стараемся предоставлять только самое необходимое и качественное лечение, чтобы наши пациенты чувствовали себя уверенно и комфортно. Если у вас будут ещё вопросы или потребуется помощь, пожалуйста, обращайтесь к нам. Желаем вам крепкого здоровья! Берегите себя и не забывайте о профилактике. С заботой о Вас, команда Super Smile.
20 февраля 2025 г.
1 2 3 4 5
Прошел полную диагностику зубов в клинике, и остался в полном восторге! Мне сделали КТ, а врачи Вероника Кравец и Дарья Шибаева подробно изучили мои проблемы, ответили на все вопросы и дали четкие рекомендации по лечению и уходу. В результате я получил подробный план лечения и 3D-снимки КТ на электронном носителе. Остались только положительные впечатления от клиники и её сотрудников. Спасибо за профессионализм и заботу! Обязательно порекомендую знакомым.
Здравствуйте! Спасибо большое за ваш положительный отзыв. Мы рады, что вы остались довольны нашим сервисом и работой врачей. Если у вас возникнут дополнительные вопросы или понадобится дальнейшая помощь, не стесняйтесь обращаться. Будем рады видеть вас и ваших знакомых в нашей клинике! Желаем здоровья и всего наилучшего! Берегите себя и не забывайте о профилактике. С заботой о Вас, команда Super Smile.
7 февраля 2025 г.
1 2 3 4 5
Посетила ортодонта Веронику Михайловну, и осталась очень довольна приемом! В клинике проводят тщательную диагностику перед началом лечения. Все этапы и рекомендации были подробно объяснены. Очень приятно, когда специалисты подходят к делу так профессионально и внимательно. Спасибо за качественный прием!
Здравствуйте! Большое спасибо за ваш положительный отзыв. Очень рады, что вы остались довольны приемом у нашего специалиста Вероники Михайловны. Нам важно, чтобы каждый пациент чувствовал внимание и профессиональный подход. Будем рады видеть вас снова! Желаем здоровья и всего наилучшего! Берегите себя и не забывайте о профилактике. С заботой о Вас, команда Super Smile.
17 декабря 2022 г.
1 2 3 4 5
Мне понравился сервис, обслуживание, ценовая политика меня тоже устроила. Врач Кравец Вероника, к которой я записалась по рекомендации моей подруги, очень аккуратно и безболезненно проводит все процедуры. Здесь я постепенно устранила здесь все мелкие проблемы, чтобы не не превратились в крупные.
Добрый день, благодарим вас за отзыв и за доверие! Берегите себя и не забывайте о профилактике. С уважением, команда Super Smile.
    Помогите другим сделать правильный выбор — оставьте свой отзыв о докторе
    Написать отзыв

    Услуги врача (59)

    Терапевтическая стоматология
    Лечение кариеса
    от 6 700 ₽ за 1 зуб
    Лечение кариеса ICON
    от 9 200 ₽ за 1 зуб
    Лечение поверхностного кариеса
    от 7 900 ₽
    Еще услуги
    Профгигиена
    Комплексная гигиена полости рта
    от 6 500 ₽ вся полость
    Чистка зубов Air-flow
    Ультразвуковая чистка зубов
    Еще услуги
    Ортодонтия
    Установка брекетов
    от 36 100 ₽ за обе челюсти
    Снятие брекетов
    Установка элайнеров
    от 158 000 ₽ за обе челюсти
    Еще услуги
    Все цены носят ознакомительный характер. Точную цену вы сможете получить только после консультации специалиста.
    Звоните по телефону:
    +7 (812)Показать телефон

    Кравец Вероника Михайловна: портфолио (2)

    Акции и скидки клиники СУПЕР СМАЙЛ (5)