Стоматолог Мартиросян Анна Карленовна — цены, отзывы, стаж — Принимает в Санкт-Петербурге (СПб)

Мартиросян Анна Карленовна

Мартиросян Анна Карленовна - фотография

5.0
Рейтинг: 5.0
Отзывов: 2
Положительных: 2
Отрицательных: 0
Последний : 305 дн. назад
2 отзыва
стоматолог-ортодонт
детский ортодонт
Стаж 14 лет
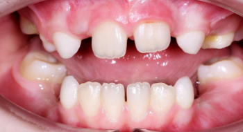
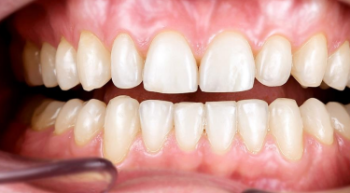
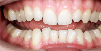
Мартиросян Анна Карленовна принимает в «Стоматологическая клиника МИНИМАЛИСТ» в Санкт-Петербурге. Стаж 14 лет. Специализируется на ортодонтии, по которым клиника оказывает 8 услуг. Имеет 4 работы до/после в портфолио. Квалификация специалиста подтверждена 16 лицензиями, сертификатами и наградами. Для уточнения дополнительной информации о специалисте или записи на прием можно позвонить по телефону
+7 (812)Показать телефон
.

Где принимает:

16 сертификатов
4 работы в портфолио
Опыт 14 лет

Мартиросян Анна Карленовна: портфолио (4)

Отзывы о враче Мартиросян Анна Карленовна

Рейтинг: 5
Отзывов: 2
Положительных: 2
Отрицательных: 0
Последний: 305 дн. назад
5.0
Почему нашим отзывам можно доверять?
7 июля 2025 г.
1 2 3 4 5
Выражаю благодарность Мартиросян Анне Карленовне за мой ровный прикус и красивую улыбку! Также спасибо за поддержку и рекомендации. Я ставила брекеты. Это требует терпения и смены привычек. Поэтому мне было важно получать развернутые советы и поддержку от врача, и я их получала! Всем, кто сомневается исправлять ли прикус во взрослом возрасте, рекомендую. Сначала кажется, что это долго и сложно. Но по факту время пролетело незаметно. Выглядит система достаточно аккуратно и привыкнуть к ней можно. Я ставила Damon Q/Q2/Ultima. После брекетов я еще носила ретейнеры для закрепления эффекта. В итоге довольна своим внешним видом и больше не стесняюсь улыбаться. Это очень здорово внезапно стать красивее и начать больше себе нравится! Довольна.
1 июля 2025 г.
1 2 3 4 5
Давно мечтала исправить прикус, но хоть брекеты и вошли в моду, ставить я их совсем не хотела. Зашла на консультацию в Минималист практически случайно, т.к. клиника находится недалеко от дома и я просто решила забежать проконсультироваться. В итоге здесь мне помогли решиться на лечение! Врач сказала, что мою проблему можно решить без брекетов и предложила поставить элайнеры. Визуально мне этот вариант понравился гораздо больше. По ощущениям было не очень комфортно только первые пару дней, потом не чувствовала. Спасибо Мартиросян Анне Карленовне за внимательное отношение и за решение моей давней проблемы! Клинике также выражаю благодарность. К вам приятно ходить – красиво, стерильно чисто, все условия для комфорта посетителей. Теперь буду заходить и на гигиену, и на профосмотры.
    Помогите другим сделать правильный выбор — оставьте свой отзыв о докторе
    Написать отзыв

    Услуги стоматолога в других клиниках

    Ортодонтия
    Виды брекетов по материалу
    Установка металлических брекетов
    от 12 100 ₽ до 248 650 ₽
    Еще услуги