Стоматолог Чугунов Никита Анатольевич — цены, отзывы, стаж — Принимает в Санкт-Петербурге (СПб)

Чугунов Никита Анатольевич

Чугунов Никита Анатольевич - фотография

5.0
Рейтинг: 5.0
Отзывов: 5
Положительных: 5
Отрицательных: 0
Последний : 502 дн. назад
5 отзывов
стоматолог-хирург
стоматолог-имплантолог
детский стоматолог-хирург
Стаж 7 лет
Чугунов Никита Анатольевич принимает в «Институт современной стоматологии и челюстно-лицевой хирургии НС МЕД» в Санкт-Петербурге. Стаж 7 лет. Специализируется на хирургии и имплантологии, по которым клиника оказывает 34 услуги. Имеет 4 работы до/после в портфолио. Квалификация специалиста подтверждена 4 лицензиями, сертификатами и наградами. Для уточнения дополнительной информации о специалисте или записи на прием можно позвонить по телефону
+7 (812)Показать телефон
. Занимает 3 место в рейтинге детских стоматологов-хирургов 32top в вашем городе. Также 32top представляет форму онлайн расписания, через которую можно записаться к специалисту на свободную дату и время.

Где принимает:

Опыт 7 лет
1 видеоотзыв
4 работы в портфолио
4 сертификата

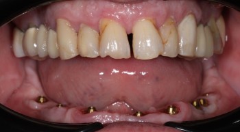
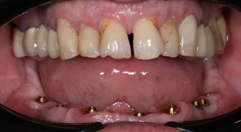
Чугунов Никита Анатольевич: портфолио (4)

Отзывы о враче Чугунов Никита Анатольевич

Рейтинг: 5
Отзывов: 5
Положительных: 5
Отрицательных: 0
Последний: 502 дн. назад
5.0
Почему нашим отзывам можно доверять?
После приема Пациент записывался в клинику через 32top. После приёма мы позвонили ему и получили отзыв.
23 декабря 2024 г.
1 2 3 4 5
Это наша семейная стоматология, посещаем уже достаточно давно. Сама проходила лечение, дочка, муж, родители. Всем своим знакомым рекомендовали данную клинику. Сервис предоставляемых услуг самый высокий. Цена и качество соответствует, кстати, цены не так кусаются как в других стоматологиях. У меня было лечение кариеса, чистка зубов, имплантация. Хотела бы поблагодарить Шамиля Курбанова главный врач, Никиту Чугунова и многих других специалистов.
Добрый день. Благодарим вас за ваш отзыв. Нам очень приятно!
После приема Пациент записывался в клинику через 32top. После приёма мы позвонили ему и получили отзыв.
11 декабря 2024 г.
1 2 3 4 5
В этой клинике наблюдаюсь давно, с её открытия. Удобно по месту расположения, хотя есть стоматология еще ближе, но туда я точно ни ногой. В Бланко отзывчивый, внимательный персонал, я бы даже сказал внимательный к малейшим мелочам, высокая ответственность к своей работе, действительно качество работы на высоте. У многих врачей был на лечении это и Шамиль Тагирович, и Никита Анатольевич, Аминат Магомедовна. Я даже не могу сравнивать их со специалистами других клиник где я был, это небо и земля. Они профессионалы своего дела.
Добрый день. Спасибо большое, что выбрали нас!
После приема Пациент записывался в клинику через 32top. После приёма мы позвонили ему и получили отзыв.
5 декабря 2024 г.
1 2 3 4 5
Я на данный момент пока нахожусь еще на лечении, но мне уже все нравиться. Мой лечащий доктор Никита Анатольевич, он хирург и имплантолог, умный и толковый специалист, все понятно объясняет, на все вопросы есть ответ. Доктор внимательный, аккуратно все делает, ответственный. В кабинете чисто, стерильно, благоприятная и душевная обстановка. У меня было удаление, лечение и предстоит имплантация. Надеюсь на хороший результат.
Добрый день. Спасибо большое, что выбрали нас!
После приема Пациент записывался в клинику через 32top. После приёма мы позвонили ему и получили отзыв.
27 ноября 2024 г.
1 2 3 4 5
В стоматологию Бланко начала обращаться с февраля месяца этого года 2024 и несколько не пожалела. Была на разных услугах. Изначально я к ним попала, когда у меня сломался зуб. Сейчас идет наращивание костной ткани, а затем будут ставить имплант. Мне нравиться замечательное отношение к пациентам, комфортная атмосфера. Коллектив вежливый, внимательный, чуткий. Я и с ребенком приходила к ним на лечение, все прошло просто на отлично. Хотела бы отметить хирурга Чугунова Н. А., грамотный доктор, очень его рекомендую.
Добрый день, спасибо большое, что выбрали нас!
После приема Пациент записывался в клинику через 32top. После приёма мы позвонили ему и получили отзыв.
24 ноября 2024 г.
1 2 3 4 5
Клиника отличная, лечат хорошо, практически все нравиться. Только вот с администраторами мне кажется у них не все налажено. Я лечусь около года, было удаление зуба, лечение кариеса и имплантация. Качество меня порадовало, все понравилось. Летом обращалась, чтобы меня включили в резерв на запись, но мне так и не перезвонили и не записали. А в другой раз администратор не корректно спросила “А что у вас денег нет?!” Меня это возмутило просто. А врачи конечно очень хорошие - Муса Умарханович, Рустам Закирович, Никита Анатольевич, Шамиль Тагирович все талантливые, обходительные, тактичные и ответственные. А на администраторов можно закрыть глаза, важно крутое лечение.
Здравствуйте! Спасибо большое за ваш отзыв и тёплые слова о наших врачах. Нам очень приятно, что вы довольны качеством лечения и работой наших специалистов. От всей души приносим извинения за те неудобства, которые возникли при взаимодействии с нашими администраторами. Мы признаём, что в вашем случае произошла ошибка, и это совершенно недопустимо. В связи с этим мы уже начали дополнительные тренинги для нашего административного персонала, чтобы подобные ситуации не повторялись в будущем. Ваше мнение очень важно для нас, и мы благодарны вам за обратную связь. Надеемся, что сможем полностью оправдать ваши ожидания и предоставить безупречный сервис на всех уровнях. Если у вас есть дополнительные вопросы или предложения, пожалуйста, не стесняйтесь обращаться к нам напрямую.
    Помогите другим сделать правильный выбор — оставьте свой отзыв о докторе
    Написать отзыв

    Услуги стоматолога в других клиниках

    Хирургическая стоматология
    Удаление зубов от 1 100 ₽ до 25 000 ₽
    Удаление кисты и гранулемы зуба от 1 100 ₽ до 27 000 ₽
    Еще услуги
    Имплантация
    Установка мини-импланта от 5 000 ₽ до 34 000 ₽
    Коронки на имплантах от 11 500 ₽ до 89 900 ₽
    Еще услуги